医影在线

标题: CT19697:反复视物模糊半年,双眼视乳头轻度水肿 [打印本页]

作者: wrancelan    时间: 2009-4-30 17:02
标题: CT19697:反复视物模糊半年,双眼视乳头轻度水肿
[face=黑体][/face]



















[本贴已被 jiajie 于 2009-4-30 20:56:05 修改过]

作者: 余辉    时间: 2009-5-1 02:14
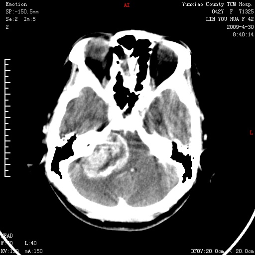
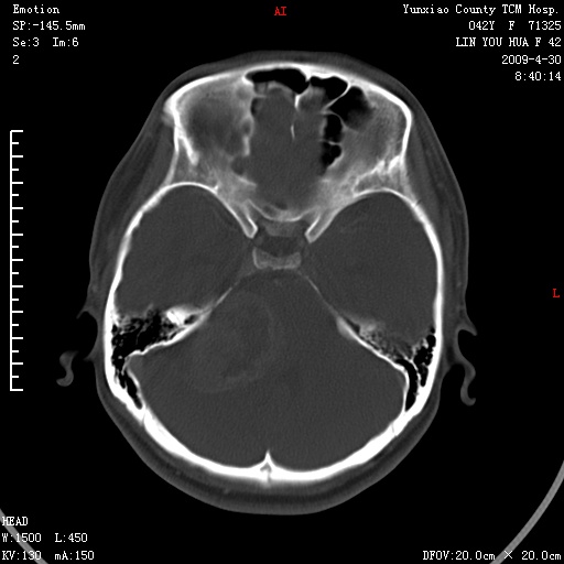
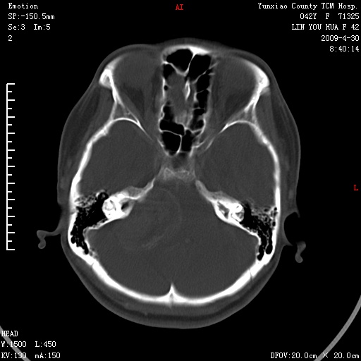
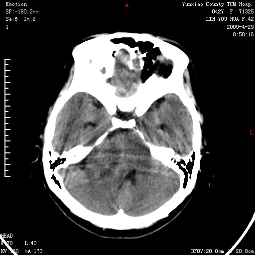
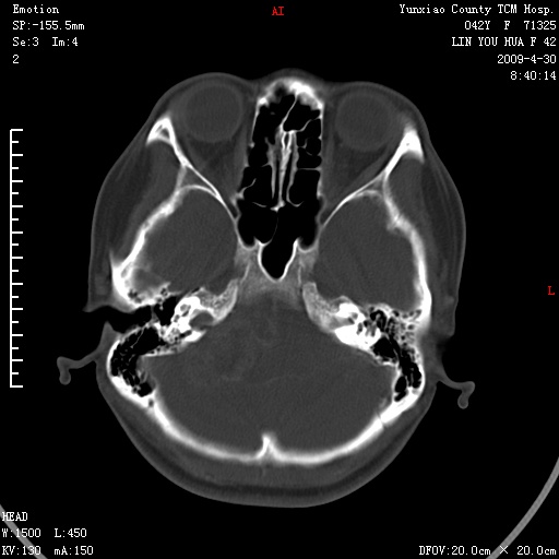
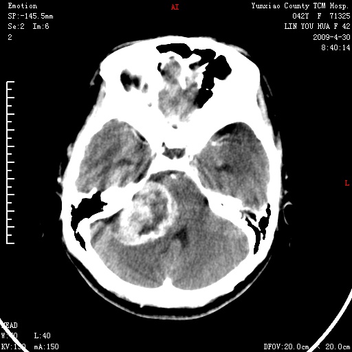
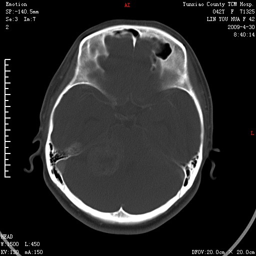
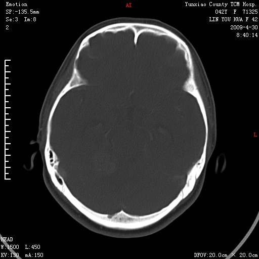
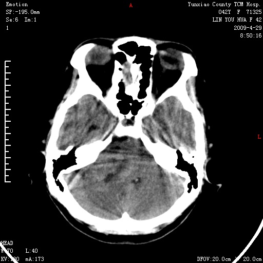
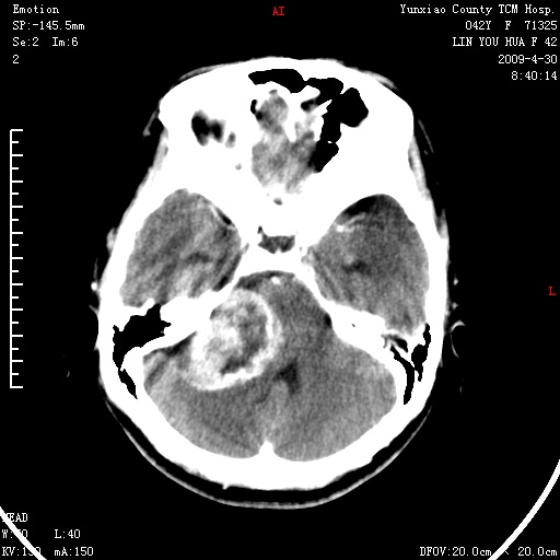
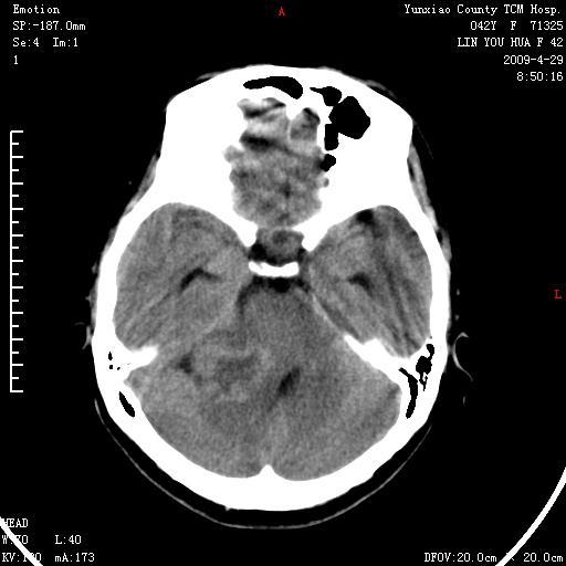
右侧桥小脑角区肿瘤,高密度囊变有显著强化,骨窗见内听道显著扩大,考虑听神经瘤可能性大
作者: 随光逐影    时间: 2009-5-1 08:14
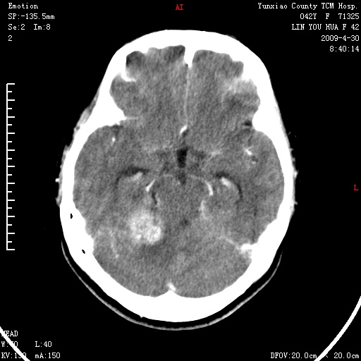
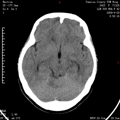
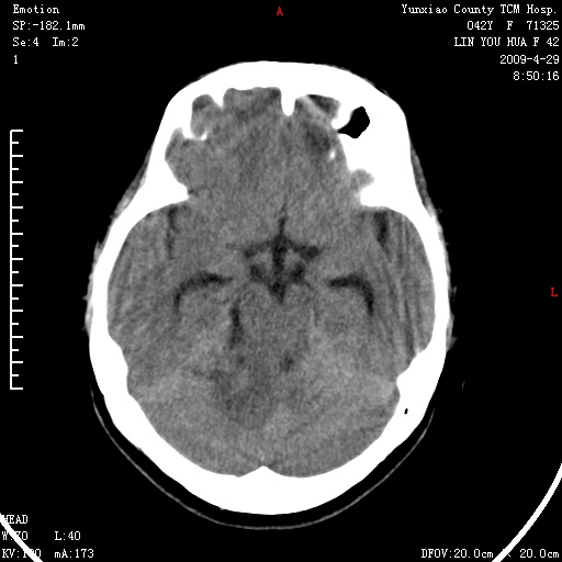
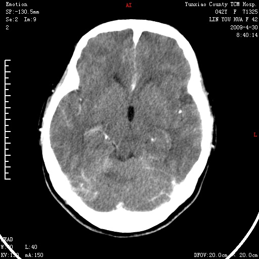
1)右侧听神经瘤。2)阻塞性脑积水。
作者: LIAOQIANG    时间: 2009-5-1 23:19
内听道扩大,支持考虑听神经瘤可能性大。
作者: 杀毒软件    时间: 2009-5-2 00:32
支持
作者: ct诊断高手    时间: 2009-5-2 22:01
支持
作者: gule    时间: 2009-5-3 02:19
1)右侧听神经瘤。2)阻塞性脑积水。




欢迎光临 医影在线 (http://bbs.radida.com/bbs/) Powered by Discuz! X3.2