医影在线
标题: CT19723:五一黄金周依然学习 [打印本页]
作者: ct诊断高手 时间: 2009-5-2 22:49
标题: CT19723:五一黄金周依然学习













[本贴已被 jiajie 于 2009-5-3 20:26:07 修改过]
作者: zjzjr 时间: 2009-5-2 23:33
考虑直肠癌,请提供病史.
作者: zbp537 时间: 2009-5-2 23:54
标题: 回复
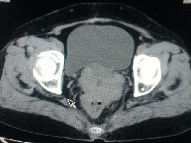
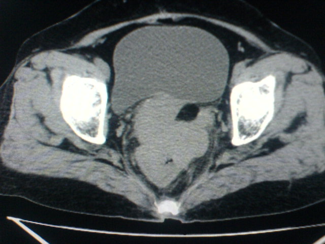
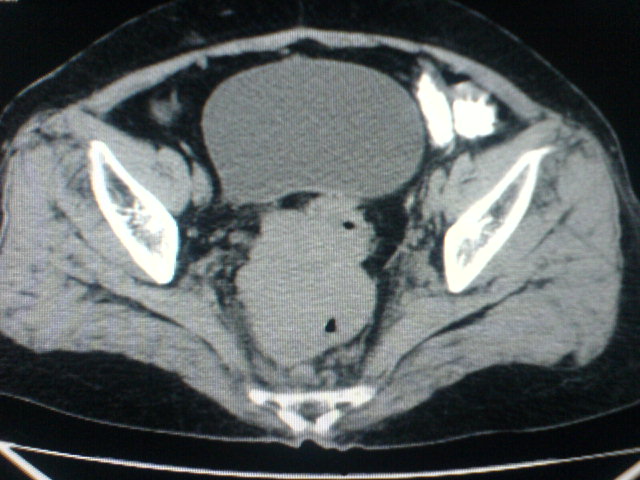
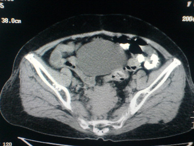
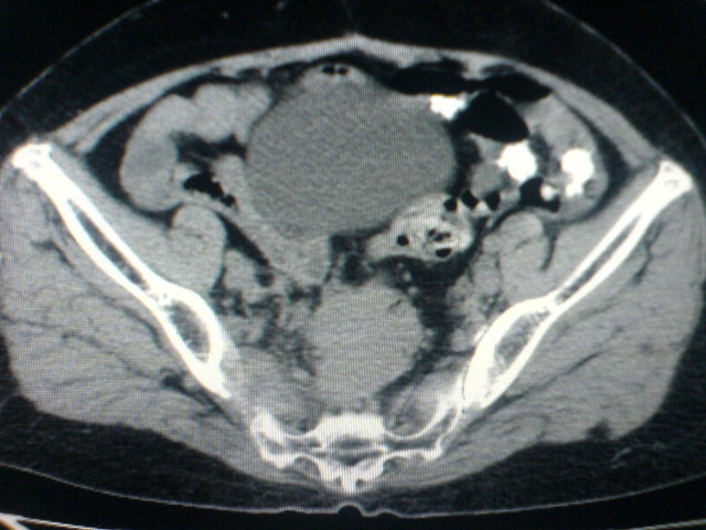
患者为老年女性,肿块最大层面不是位于宫颈,但宫颈偏后方有一囊状低密度影,肿块主要位于乙状结肠及直肠,所以考虑乙状结肠及直肠癌浸犯宫颈可能性大。
[本贴已被 zbp537 于 2009-5-2 17:00:47 修改过]
[本贴已被 zbp537 于 2009-5-2 17:04:15 修改过]
作者: 草之原 时间: 2009-5-3 00:12
直肠癌,请提供病史.
作者: 余辉 时间: 2009-5-3 00:25
支持,患者是男是女呵呵?
作者: ct诊断高手 时间: 2009-5-3 00:32
患者女性60岁 病史不详
作者: 深泽交通 时间: 2009-5-3 00:49
宫颈癌侵犯直肠可能
作者: bmw011 时间: 2009-5-3 00:53
考虑子宫内膜癌浸犯直肠。
作者: cefcmj 时间: 2009-5-3 00:55
考虑直肠癌侵及宫颈可能;建议增强扫描。
作者: 余辉 时间: 2009-5-3 01:04
支持考虑宫颈癌上下前后通吃
作者: 彭 时间: 2009-5-3 02:34
同意子宫病变侵犯直肠膀胱。
作者: 杀毒软件 时间: 2009-5-3 02:42
标题: 回复:五一黄金周依然学习
以下是引用余辉在2009-5-2 17:04:00的发言:[br]支持考虑宫颈癌上下前后通吃
支持
作者: dyqct 时间: 2009-5-3 02:49
标题: 回复:五一黄金周依然学习
以下是引用余辉在2009-5-2 17:04:00的发言:[br]支持考虑宫颈癌上下前后通吃
支持!
作者: 卜一 时间: 2009-5-3 02:59
以下是引用余辉在2009-5-2 17:04:00的发言:
支持考虑宫颈癌上下前后通吃
支持!!!
作者: zjb 时间: 2009-5-3 04:24
标题: 回复:五一黄金周依然学习
以下是引用余辉在2009-5-2 17:04:00的发言:[br]支持考虑宫颈癌上下前后通吃
作者: 黑白光影 时间: 2009-5-3 05:03
标题: 回复:五一黄金周依然学习
以下是引用余辉在2009-5-2 17:04:00的发言:[br]支持考虑宫颈癌上下前后通吃
作者: 奥特之父 时间: 2009-5-3 05:25
考虑:直肠及乙状结肠癌侵及宫颈,囊性转移(假性粘液瘤)
作者: dr.yang 时间: 2009-5-3 07:07
标题: 回复:五一黄金周依然学习
以下是引用余辉在2009-5-2 17:04:00的发言:[br]支持考虑宫颈癌上下前后通吃
作者: pujunzhi 时间: 2009-5-3 17:40
支持宫颈癌侵犯直肠。
作者: 随光逐影 时间: 2009-5-3 19:59
考虑直肠及乙状结肠癌侵犯邻近结构。
| 欢迎光临 医影在线 (http://bbs.radida.com/bbs/) |
Powered by Discuz! X3.2 |