医影在线

标题: X5689:高手指点 进 [打印本页]

作者: wangweiX001    时间: 2009-4-29 03:50
标题: X5689:高手指点 进
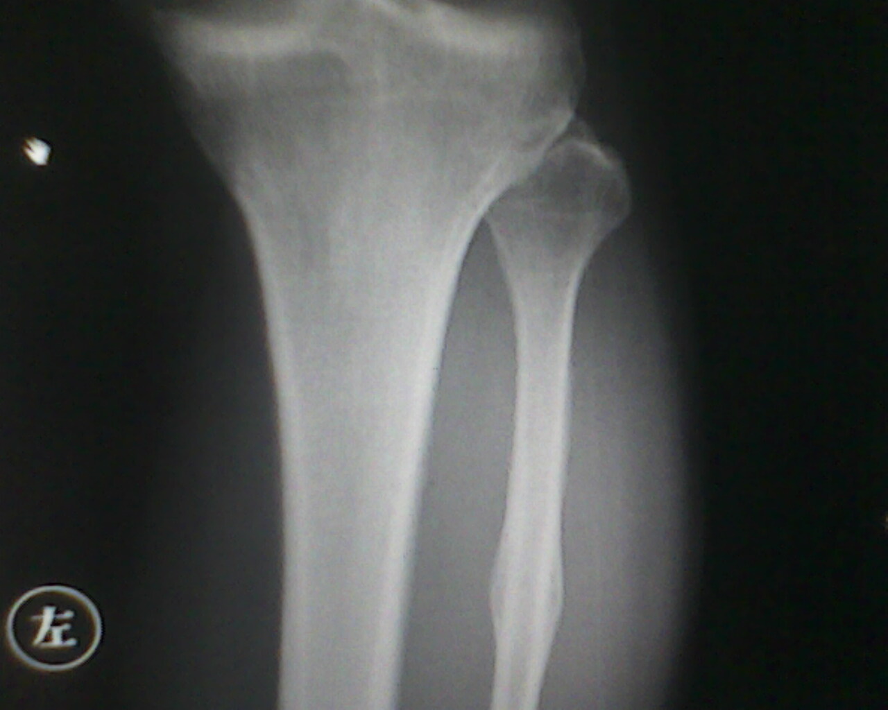
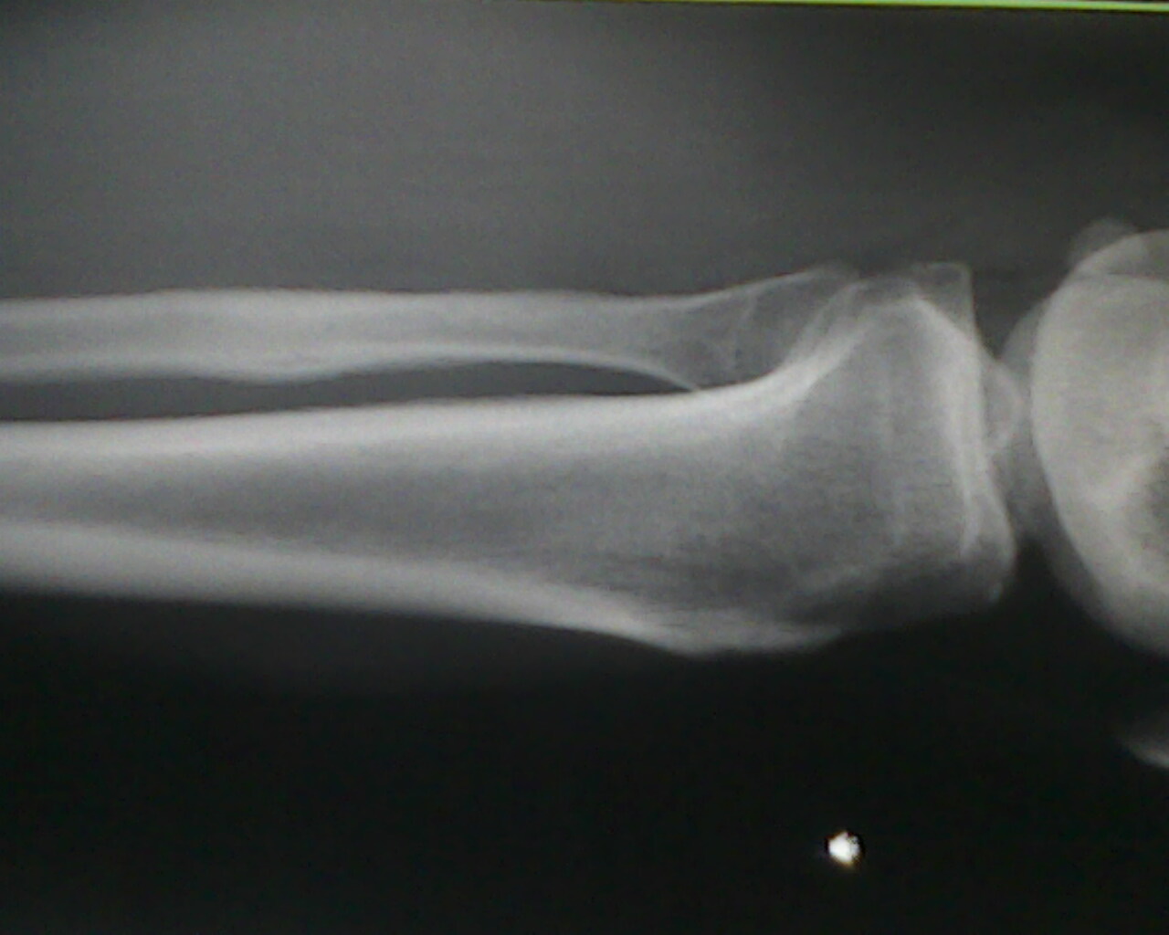
患者,男性  ,小腿肿胀。




[本贴已被 翁志蓬 于 2009-4-28 21:29:20 修改过]

作者: wangweiX001    时间: 2009-4-29 03:51
不好意思。第二张翻了,大家讨论讨论腓骨病变
作者: abecedarian    时间: 2009-4-29 04:03
疲劳骨折。
作者: 杏林古木    时间: 2009-4-29 04:12
腓骨疲劳骨折。
作者: bmw011    时间: 2009-4-29 04:17
骨膜反应,软组织肿胀,未见骨质吸收破坏征象,当心骨肉瘤。建议ct检查
作者: 余辉    时间: 2009-4-29 04:23
腓骨局限性梭形肿胀,支持首先往骨痂放向考虑,其他也不除外,随诊
作者: 观影朔征    时间: 2009-4-29 05:09
腓骨局限性梭形肿胀,支持首先往骨痂方向考虑,其他也不除外,随诊
作者: 黑白光影    时间: 2009-4-29 05:10
首先考虑疲劳骨折,建议复查除外其它。
作者: 泪洒红尘    时间: 2009-4-29 05:19
学习中
作者: chinanyd    时间: 2009-4-29 05:38
首先考虑疲劳骨折
作者: huangxun4321    时间: 2009-4-29 06:14
疲劳骨折,请结合病史
作者: x-man    时间: 2009-4-29 06:36
考虑陈旧性骨折.
作者: zxczxc    时间: 2009-4-29 06:40
对,骨折后骨痂形成。
作者: 寻芳者    时间: 2009-4-29 07:11
疲劳骨折可能性大---------详细问问病史
作者: baogan    时间: 2009-4-29 07:35
病史很重要,请大家上传病史;考虑局部骨折,请结合临床。
作者: 随光逐影    时间: 2009-4-29 16:44
不排除骨感染性病变可能。
作者: 奥特之父    时间: 2009-4-29 17:38
首先可以肯定是个良性,疲劳性骨折(问病史,当兵的,长跑的,体育队的),陈旧性骨折(此前外伤没引起注意).
作者: jinguoji    时间: 2009-4-29 17:54
疲劳骨折可能性大,请详问病史。
作者: laolang    时间: 2009-4-30 01:03
首先考虑疲劳骨折
作者: chry3    时间: 2009-4-30 01:13
疲劳性骨折不考虑其他
作者: 杀毒软件    时间: 2009-4-30 01:21
支持大家
作者: real520    时间: 2009-4-30 01:22
骨膜反应,软组织肿胀,未见骨质吸收破坏征象,当心骨肉瘤。建议ct检查
作者: zhanggenliang    时间: 2009-4-30 03:13
首先考虑陈旧性骨折
作者: dyqct    时间: 2009-5-3 02:28
疲劳骨折可能性大---------详细问问病史。支持!
作者: 医盲    时间: 2009-5-6 02:18
腓骨骨膜反应,骨质未见明显破坏,软组织肿胀。建议随访观察。
作者: 513ytb    时间: 2009-6-14 05:06
纤维瘤
作者: shibing    时间: 2014-6-23 00:43
标题: Re:X5689:高手指点  进
腓骨疲劳骨折。




欢迎光临 医影在线 (http://bbs.radida.com/bbs/) Powered by Discuz! X3.2