医影在线

标题: CT19727:女,47岁,咳嗽胸痛一个星期,请会诊。 [打印本页]

作者: hmyj9    时间: 2009-5-3 01:11
标题: CT19727:女,47岁,咳嗽胸痛一个星期,请会诊。
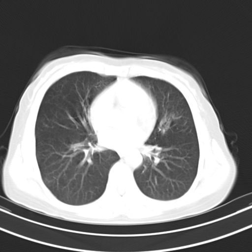
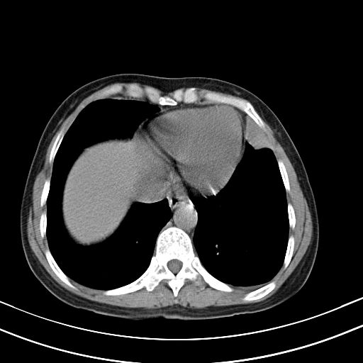
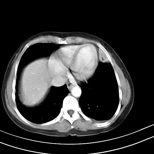
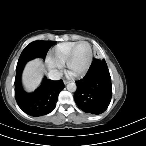
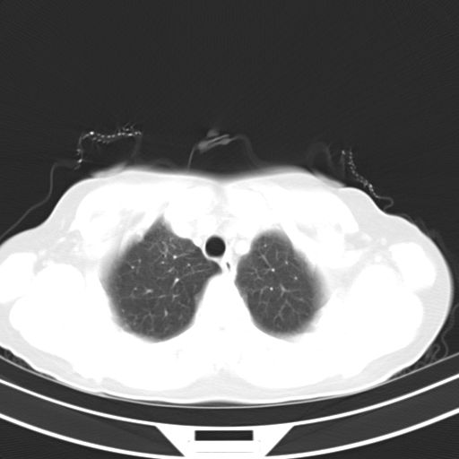
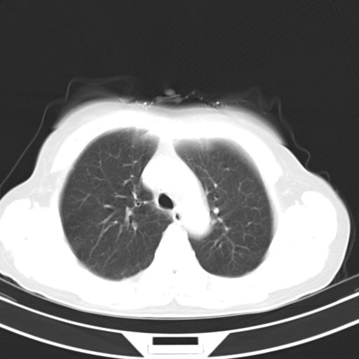
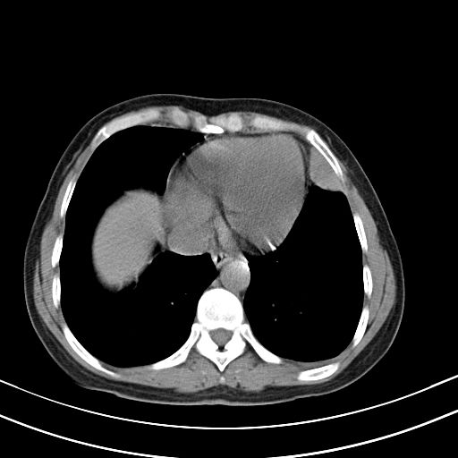
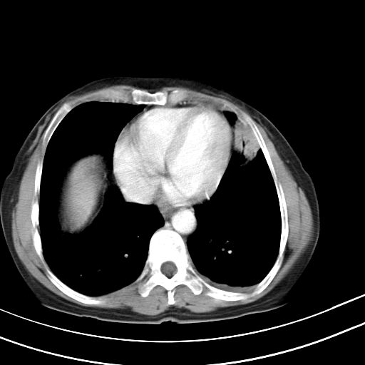
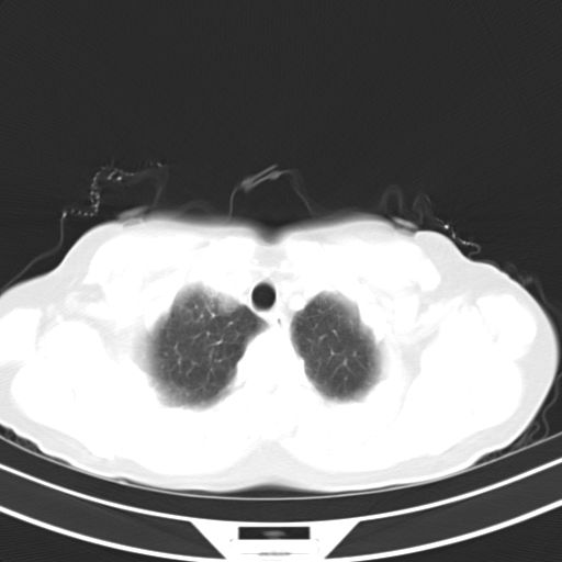
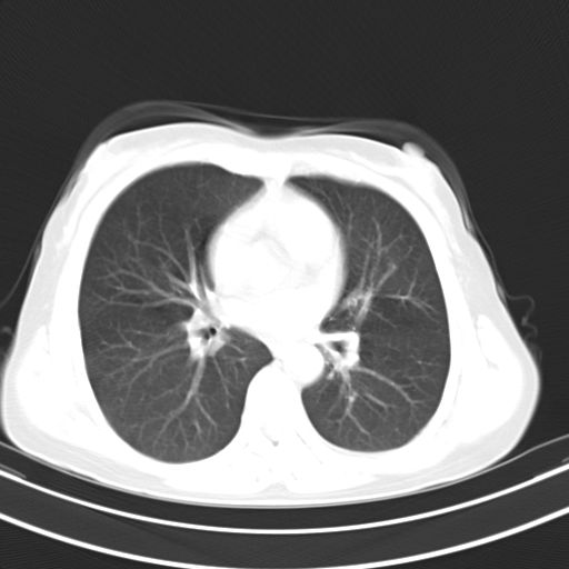
女,47岁,咳嗽胸痛一个星期,我们考虑肺结核,左下肺病灶肿瘤像不像,请高手指点。急。






































[本贴已被 jiajie 于 2009-5-3 20:30:47 修改过]

作者: bmw011    时间: 2009-5-3 01:18
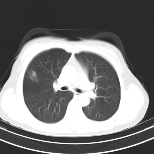
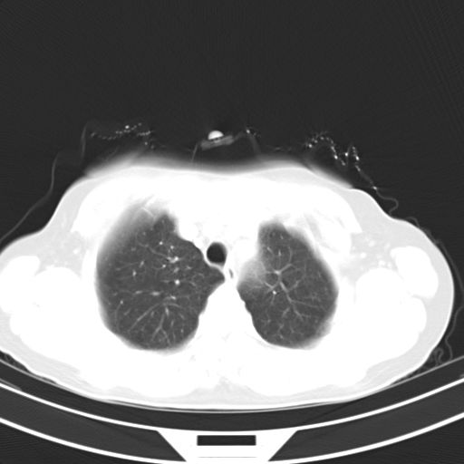
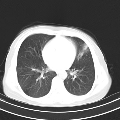
右肺考虑炎症,建议抗炎后复查,左肺下叶考虑肺不张。
作者: 深泽交通    时间: 2009-5-3 01:20
炎性灶;【1楔状实变影,有支气管气象,2近端纹理影增重】
作者: cefcmj    时间: 2009-5-3 01:39
考虑两肺炎症,建议治疗后复查。
作者: ct诊断高手    时间: 2009-5-3 01:49
支持炎症
作者: 岚儿    时间: 2009-5-3 02:10
右肺上叶前段积左肺舌叶炎症,建议严格抗炎后2周复查!
作者: 余辉    时间: 2009-5-3 02:12
考虑两肺炎症,建议治疗后复查
作者: 杀毒软件    时间: 2009-5-3 02:34
标题: 回复:女,47岁,咳嗽胸痛一个星期,请会诊。
以下是引用cefcmj在2009-5-2 17:39:00的发言:[br]考虑两肺炎症,建议治疗后复查。

支持
作者: ncy888888    时间: 2009-5-3 02:37
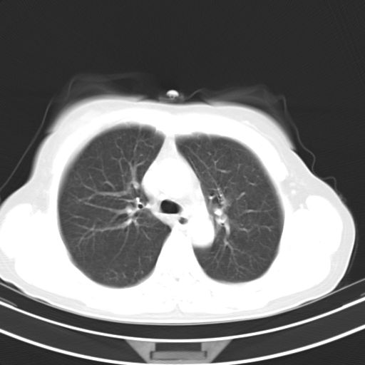
右肺上叶尖后段班片影不能出外肺结核。左肺舌叶三角形实变影,增强明显。考虑炎性病变
作者: 卜一    时间: 2009-5-3 03:13
考虑两肺炎症,建议治疗后复查。
作者: gule    时间: 2009-5-3 03:23
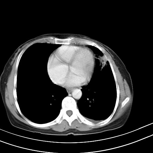
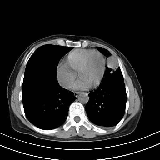
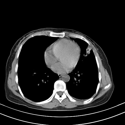
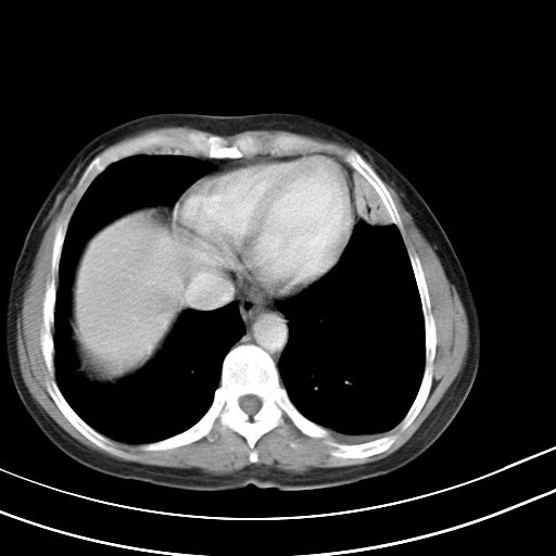
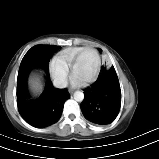
考虑两肺炎症,左胸腔积液,建议治疗后复查!
作者: 草之原    时间: 2009-5-3 03:36
考虑炎性病变,左肺舌叶病灶需要与早期肺脓肿鉴别(结合实验室),左侧少量胸腔积液。
作者: 西北狼    时间: 2009-5-3 04:02
右肺为炎性改变,左肺病灶影像所见1、楔状实变影,边缘呈刀切样,见支气管气象,2、近端纹理影增重。
并从一元化来解释,还是符合炎性病灶。建议抗炎后复查。
作者: zjb    时间: 2009-5-3 04:03
考虑两肺炎症,建议治疗后复查。
作者: zjzjr    时间: 2009-5-3 04:19
考虑两肺炎症,建议治疗后复查,左侧少量胸腔积液
作者: lrj    时间: 2009-5-3 04:25
左上肺舌叶实质性病变,形态呈楔形,内可见支气管气像,中至重度强化,考虑为炎性改变,建议复查
作者: 泪洒红尘    时间: 2009-5-3 04:51
考虑结核合并感染。
作者: 奥特之父    时间: 2009-5-3 04:58
考虑双肺炎症,治疗后复查.
作者: 黄毛小子    时间: 2009-5-3 04:58
支持炎症
作者: 黑白光影    时间: 2009-5-3 05:22
考虑两肺炎症,建议治疗后复查。
作者: jw-830    时间: 2009-5-3 05:31
考虑两肺炎症,建议治疗后复查。
作者: shuhangyong    时间: 2009-5-3 05:43
支持炎症
作者: 影像孺子牛    时间: 2009-5-3 07:45
两肺病变考虑炎症可能性大。(左肺病变呈楔状实变影,有支气管气象,近端纹理影增重)。
作者: 随光逐影    时间: 2009-5-3 20:23
1)右肺上叶前段及左肺上叶舌段感染性病变;建议抗炎治疗后复查。2)左侧少量胸腔积液。
作者: zbp537    时间: 2009-5-3 20:27
考虑右肺上叶前段及左肺舌叶炎症,建议抗炎治疗后复查除外结核。
左肺舌叶病灶呈扇形分布,其内可见支气管影,胸膜面光滑,不支持肿瘤病变。




欢迎光临 医影在线 (http://bbs.radida.com/bbs/) Powered by Discuz! X3.2