医影在线

标题: CT19625:女52间断性喀血 [打印本页]

作者: mlfx123321    时间: 2009-4-27 23:30
标题: CT19625:女52间断性喀血





















[本贴已被 翁志蓬 于 2009-4-27 23:30:23 修改过]

作者: 深泽交通    时间: 2009-4-27 23:36
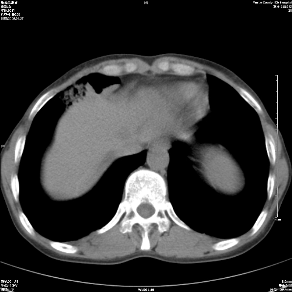
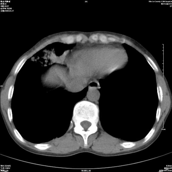
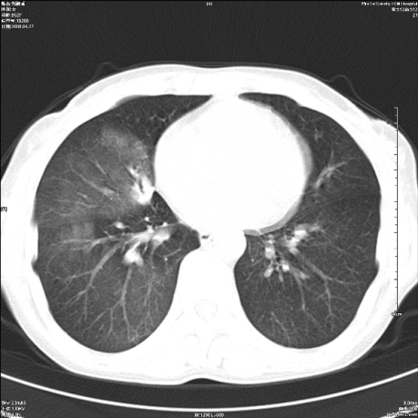
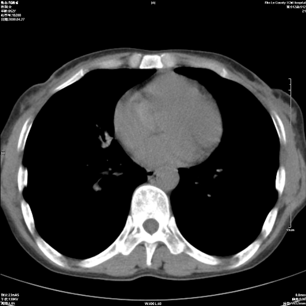
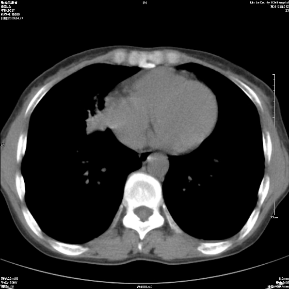
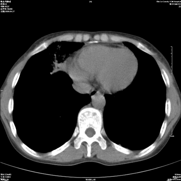
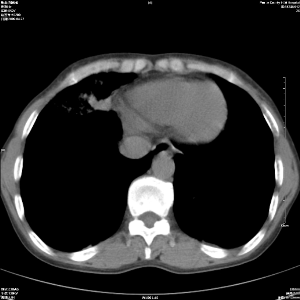
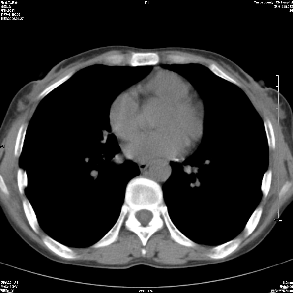
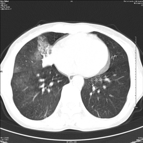
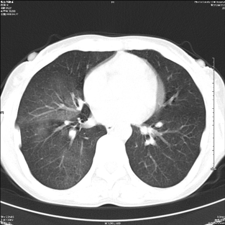
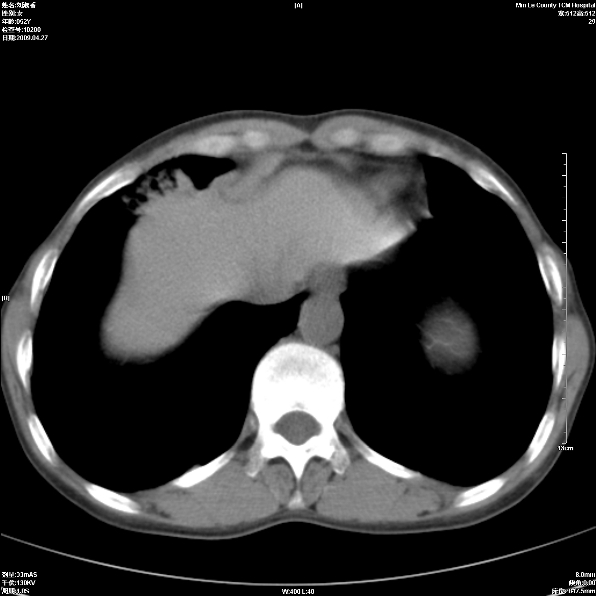
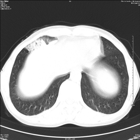
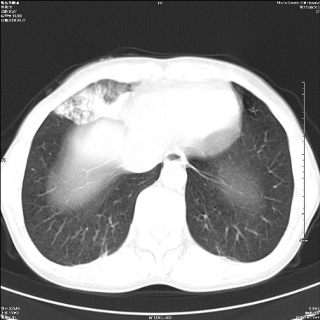
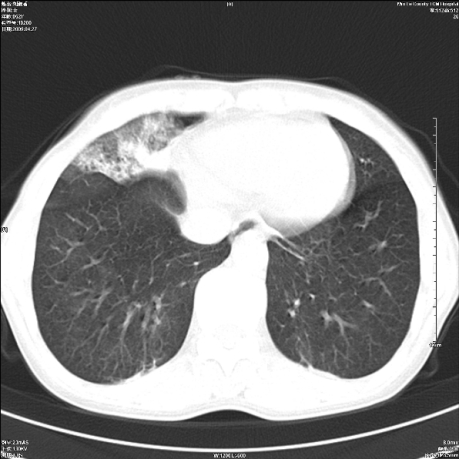
考虑右肺下叶支气管病变,tb??
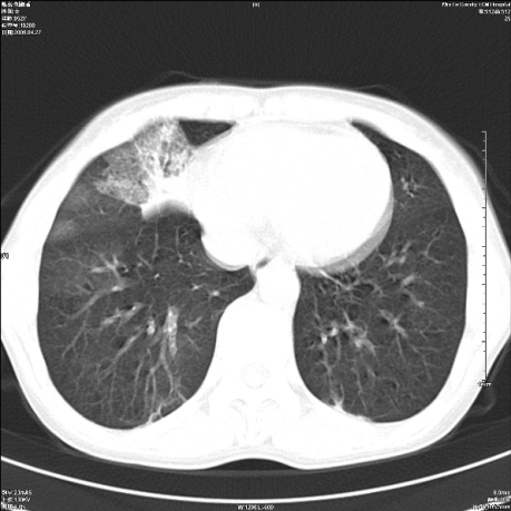
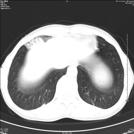
作者: ct诊断高手    时间: 2009-4-27 23:58
病灶内可见含气影。考虑右肺下叶内基底段炎症
作者: xizhong    时间: 2009-4-28 00:04
右肺炎性改变,治疗后复查,或气管镜检查。
作者: 随光逐影    时间: 2009-4-28 00:16
考虑右肺中叶感染性病变并右肺中、下叶肺泡积血;建议抗炎、止血治疗后复查。
作者: 37度    时间: 2009-4-28 00:25
标题: 回复:女52间断性喀血
以下是引用随光逐影在2009-4-27 16:16:00的发言:[br]考虑右肺中叶感染性病变并右肺中、下叶肺泡积血;建议抗炎、止血治疗后复查。

作者: scdlc2008    时间: 2009-4-28 01:01
虑右肺中叶感染性病变并右肺中、下叶肺泡积血
作者: yuhongjun    时间: 2009-4-28 01:07
虑右肺中叶感染性病变并右肺中、下叶肺泡积血
作者: 道哥    时间: 2009-4-28 01:37
考虑右肺中叶感染性病变,建议治疗后复查除外占位。
作者: 影象小泰斗    时间: 2009-4-28 01:48
右肺中叶炎症;右肺中、下叶肺泡积血
作者: 同    时间: 2009-4-28 01:50
考虑 右肺中叶感染性病变伴右肺中下叶肺泡积血。
作者: dr.yang    时间: 2009-4-28 03:46
考虑 右肺中叶感染性病变伴右肺中下叶肺泡积血。
作者: hejie    时间: 2009-4-28 04:44
右肺中叶支气管扩张并感染或咳血沉积,块右肺中下叶肺泡积血。
作者: panyishengct    时间: 2009-4-28 04:54
虑右肺中叶感染性病变并右肺中、下叶肺泡积血
作者: whzht    时间: 2009-4-28 05:04
右肺中叶慢性炎症伴局部支扩并中下叶肺泡积血。
作者: 黑白光影    时间: 2009-4-28 06:11
考虑 右肺中叶感染性病变伴右肺中下叶肺泡积血。
作者: LIAOQIANG    时间: 2009-4-28 17:41
考虑右肺中叶感染性病变并右肺中、下叶肺泡积血。建议治疗后复查。
作者: dr.yang    时间: 2012-6-24 16:35
再次学习。




欢迎光临 医影在线 (http://bbs.radida.com/bbs/) Powered by Discuz! X3.2