





























































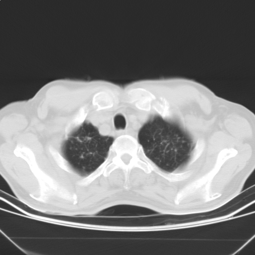
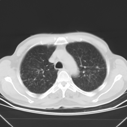
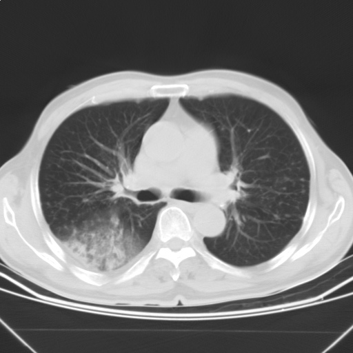
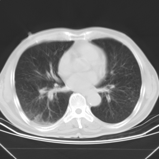
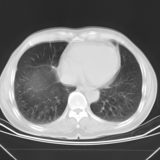
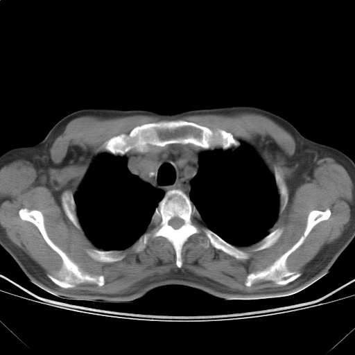
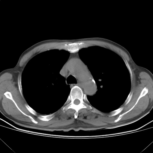
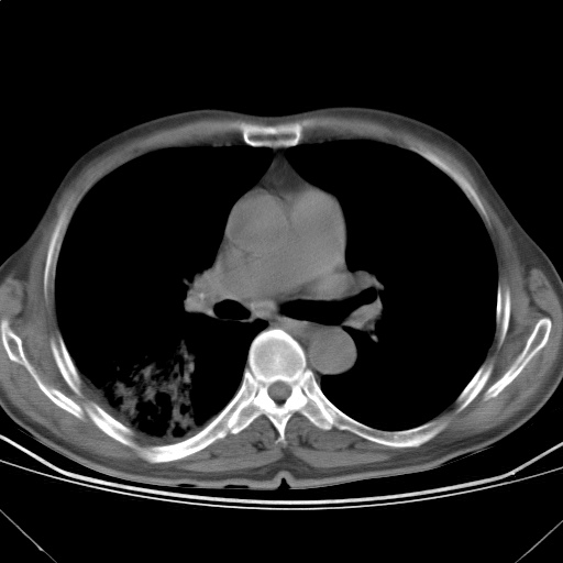
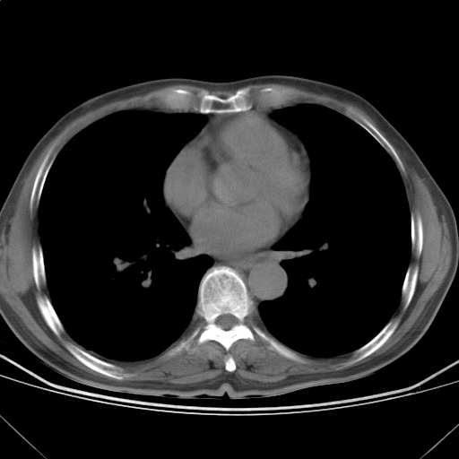
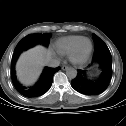
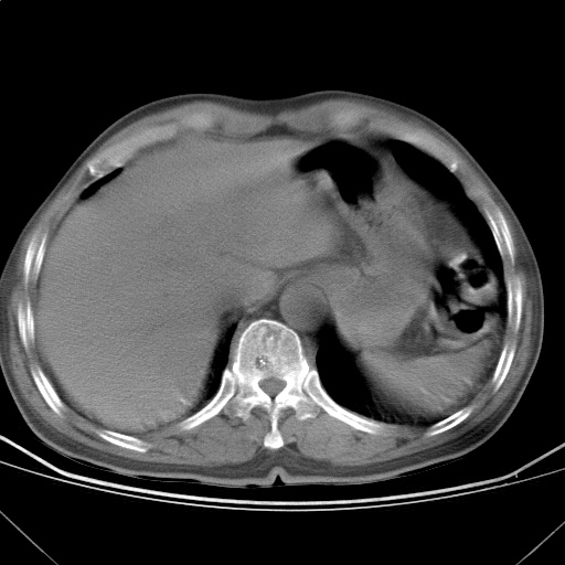
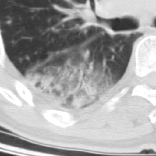
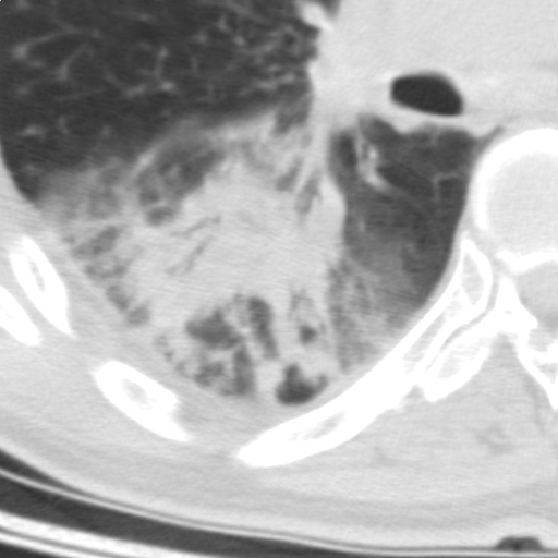
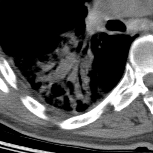
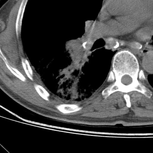
以下是引用随光逐影在2009-5-1 13:53:00的发言:[br]考虑为:1)两肺血行播散型肺结核;2)右肺下叶炎症感染。3)右侧胸膜增厚。
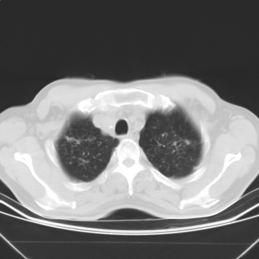
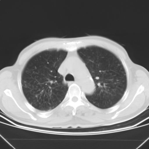
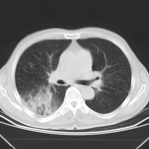
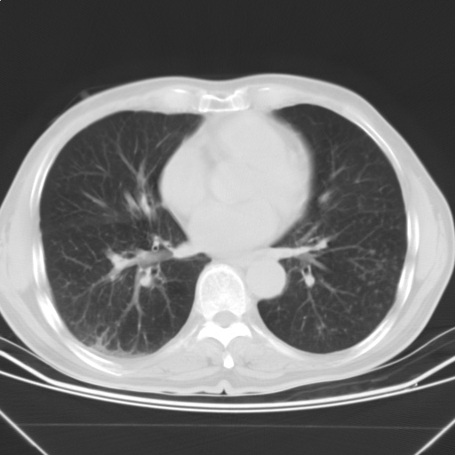
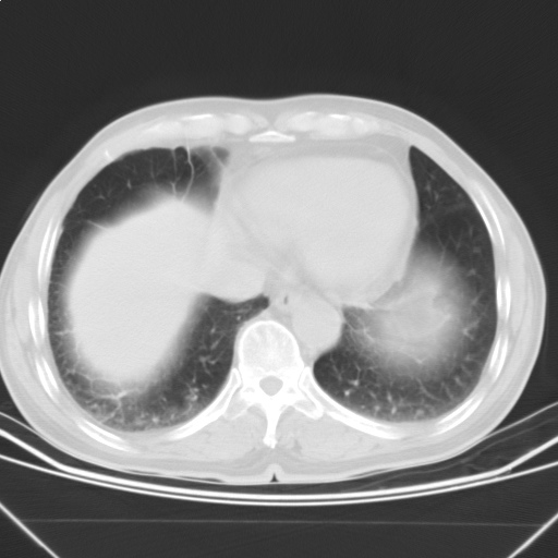
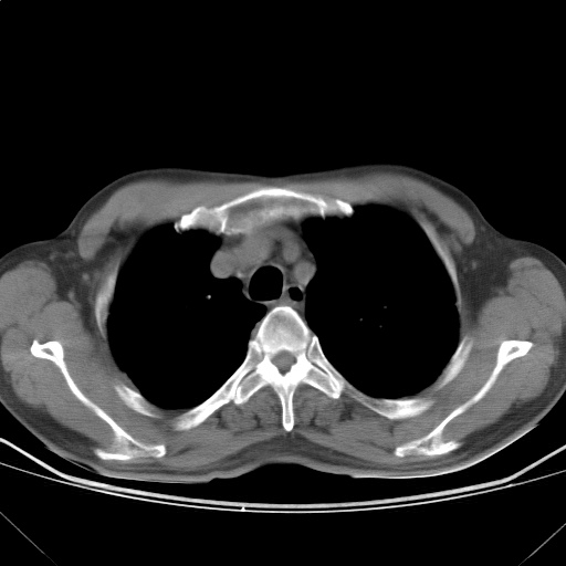
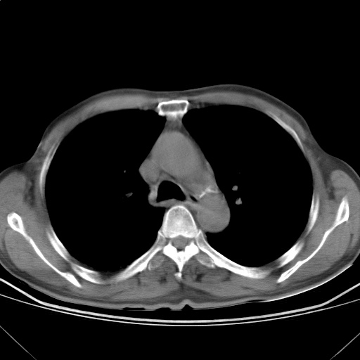
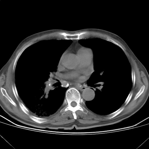
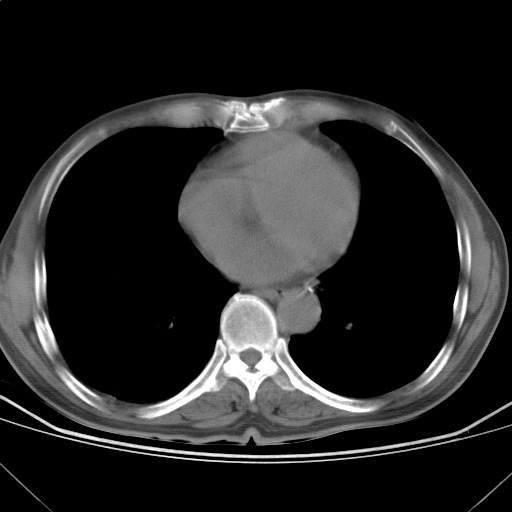
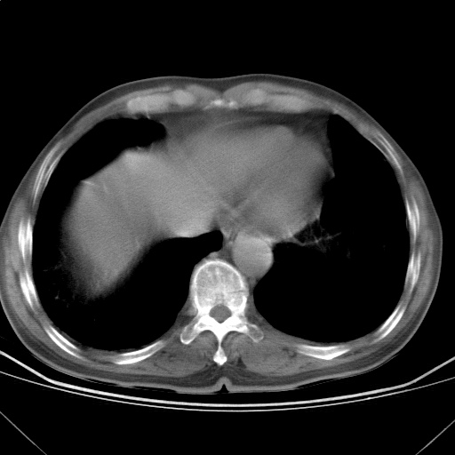
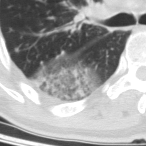
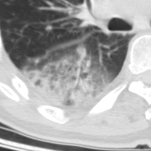
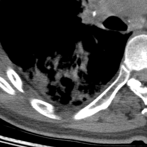
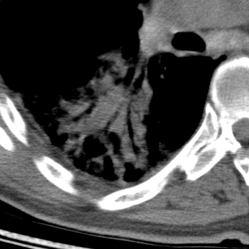
以下是引用随光逐影在2009-5-1 13:53:00的发言:[br]考虑为:1)两肺血行播散型肺结核;2)右肺下叶炎症感染。3)右侧胸膜增厚。
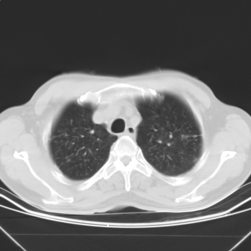
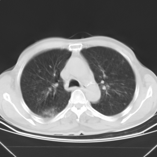
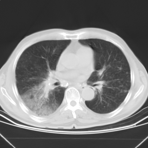
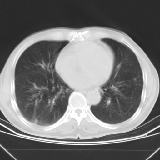
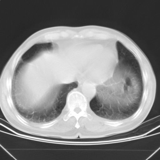
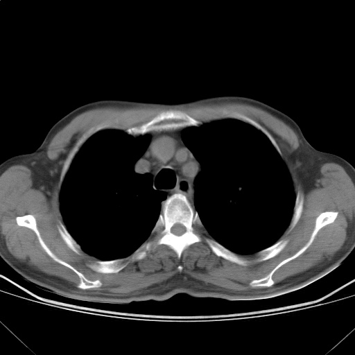
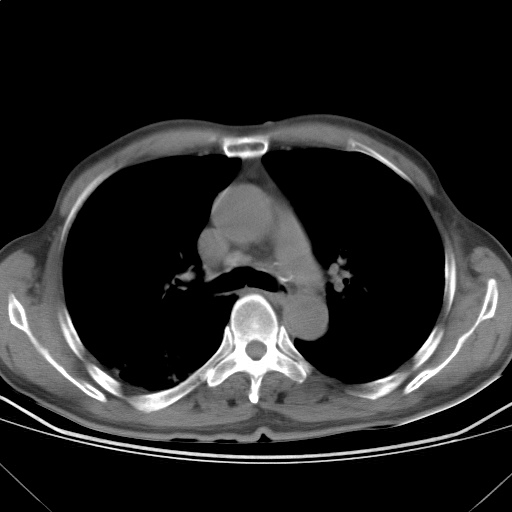
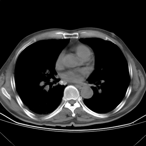
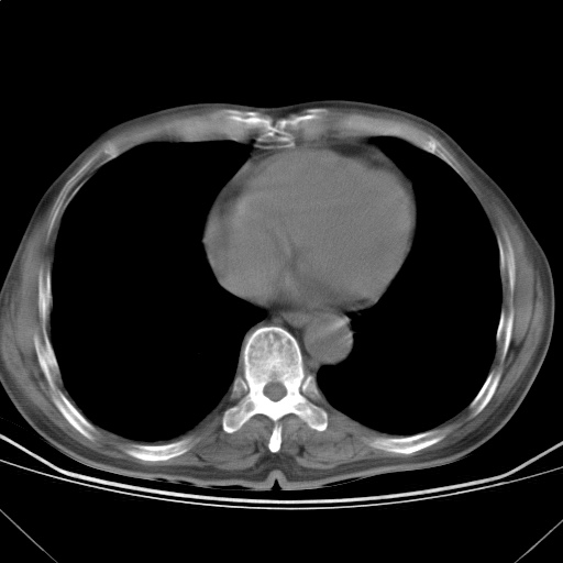
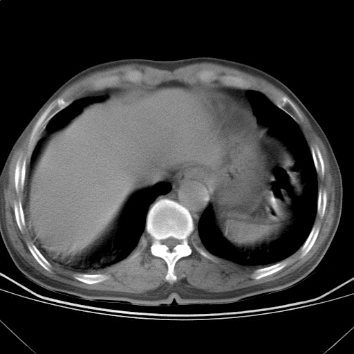
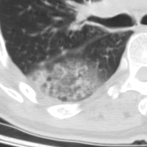
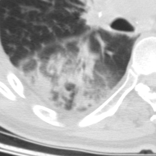
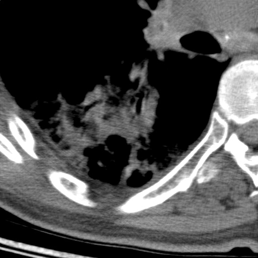
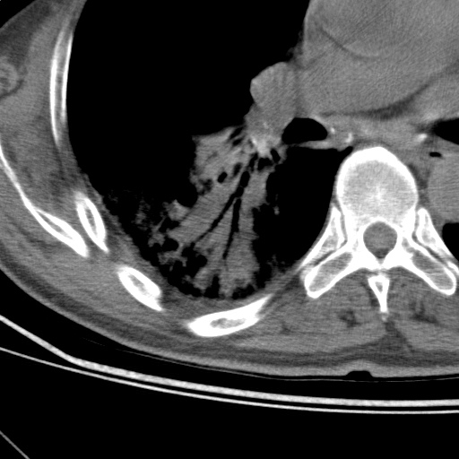
以下是引用随光逐影在2009-5-1 13:53:00的发言:[br]考虑为:1)两肺血行播散型肺结核;2)右肺下叶炎症感染。3)右侧胸膜增厚。
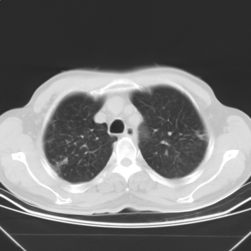
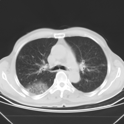
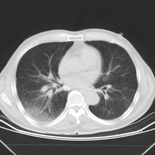
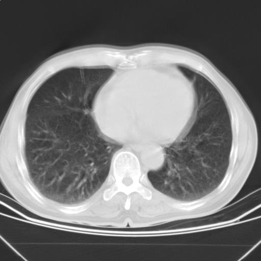
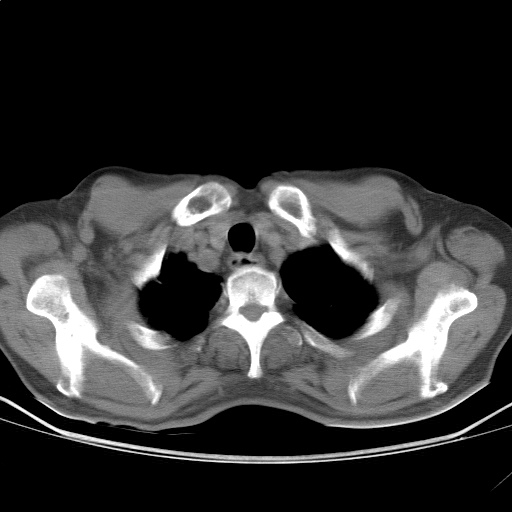
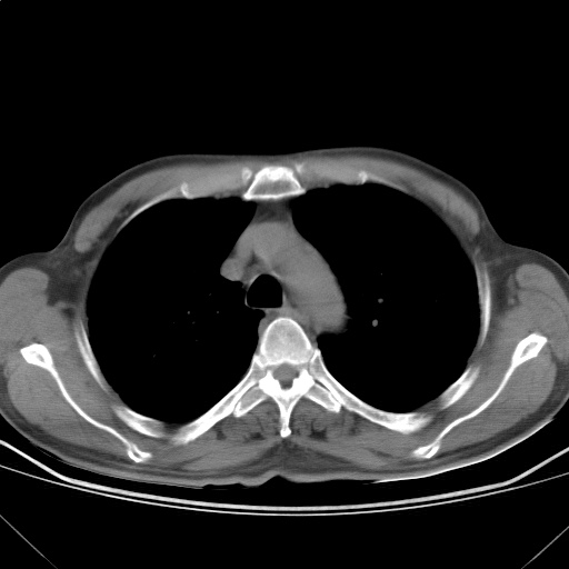
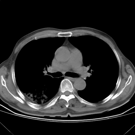
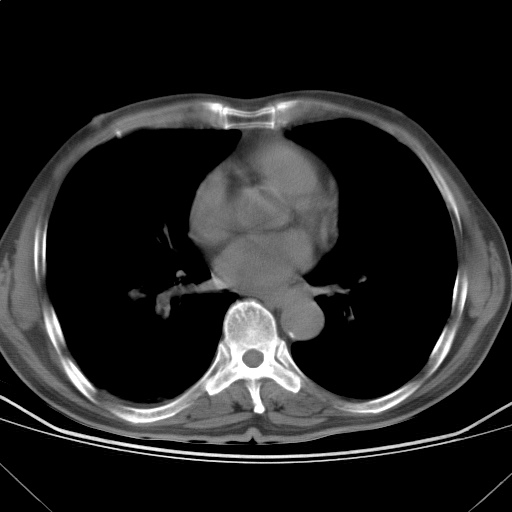
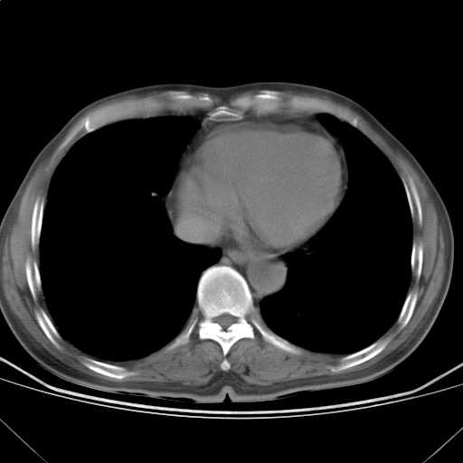
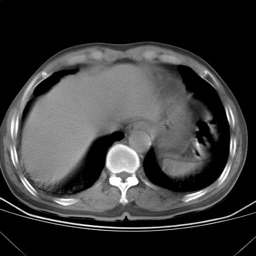
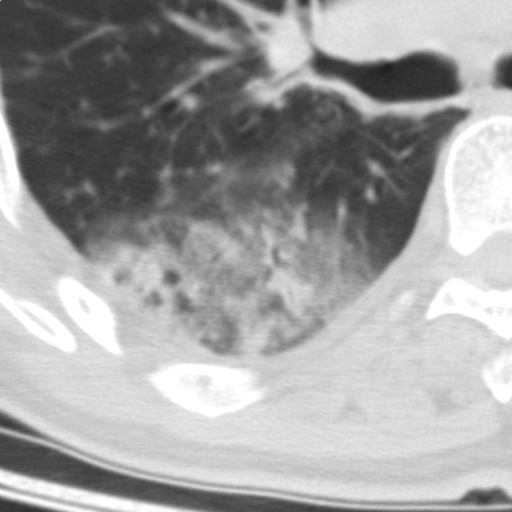
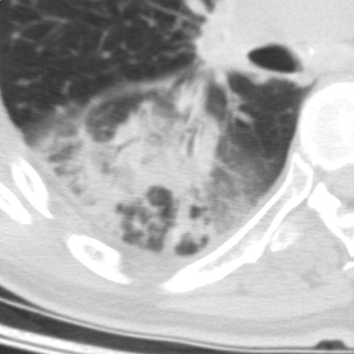
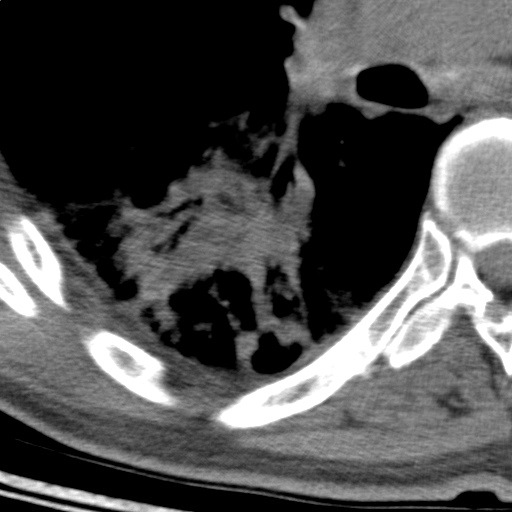
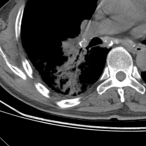
以下是引用随光逐影在2009-5-1 13:53:00的发言:[br]考虑为:1)两肺血行播散型肺结核;2)右肺下叶炎症感染。3)右侧胸膜增厚。
| 欢迎光临 医影在线 (http://bbs.radida.com/bbs/) | Powered by Discuz! X3.2 |