医影在线
标题: CT19634:颅内占位 胶质瘤2级 & [打印本页]
作者: 影像之路 时间: 2009-4-28 02:48
标题: CT19634:颅内占位 &nb
(结果公布:http://www.radida.com/bbs/forum.php?mod=viewthread&tid=70269)
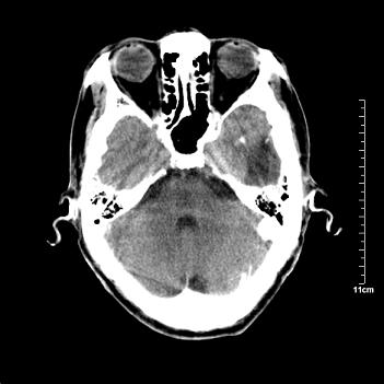
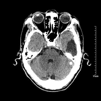
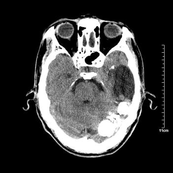
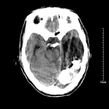
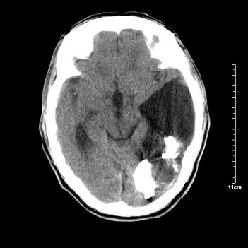
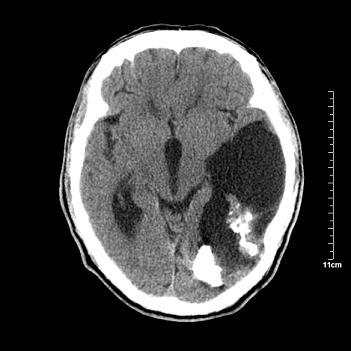
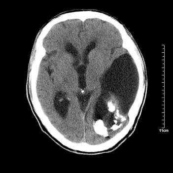
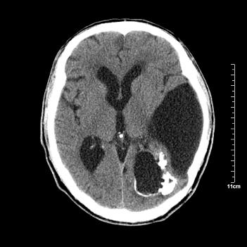
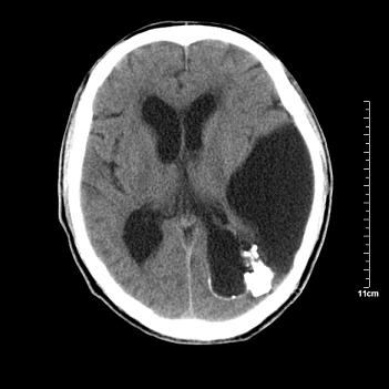
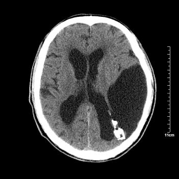
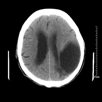
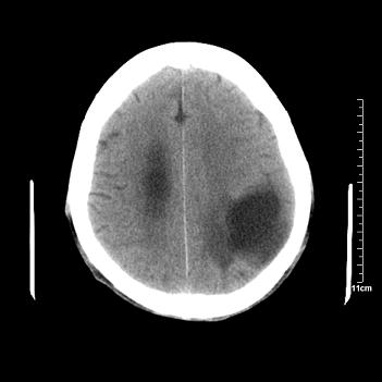
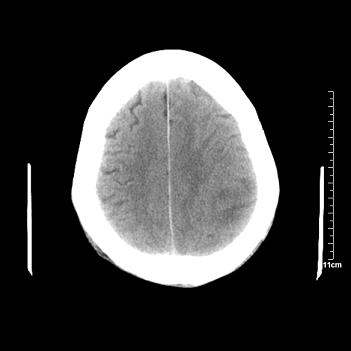
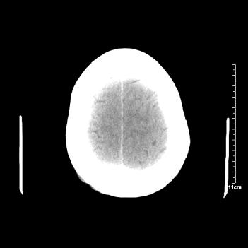
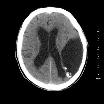
男性患者,72岁,近两天头晕来我院就诊。 因患者血压太高而未做增强,建议病人去市医院做mri检查。等得到mri随访结果再公布给大家。 测及左颞顶枕叶病灶ct值分别为5hu 30hu 729hu。
考虑左侧颞顶枕叶少突胶质细胞瘤。 今天随访患者手术病理结果 病理回报为胶质瘤2级 钙化
















[本贴已被 影像之路 于 2009-5-8 16:32:02 修改过]
[本贴已被 影像之路 于 2009-5-9 19:43:33 修改过]
[本贴已被 jiajie 于 2010-8-31 18:54:54 修改过]
作者: hnfsh 时间: 2009-4-28 03:17
左侧颞顶枕叶大片状低密度影,呈均一水样密度,边界清楚,病灶边缘不规则片状钙化,左侧脑室后角扩大,中线结构未见移位,综合来看不像肿瘤,软化灶,钙化不好解释
作者: ckp321 时间: 2009-4-28 03:35
首先不考虑肿瘤,可以传个骨窗看看。
作者: 黄毛小子 时间: 2009-4-28 03:35
有占位效应,考虑占位
作者: 泪洒红尘 时间: 2009-4-28 03:50
考虑脑膜瘤囊变或少支胶质瘤。
作者: hxzyy 时间: 2009-4-28 03:59
考虑脑血管畸形可能性大,期待结果。
作者: 余辉 时间: 2009-4-28 04:02
左侧颞顶枕叶巨大囊性病灶,灶内见小片实性区且灶内及灶周围大量团块状钙化影,灶周水肿少.左侧室枕角内见环形钙化,可见较清晰前壁,钙化与室壁似有间隙.
考虑1寄生虫病2表皮样囊肿钙化3血管畸形,其他不排
作者: 同 时间: 2009-4-28 04:34
考虑 少支胶质瘤或脑膜瘤囊变。
作者: zydct 时间: 2009-4-28 04:41
左侧颞顶枕叶巨大囊性病灶,灶内见小片实性区且灶内及灶周围大量团块状钙化影,灶周水肿少.左侧室枕角内见环形钙化,可见较清晰前壁,钙化与室壁似有间隙.
考虑1寄生虫病2表皮样囊肿钙化3血管畸形,其他不排
作者: panyishengct 时间: 2009-4-28 04:45
左侧颞顶枕叶巨大囊性病灶,灶内见小片实性区且灶内及灶周围大量团块状钙化影,灶周水肿少.左侧室枕角内见环形钙化,可见较清晰前壁,钙化与室壁似有间隙.
考虑1表皮样囊肿钙化2寄生虫病3血管畸形,其他不排
作者: 卜一 时间: 2009-4-28 05:10
左侧颞顶枕叶巨大囊性病灶,灶内见小片实性区且灶内及灶周围大量团块状钙化影,灶周水肿少.左侧室枕角内见环形钙化,可见较清晰前壁,钙化与室壁似有间隙.
考虑1寄生虫感染2表皮样囊肿钙化3血管畸形,其他不排!支持!
作者: 杀毒软件 时间: 2009-4-28 05:42
标题: 回复:颅内占位
以下是引用余辉在2009-4-27 20:02:00的发言:[br]左侧颞顶枕叶巨大囊性病灶,灶内见小片实性区且灶内及灶周围大量团块状钙化影,灶周水肿少.左侧室枕角内见环形钙化,可见较清晰前壁,钙化与室壁似有间隙.[br]考虑1寄生虫病2表皮样囊肿钙化3血管畸形,其他不排
支持
作者: 随光逐影 时间: 2009-4-28 06:36
不排除表皮样囊肿可能。
作者: 黑白光影 时间: 2009-4-28 06:44
标题: 回复:颅内占位
以下是引用余辉在2009-4-27 20:02:00的发言:[br]左侧颞顶枕叶巨大囊性病灶,灶内见小片实性区且灶内及灶周围大量团块状钙化影,灶周水肿少.左侧室枕角内见环形钙化,可见较清晰前壁,钙化与室壁似有间隙.[br]考虑1寄生虫病2表皮样囊肿钙化3血管畸形,其他不排
作者: 影像孺子牛 时间: 2009-4-28 06:46
以下是引用余辉在2009-4-27 20:02:00的发言:
左侧颞顶枕叶巨大囊性病灶,灶内见小片实性区且灶内及灶周围大量团块状钙化影,灶周水肿少.左侧室枕角内见环形钙化,可见较清晰前壁,钙化与室壁似有间隙.
考虑1寄生虫病2表皮样囊肿钙化3血管畸形,其他不排
作者: YRJ0513 时间: 2009-4-28 06:52
学习了
作者: gule 时间: 2009-4-28 06:53
考虑1寄生虫病2表皮样囊肿钙化3血管畸形,其他不排
作者: pujunzhi 时间: 2009-4-28 06:59
左侧颞顶枕叶巨大囊性病灶,灶周围大量团块状钙化---考虑脑包虫,需了解病史,结合临床。
作者: 影像之路 时间: 2009-4-28 07:32
问问各位同事 寄生虫病有见过这么单发的巨大病灶吗?而且钙化范围、体积这么大
表皮样囊肿,其内的钙化灶也没见过钙化突出于囊肿之外这么厉害的,而且其内的等密度影做何解释? 至于脑血管畸形更不可能了。
作者: 胡宇 时间: 2009-4-28 08:04
问问各位同事 寄生虫病有见过这么单发的巨大病灶吗?而且钙化范围、体积这么大
表皮样囊肿,其内的钙化灶也没见过钙化突出于囊肿之外这么厉害的,而且其内的等密度影做何解释? 至于脑血管畸形更不可能了。
作者: wzr 时间: 2009-4-28 09:07
考虑1表皮样囊肿钙化2血管畸形
作者: yuhongjun 时间: 2009-4-28 14:04
期待结果。
作者: jiangjing 时间: 2009-4-28 16:55
囊变明显,钙化明显,部分实性组织,轻度占位,左侧脑室受压---考虑 少突胶质细胞瘤,畸胎瘤,寄生虫病
作者: LIAOQIANG 时间: 2009-4-28 17:06
考虑1寄生虫病,2表皮样囊肿伴血管畸形,3畸胎瘤。
作者: 深泽交通 时间: 2009-4-28 17:19
考虑上皮样囊肿
作者: 51736011 时间: 2009-4-28 18:00
脑膜瘤
作者: 影象小泰斗 时间: 2009-4-28 19:35
考虑1、表皮样囊肿伴钙化2、畸胎瘤!
期待病例结果!
作者: muzi888 时间: 2009-4-28 20:03
考虑 少支胶质瘤或脑膜瘤囊变。
支持!
作者: chinanyd 时间: 2009-4-28 23:13
首先考虑皮样囊肿可能
作者: zsl6918 时间: 2009-4-28 23:18
标题: 回复
皮样囊肿可能性大
[本贴已被 zsl6918 于 2009-4-28 15:18:43 修改过]
作者: zjzjr 时间: 2009-4-29 00:02
囊变明显,钙化明显,部分实性组织,轻度占位,左侧脑室受压---考虑 少突胶质细胞瘤,畸胎瘤,寄生虫病
作者: 影像之路 时间: 2009-5-8 18:59
今天追踪患者家属手术病理结果 病理回报为胶质瘤2级并钙化
让大家久等了 谢谢大家的参与讨论
作者: gule 时间: 2009-5-8 20:59
依次可考虑:1表皮样囊肿伴钙化3.少支胶质细胞瘤3.寄生虫病,其他待排!
作者: 影像之路 时间: 2009-5-8 21:01
病理回报为胶质瘤2级并钙化
作者: 杀毒软件 时间: 2009-5-10 02:19
标题: 回复:ct19634:颅内占位
以下是引用余辉在2009-4-27 20:02:00的发言:[br]左侧颞顶枕叶巨大囊性病灶,灶内见小片实性区且灶内及灶周围大量团块状钙化影,灶周水肿少.左侧室枕角内见环形钙化,可见较清晰前壁,钙化与室壁似有间隙.[br]考虑1寄生虫病2表皮样囊肿钙化3血管畸形,其他不排
支持
作者: zjb 时间: 2009-5-10 04:02
谢谢上传病理结果。学习了
作者: yuhongjun 时间: 2009-5-10 04:19
谢谢结果收到
作者: laogao123 时间: 2009-5-10 05:27
谢谢 学习了。
作者: 影像孺子牛 时间: 2009-5-10 06:01
感谢楼主反馈术后病理结果,学习了。
作者: jian690325 时间: 2009-5-10 06:35
左侧颞顶枕叶巨大囊性病灶,灶内见小片实性区且灶内及灶周围大量团块状钙化影,灶周水肿少.左侧室枕角内见环形钙化,可见较清晰前壁,钙化与室壁似有间隙.1 左外侧裂蛛网膜囊中。2.表皮样囊肿钙化
作者: pujunzhi 时间: 2009-5-10 07:57
感谢楼主反馈术后病理结果(星形细胞瘤2级),学习了!
作者: songyi 时间: 2009-5-10 16:40
感谢楼主反馈术后病理结果
作者: 王2008 时间: 2009-5-10 22:48
谢谢上传病理结果。学习了!
作者: 杀毒软件 时间: 2009-5-11 00:51
谢楼主反馈术后病理结果
作者: dyqct 时间: 2009-5-11 01:01
学习了。罕见!
作者: chinanyd 时间: 2009-5-11 03:21
受到了
作者: 拾荒者 时间: 2009-5-11 06:41
感谢楼主反馈术后病理结果(星形细胞瘤2级),如此均匀的低密度灶是液化坏死还是肿瘤压迫引起回流受阻所指的蛛网膜囊肿?
作者: 余辉 时间: 2009-5-11 18:36
学习了
作者: 张辉9999 时间: 2009-5-11 20:14
谢谢上传病理结果。学习了
作者: scdlc2008 时间: 2009-5-12 01:51
学习了
作者: zbp537 时间: 2009-5-12 02:59
学习了。
作者: gule 时间: 2009-5-12 03:47
感谢报告结果!学习了。
作者: ct诊断高手 时间: 2009-5-12 07:19
标题: 回复:ct19634:颅内占位 胶质瘤2级 钙化
以下是引用余辉在2009-4-27 20:02:00的发言:[br]左侧颞顶枕叶巨大囊性病灶,灶内见小片实性区且灶内及灶周围大量团块状钙化影,灶周水肿少.左侧室枕角内见环形钙化,可见较清晰前壁,钙化与室壁似有间隙.[br]考虑1寄生虫病2表皮样囊肿钙化3血管畸形,其他不排
作者: 513ytb 时间: 2009-6-21 18:29
胶质瘤。
作者: linyiming 时间: 2010-9-1 23:47
星形细胞瘤
作者: swyyy2007 时间: 2010-9-1 23:55
学习了
作者: jiazhirong 时间: 2010-9-2 01:15
感谢楼主反馈术后病理结果(星形细胞瘤2级),学习了!
作者: 37度 时间: 2010-9-2 05:16
术后病理结果(星形细胞瘤2级),学习了
| 欢迎光临 医影在线 (http://bbs.radida.com/bbs/) |
Powered by Discuz! X3.2 |