医影在线

标题: CT19676:胸部疾病供大家战友讨论 [打印本页]

作者: CTQIU    时间: 2009-4-30 04:19
标题: CT19676:胸部疾病供大家战友讨论
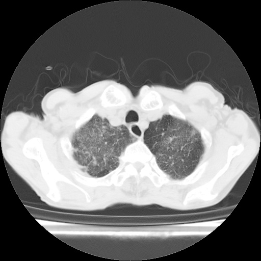
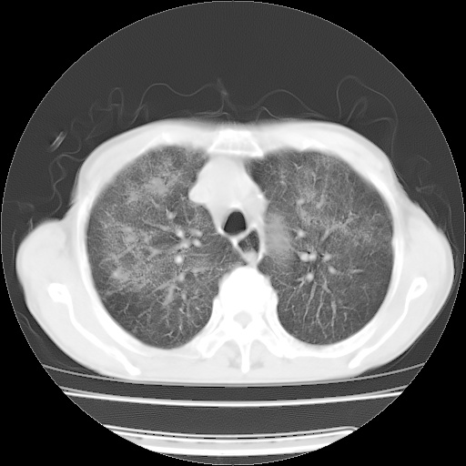
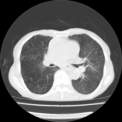
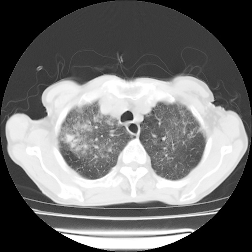
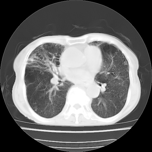
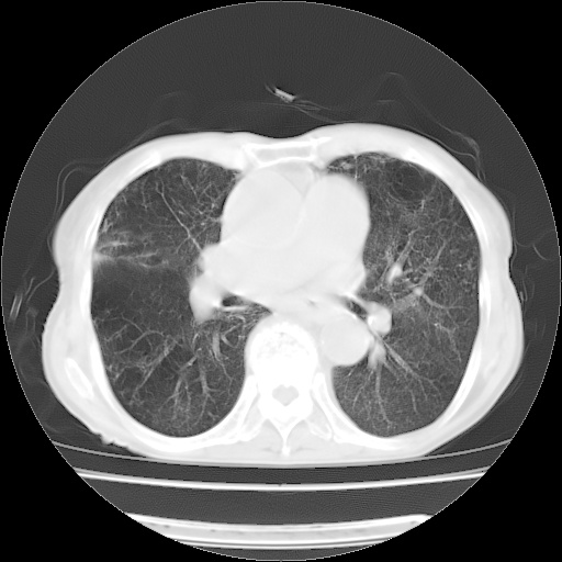
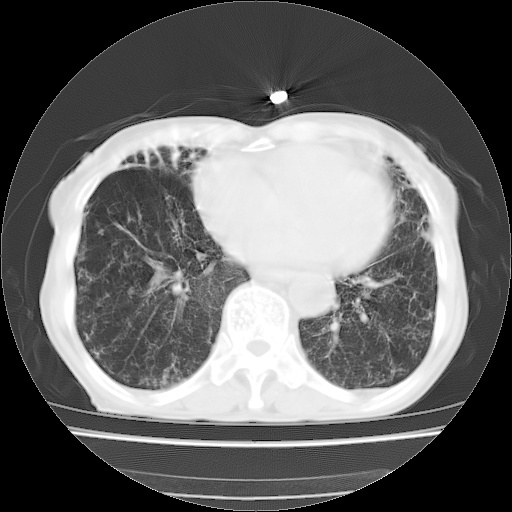
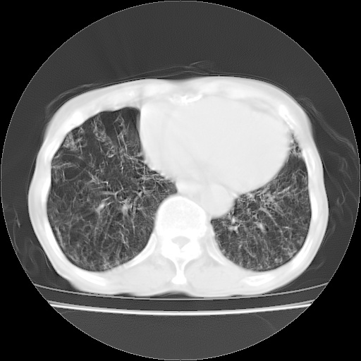
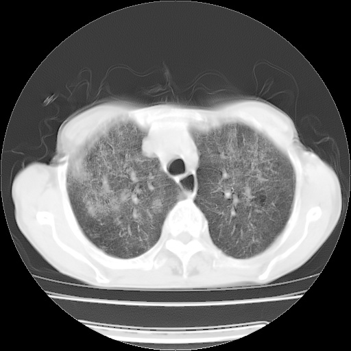
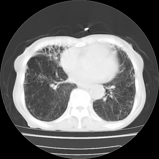
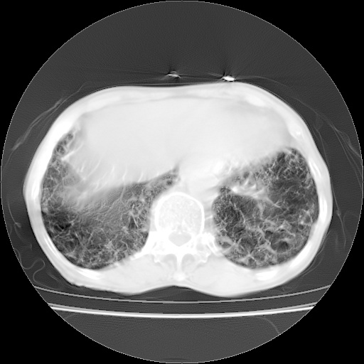
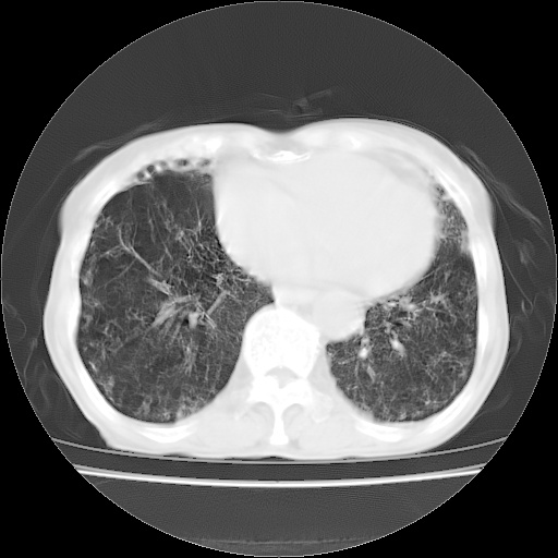
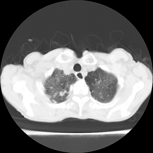
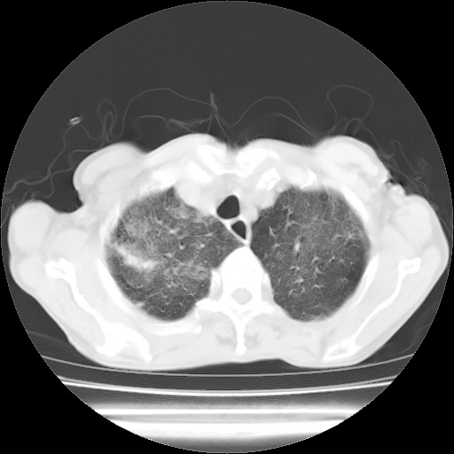
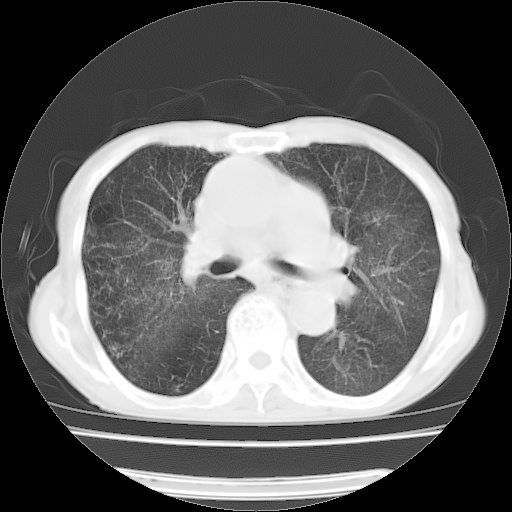
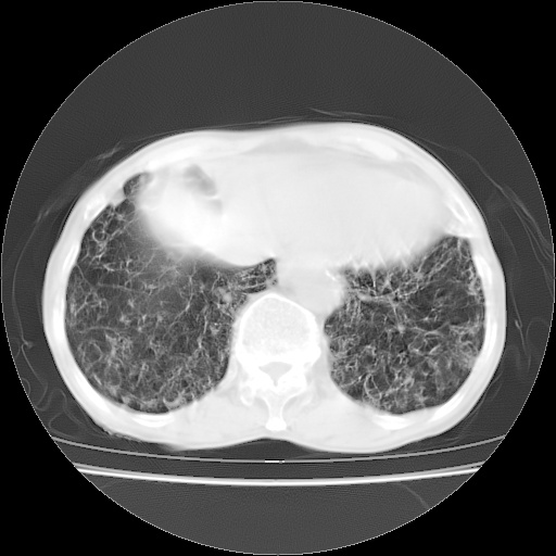
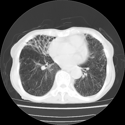
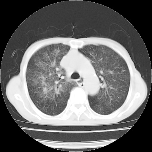
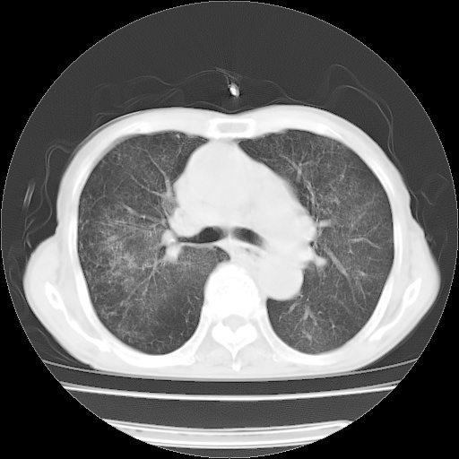
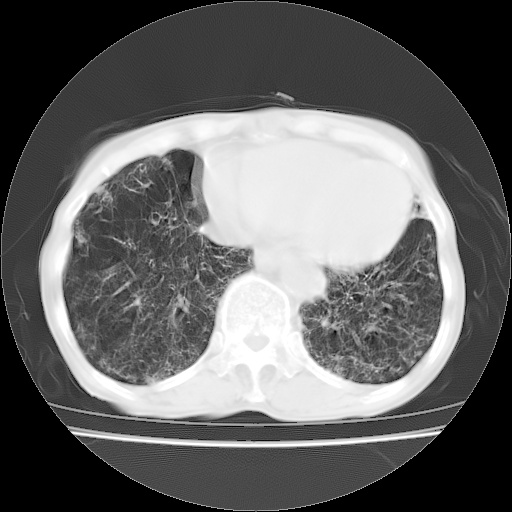
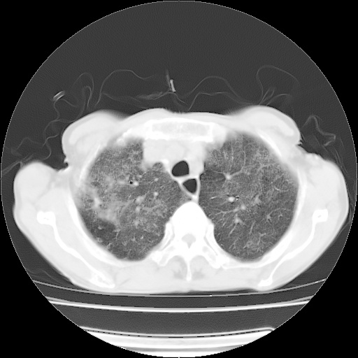
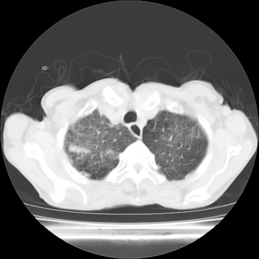
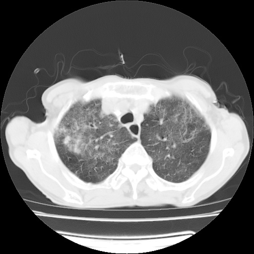
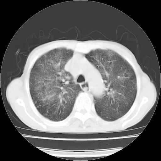
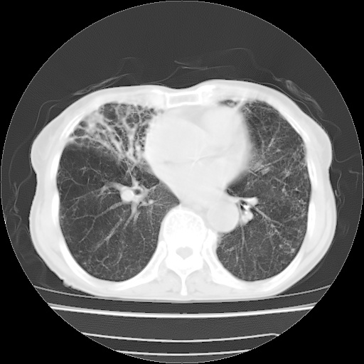
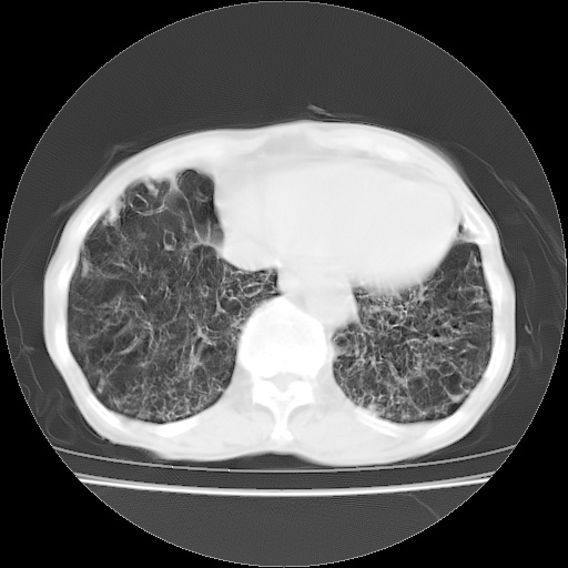
病人发热、气促就诊。原二周前已行ct扫描,当时诊断为双肺下叶、右肺中叶支气管扩张并感染,双肺上叶片状渗出性病变。今天复查胸部ct,双肺下叶支气管扩张并感染病灶较前明显吸收,但双肺上叶渗出性病变较范围较前明显增大。
现传今天ct图像给大家讨论。





























[本贴已被 jiajie 于 2009-4-29 20:24:26 修改过]

作者: 杀毒软件    时间: 2009-4-30 05:16
纵隔窗呢?不除外---结缔组织病表现。
作者: zygshh_123    时间: 2009-4-30 05:33
大家有谁能把一个典型的介质性肺炎的ct片供大家看看学习一下。谢谢。。。。。。。。。。。。。
作者: 子期    时间: 2009-4-30 05:37
双肺感染性病变,不排除机遇性肺炎。双下肺间质纤维化较明显。
作者: 石幔    时间: 2009-4-30 05:51
对初学者交难,请各位前辈讲解详细点
作者: 水蓝色的    时间: 2009-4-30 06:15
肺间质纤维化并感染。
作者: heroin29    时间: 2009-4-30 06:50
双肺间质广泛纤维化,上叶炎症考虑特异性感染,例如念珠菌,克雷伯杆菌什么的,建议实验室检查。
作者: fengdongdong    时间: 2009-4-30 06:57
纤维化合并感染
作者: 卜一    时间: 2009-4-30 12:20
肺间质纤维化并感染。支持!
作者: yuhongjun    时间: 2009-4-30 13:01
肺间质纤维化并感染。支持!  这样的征象该如何描述呢,各位高手。
作者: 吴承学    时间: 2009-4-30 14:25
标题: 回复:ct19676:胸部疾病供大家战友讨论
以下是引用卜一在2009-4-30 4:20:00的发言:[br]肺间质纤维化并感染。支持!

作者: pujunzhi    时间: 2009-4-30 15:09
肺间质纤维化并感染。支持!
作者: zsl6918    时间: 2009-4-30 15:09
肺内广泛感染并间质纤维化,牵拉性支气管扩张
作者: 随光逐影    时间: 2009-4-30 17:11
两肺感染性病变,伴肺间质纤维化。
作者: 51736011    时间: 2009-4-30 19:12
肺间质性感染,伴肺出血可能
作者: 边生丽    时间: 2009-4-30 20:05
肺间质纤维化并感染。支持!
作者: 黑白光影    时间: 2009-5-1 04:16
肺间质纤维化并感染。
作者: ctqiu    时间: 2009-6-24 20:59
双肺多发大片状、斑片状高密度渗出影,部分实变,考虑病毒性肺炎。




欢迎光临 医影在线 (http://bbs.radida.com/bbs/) Powered by Discuz! X3.2