医影在线

标题: CT19708:单侧上颌窦病变 [打印本页]

作者: zhangyang66    时间: 2009-5-1 05:45
标题: CT19708:单侧上颌窦病变
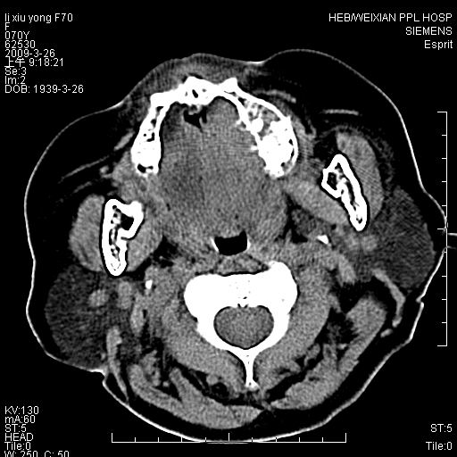
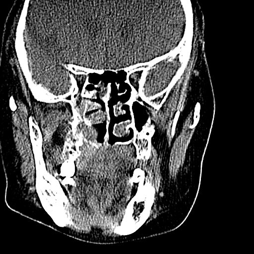
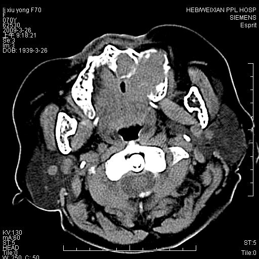
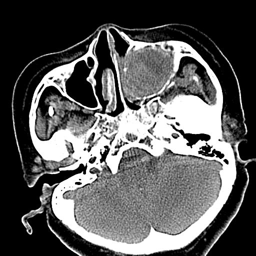
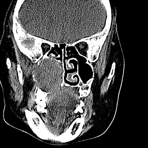
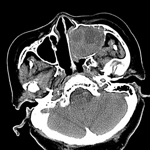
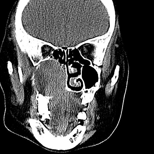
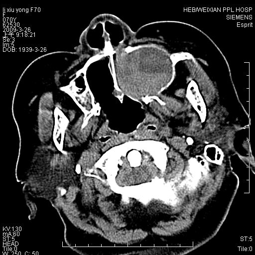
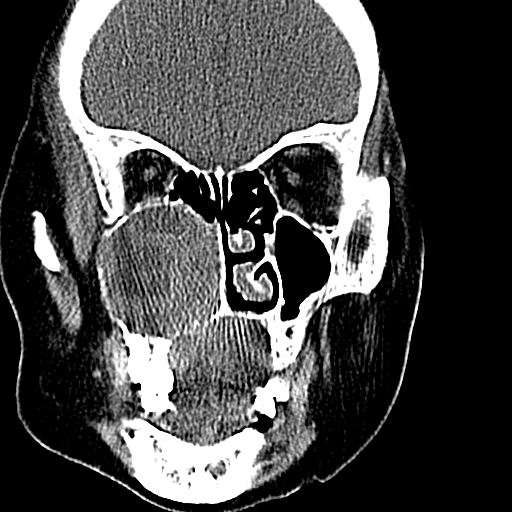
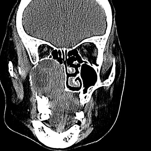
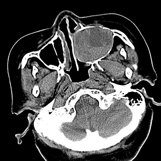
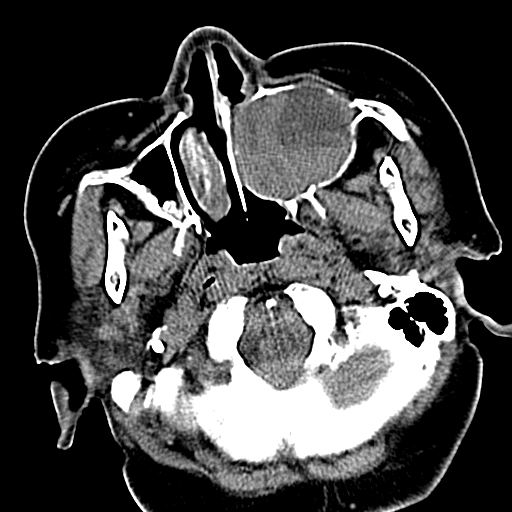
老年患者,女。鼻塞多年。



















[本贴已被 jiajie 于 2009-5-1 21:00:35 修改过]

作者: 323    时间: 2009-5-1 07:30
粘液囊肿
作者: 随光逐影    时间: 2009-5-1 07:33
考虑单侧上颌窦良性占位性病变;建议活检。
作者: pujunzhi    时间: 2009-5-1 07:35
标题: 回复:单侧上颌窦病变
以下是引用随光逐影在2009-4-30 23:33:00的发言:[br]考虑单侧上颌窦良性占位性病变;建议活检。

作者: 影像孺子牛    时间: 2009-5-1 07:46
考虑右侧上颌窦良性占位性病变,粘液囊肿可能性大;建议活检。
作者: chinanyd    时间: 2009-5-1 15:15

作者: jiangjing    时间: 2009-5-1 17:36
考虑右侧上颌窦良性占位性病变,粘液囊肿可能性大;建议活检
作者: 深泽交通    时间: 2009-5-1 18:21
膨胀性生长,且骨质无破坏,说明时间久,良性;从密度,边缘看,内部还见坏死区,应该是实性肿瘤,定性,影像学无绝对的特异性
作者: bmw011    时间: 2009-5-1 18:27
粘液囊肿可能性大
作者: 黑白光影    时间: 2009-5-1 22:12
考虑右侧上颌窦良性占位性病变,粘液囊肿可能性大;建议活检。支持
作者: LIAOQIANG    时间: 2009-5-1 22:12
考虑右侧上颌窦良性占位性病变,建议活检。
作者: hmyj9    时间: 2009-5-1 22:14
支持8楼诊断
作者: 杀毒软件    时间: 2009-5-2 00:49
不排除---恶变
作者: 余辉    时间: 2009-5-2 03:08
病灶密度很不均匀,骨壁膨胀中有断裂,考虑内翻乳头状瘤可能性大,粘液囊肿不排除
作者: gule    时间: 2009-5-2 03:34
考虑粘液囊肿可能性大,建议活检
作者: panyishengct    时间: 2009-5-2 08:09
膨胀性生长,且骨质无破坏,说明时间久,良性;从密度,边缘看,内部还见坏死区,应该是实性肿瘤,定性,影像学无绝对的特异性,考虑内翻性乳头状瘤可能
作者: zbp537    时间: 2009-5-2 20:04
上颌窦粘液囊肿可能性大。
作者: ct诊断高手    时间: 2009-5-3 04:47
上颌窦粘液囊肿可能性大。 支持




欢迎光临 医影在线 (http://bbs.radida.com/bbs/) Powered by Discuz! X3.2