医影在线
标题: CT19720:肝右叶血管瘤。肝左叶内侧段病灶考虑什么? [打印本页]
作者: ayi 时间: 2009-5-2 09:31
标题: CT19720:肝右叶血管瘤。肝左叶内侧段病灶考虑什么?
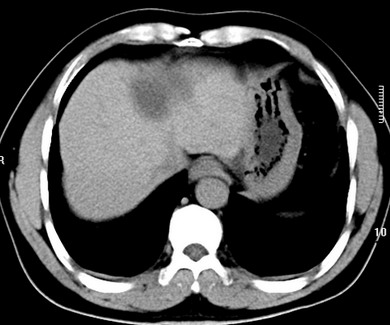
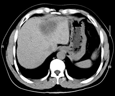
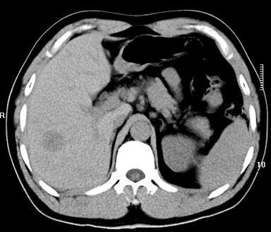
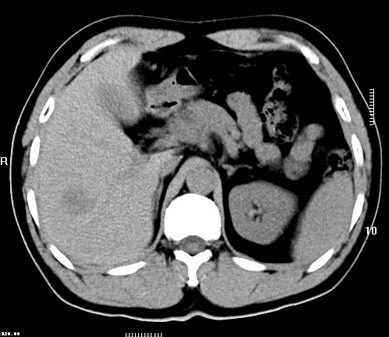
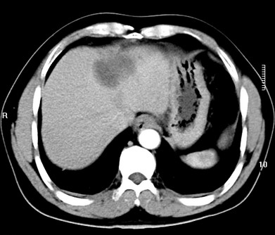
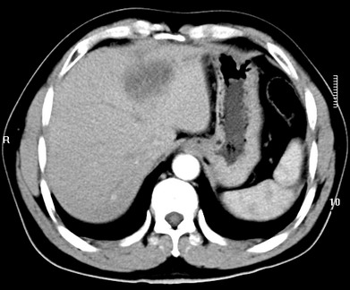
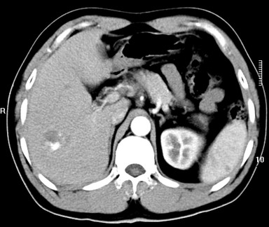
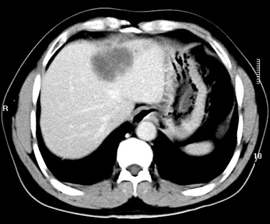
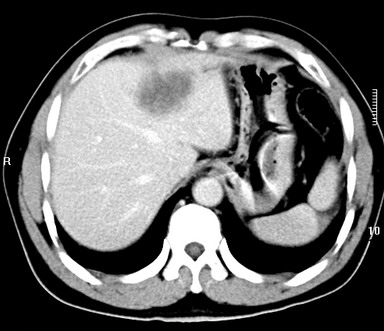
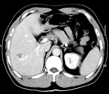
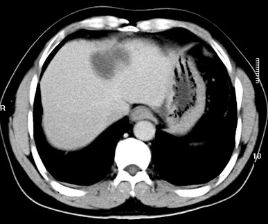
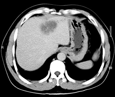
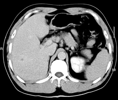
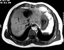
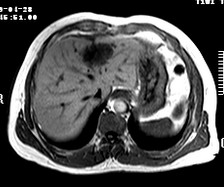
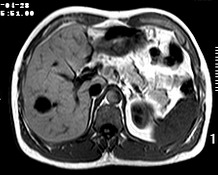
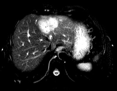
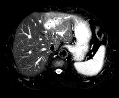
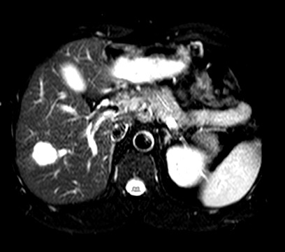
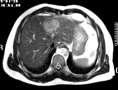
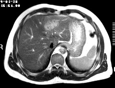
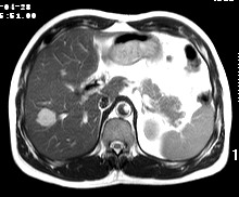
男,48岁,肝区不适月余,伴隐痛。






















[本贴已被 ayi 于 2009-5-2 1:34:32 修改过]
[本贴已被 jiajie 于 2009-5-3 20:23:14 修改过]
作者: bmw011 时间: 2009-5-2 10:01
支持右叶血管瘤,左叶病灶考虑肝腺瘤。
作者: 随光逐影 时间: 2009-5-2 15:39
1)不排除肝左叶肝癌。2)肝右叶血管瘤。
作者: jiangjing 时间: 2009-5-2 16:32
肝左叶炎性病变,肝癌待排。2)肝右叶血管瘤。
作者: liyf 时间: 2009-5-2 16:33
1.肝右叶血管瘤;2.肝左叶炎性假瘤?肝癌?建议穿刺活检.
作者: 深泽交通 时间: 2009-5-2 16:46
标题: 回复:肝右叶血管瘤。肝左叶内侧段病灶考虑什么?
以下是引用随光逐影在2009-5-2 7:39:00的发言:[br]1)不排除肝左叶肝癌。2)肝右叶血管瘤。
作者: 576034755 时间: 2009-5-2 18:25
右叶病灶典型,左叶病变慢性炎块
作者: zbp537 时间: 2009-5-2 19:54
1、肝右叶血管瘤(典型)。
2、肝左叶病灶,强化不明显,疑炎性假瘤,建议结合临床并密切随访。
作者: chinanyd 时间: 2009-5-2 21:55
顶
作者: zjzjr 时间: 2009-5-2 23:48
肝左叶炎性病变,肝癌待排。2)肝右叶血管瘤。
作者: cefcmj 时间: 2009-5-3 00:32
1、肝左叶炎性病变,肝癌待排。
2、肝右叶血管瘤。
作者: 杀毒软件 时间: 2009-5-3 02:51
标题: 回复:肝右叶血管瘤。肝左叶内侧段病灶考虑什么?
以下是引用随光逐影在2009-5-2 7:39:00的发言:[br]1)不排除肝左叶肝癌。2)肝右叶血管瘤。
支持
作者: 余辉 时间: 2009-5-3 03:01
肝左叶脓肿,肝癌待排。2)肝右叶血管瘤
作者: zjb 时间: 2009-5-3 04:18
标题: 回复:肝右叶血管瘤。肝左叶内侧段病灶考虑什么?
以下是引用liyf在2009-5-2 8:33:00的发言:[br]1.肝右叶血管瘤;2.肝左叶炎性假瘤?肝癌?建议穿刺活检.
支持
作者: 黑白光影 时间: 2009-5-3 04:53
标题: 回复:肝右叶血管瘤。肝左叶内侧段病灶考虑什么?
以下是引用余辉在2009-5-2 19:01:00的发言:[br]肝左叶脓肿,肝癌待排。2)肝右叶血管瘤
| 欢迎光临 医影在线 (http://bbs.radida.com/bbs/) |
Powered by Discuz! X3.2 |