医影在线
标题: CT19713:鼻咽部肿物 [打印本页]
作者: 王靖旗 时间: 2009-5-1 17:29
标题: CT19713:鼻咽部肿物
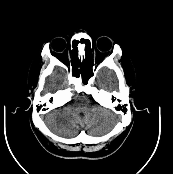
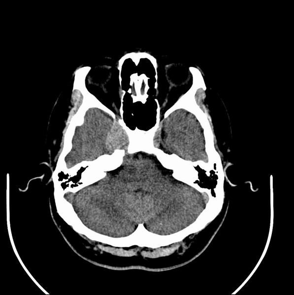
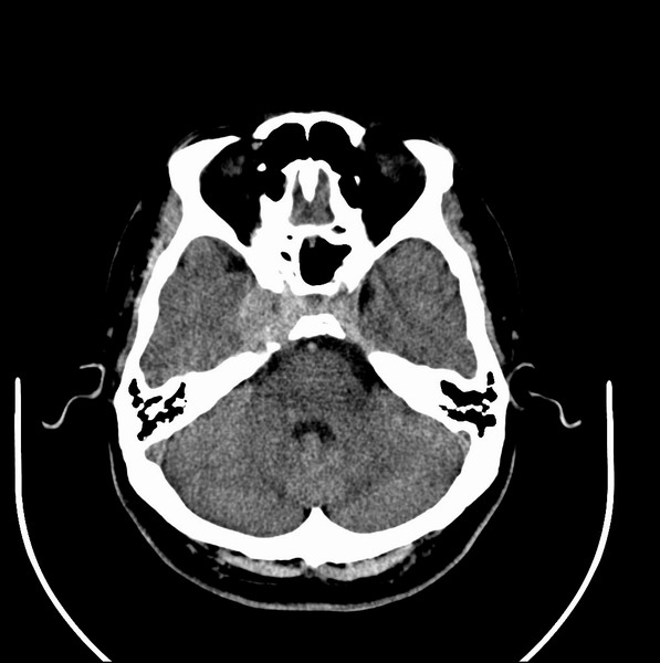
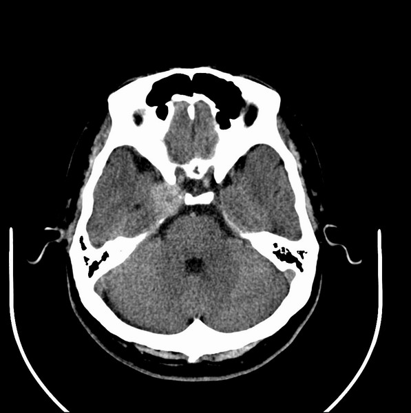
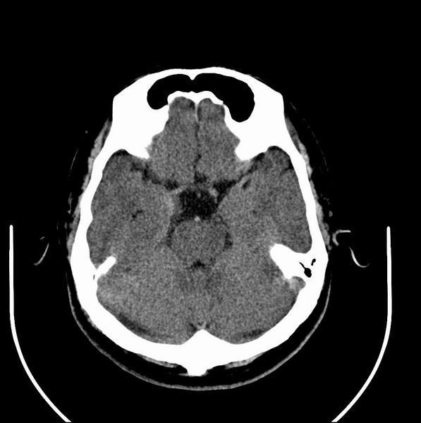
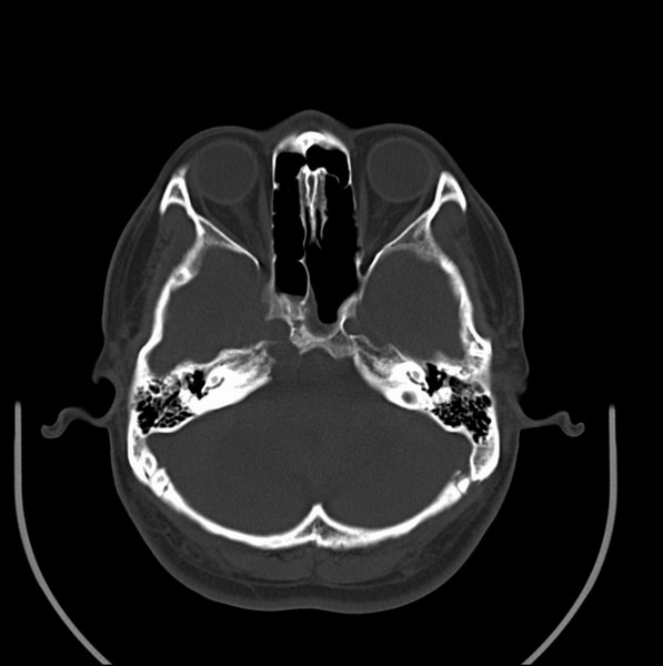
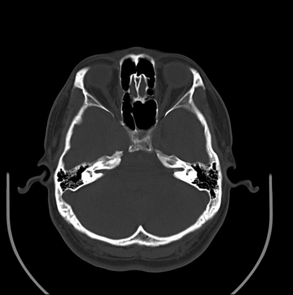
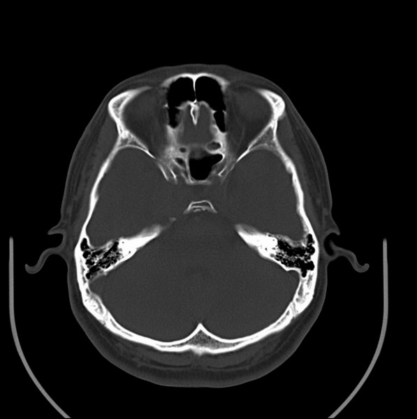
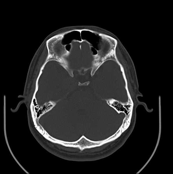
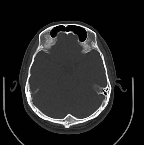
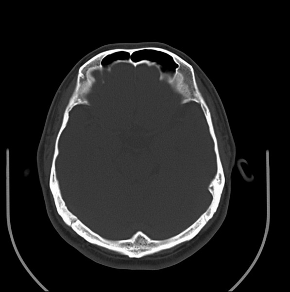
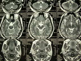
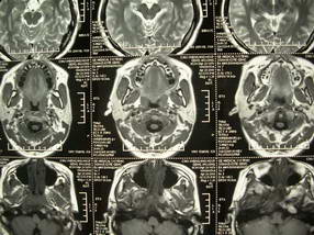
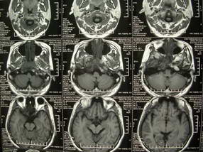
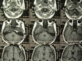
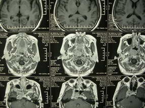
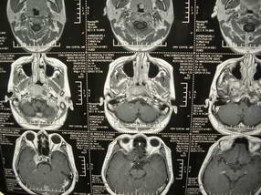
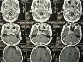
男、30、发现鼻咽部肿瘤侵犯海绵窦,未发现明显淋巴肿。请问国内那家医院治疗鼻咽部肿瘤最好?手术以何种方式为主?病灶可否全部切除?急切期待的大家的帮助。


















































[本贴已被 王靖旗 于 2009-5-1 9:47:16 修改过]
[本贴已被 jiajie 于 2009-5-1 21:09:28 修改过]
作者: liyf 时间: 2009-5-1 17:49
扫描示鼻咽腔不对称,中度狭窄,右侧咽隐窝消失,局部软组织肿块,鼻咽右侧壁增厚形成肿块,突入鼻咽腔,肿块平扫呈等密度,肿块向深部侵润,右侧翼内外肌受侵,右侧咽旁间隙变窄;向后生长,头长肌界线欠清,向后上生长侵犯同侧颈动脉鞘区。双侧海绵窦增宽,内见软组织影与鼻咽部肿块相连。考虑鼻咽癌。鼻咽癌主要是放射治疗,且效果较好;到当地有治疗设备较大医院治疗即可。
作者: 深泽交通 时间: 2009-5-1 17:54
手术此部位预后可麻烦,参考一下伽马刀
作者: peijunlong 时间: 2009-5-1 17:56
可以查查射波刀治疗。
作者: bmw011 时间: 2009-5-1 18:16
这个病例有点特殊,和常见的鼻咽癌不太一样,以向颅内侵犯为主,骨质破坏区小。鼻咽癌首先要考虑,有没有其他可能?本人不会看mr片,期待有人能讲解,期待病理。
作者: 小初学者 时间: 2009-5-1 20:10
建议强化检查,鼻咽部纤维血管瘤待排。
作者: 随光逐影 时间: 2009-5-1 21:49
鼻咽部新生物(纤维血管瘤?鼻咽癌?)侵犯右侧中颅窝底及右侧海绵窦;建议必要时活检定性。
作者: 黑白光影 时间: 2009-5-1 22:24
标题: 。
支持大家考虑,最好的治疗方式不太懂。
[本贴已被 黑白光影 于 2009-5-1 14:27:02 修改过]
作者: LIAOQIANG 时间: 2009-5-1 22:34
好像鼻咽癌放治效果不错。
作者: 卜一 时间: 2009-5-1 23:56
鼻咽部新生物(纤维血管瘤?鼻咽癌?)侵犯右侧中颅窝底及右侧海绵窦;建议必要时活检定性。
支持!
作者: 杀毒软件 时间: 2009-5-2 00:24
放疗效果不错
作者: 宇宙CT 时间: 2009-5-2 03:08
放疗效果不错
作者: gule 时间: 2009-5-2 04:56
鼻咽部新生物(纤维血管瘤?鼻咽癌?)侵犯右侧中颅窝底及右侧海绵窦;建议必要时活检定性。
支持!
作者: gule 时间: 2009-5-2 05:00
鼻咽部新生物(纤维血管瘤?鼻咽癌?)侵犯右侧中颅窝底及右侧海绵窦;建议必要时活检定性。
支持!
作者: 582914319 时间: 2009-5-2 05:07
标题: 回复:鼻咽部肿物
以下是引用随光逐影在2009-5-1 13:49:00的发言:[br]鼻咽部新生物(纤维血管瘤?鼻咽癌?)侵犯右侧中颅窝底及右侧海绵窦;建议必要时活检定性。
作者: jiangguowu 时间: 2009-5-2 05:46
(纤维血管瘤?鼻咽癌?)
作者: 影像孺子牛 时间: 2009-5-2 06:36
鼻咽部新生物侵犯右侧中颅窝底及右侧海绵窦,鼻咽癌可能性大。建议增强扫描。纤维血管瘤禁忌穿刺。
作者: 同 时间: 2009-5-2 19:33
标题: 回复:ct19713:鼻咽部肿物
以下是引用bmw011在2009-5-1 10:16:00的发言:[br]这个病例有点特殊,和常见的鼻咽癌不太一样,以向颅内侵犯为主,骨质破坏区小。鼻咽癌首先要考虑,有没有其他可能?本人不会看mr片,期待有人能讲解,期待病理。
作者: zbp537 时间: 2009-5-2 19:45
典型鼻咽癌侵犯右侧海绵窦(对放疗敏感)
作者: chinanyd 时间: 2009-5-2 21:53
还是先确诊,如果是鼻咽癌,一般行放射治疗;这例患者我首先考虑鼻咽癌
作者: ct诊断高手 时间: 2009-5-3 00:41
鼻咽部新生物(纤维血管瘤?鼻咽癌?)侵犯右侧中颅窝底及右侧海绵窦;建议必要时活检定性。
支持!
欢迎光临 医影在线 (http://bbs.radida.com/bbs/) |
Powered by Discuz! X3.2 |