医影在线

标题: CT19733:右肾碎裂 [打印本页]

作者: 新竹平易    时间: 2009-5-3 06:42
标题: CT19733:右肾碎裂
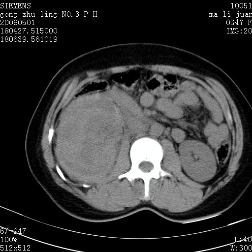
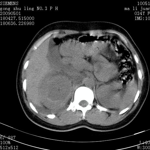
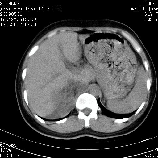
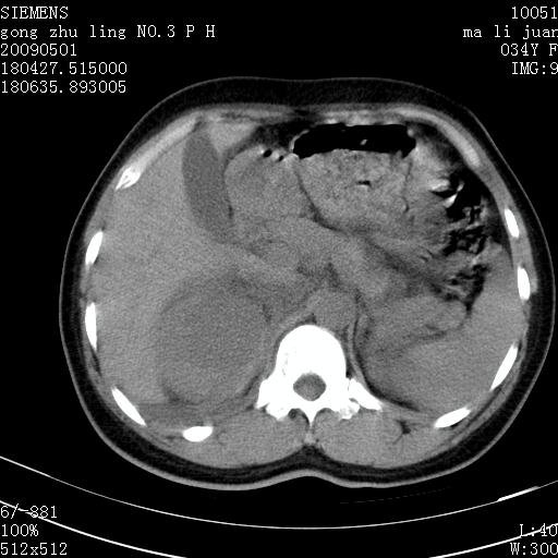
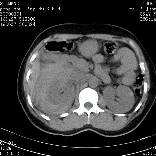
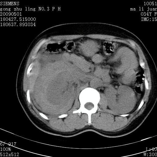
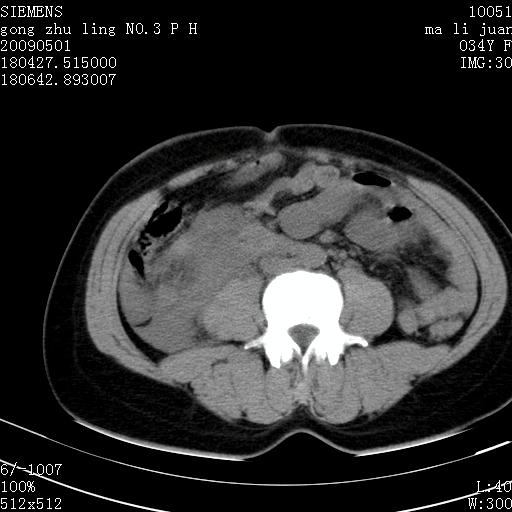
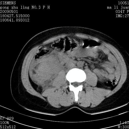
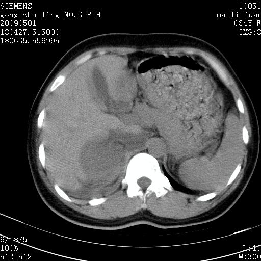
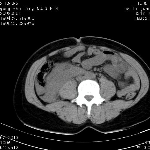
青年女性,骑摩托车摔伤。
































[本贴已被 jiajie 于 2009-5-3 20:36:17 修改过]

作者: bmw011    时间: 2009-5-3 07:02
右肾碎裂伤,包膜下血肿。
作者: chinanyd    时间: 2009-5-3 14:58
右肾挫裂伤
作者: ncy888888    时间: 2009-5-3 15:56
考虑肾门血管有断裂
作者: 新竹平易    时间: 2009-5-3 16:44
术中仅见右肾碎裂,肾蒂血管未见断裂。
作者: pujunzhi    时间: 2009-5-3 17:20
支持右肾碎裂伤,包膜下血肿。
作者: zjzjr    时间: 2009-5-3 18:09
支持右肾破裂伴包膜下血肿。
作者: 随光逐影    时间: 2009-5-3 20:46
支持 右肾破裂伴肾包膜下及肾周血肿。
作者: zbp537    时间: 2009-5-3 21:02
右肾破裂并右侧腹膜后间隙出血。
作者: 黑白光影    时间: 2009-5-3 21:15
支持右肾破裂伴包膜下血肿。
作者: LIAOQIANG    时间: 2009-5-3 23:54
右肾破裂伴肾包膜下及肾周血肿。
作者: 杀毒软件    时间: 2009-5-4 01:08
支持 右肾破裂伴肾包膜下及肾周血肿
作者: 余辉    时间: 2009-5-4 01:16
支持右肾破裂伴包膜下血肿
作者: yuhongjun    时间: 2009-5-4 01:38
支持右肾碎裂伤,包膜下血肿。
作者: zxczxc    时间: 2009-5-4 06:08
右肾挫裂伤。
作者: gule    时间: 2009-5-4 06:33
支持 右肾破裂伴肾包膜下及肾周血肿
作者: panyishengct    时间: 2009-5-4 06:44
右肾碎裂伤,包膜下血肿。
作者: 泪洒红尘    时间: 2010-9-1 04:37
支持右肾破裂伴包膜下血肿。
作者: tnlk    时间: 2010-9-1 05:17
右肾碎裂伤,包膜下血肿。
作者: yuhongjun    时间: 2010-9-1 12:52
支持右肾破裂伴包膜下血肿。
作者: 影像之路    时间: 2010-9-2 03:11
感谢贾版主反馈术后结果
作者: 拾荒者    时间: 2010-9-2 04:49
支持 右肾破裂伴肾包膜下及肾周血肿 。
作者: 37度    时间: 2010-9-2 05:19
支持 右肾破裂伴肾包膜下及肾周血肿 。




欢迎光临 医影在线 (http://bbs.radida.com/bbs/) Powered by Discuz! X3.2