医影在线

标题: 男性患者,32岁,发热、咳嗽3天,体温最高39、8℃,胸片 [打印本页]

作者: 小初学者    时间: 2009-5-2 04:50
标题: 男性患者,32岁,发热、咳嗽3天,体温最高39、8℃,胸片
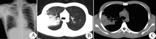
男性患者,32岁,发热、咳嗽3天,体温最高39、8℃,胸片及ct检查见下图。该病例应诊断为哪种疾病,诊断依据是什么?

作者: 余辉    时间: 2009-5-2 20:55
结合病史暂考虑大叶性肺炎,治疗后复查
作者: 杀毒软件    时间: 2009-5-3 01:38
支持---大叶性肺炎
作者: hguox    时间: 2009-5-7 02:19
支持---大叶性肺炎
作者: wenyong    时间: 2009-5-8 09:39
段性均匀渗出影,支气管气像,临床资料佐证——大叶性肺炎。
作者: bmw011    时间: 2009-5-9 03:46
大叶性肺炎




欢迎光临 医影在线 (http://bbs.radida.com/bbs/) Powered by Discuz! X3.2