















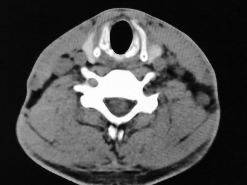
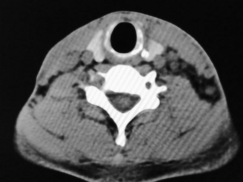
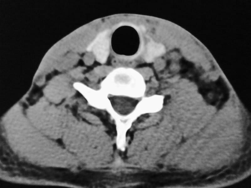
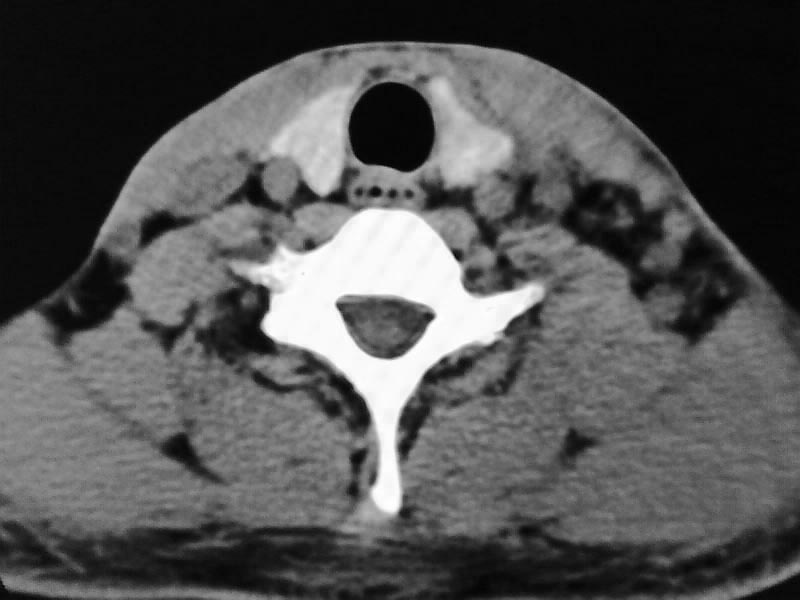
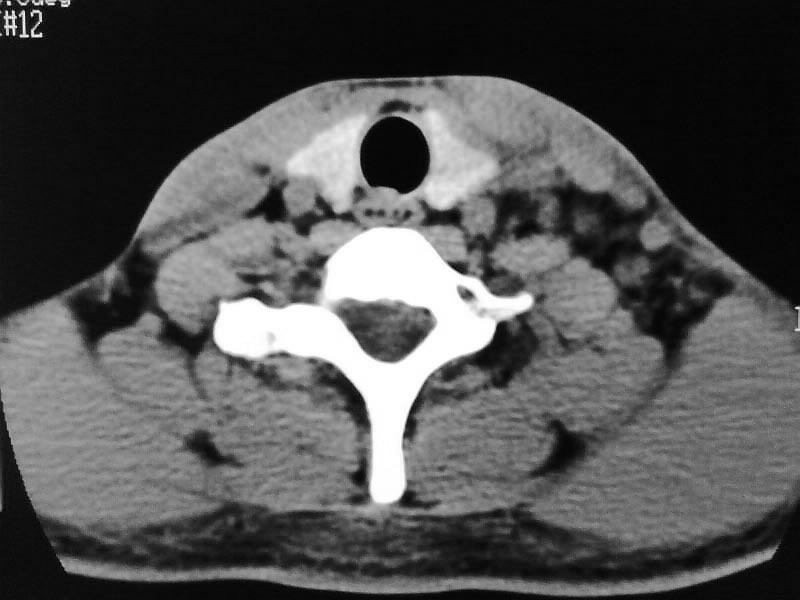
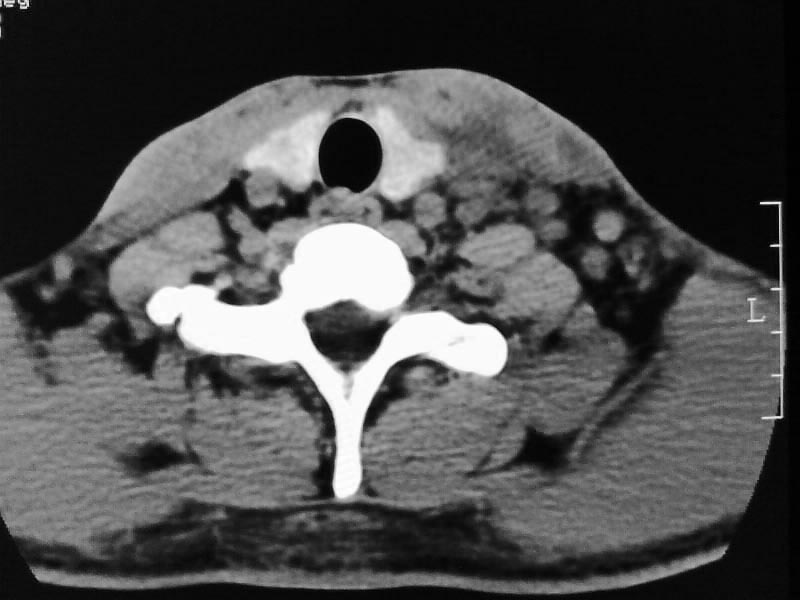
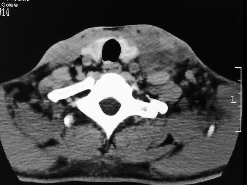
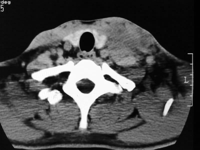
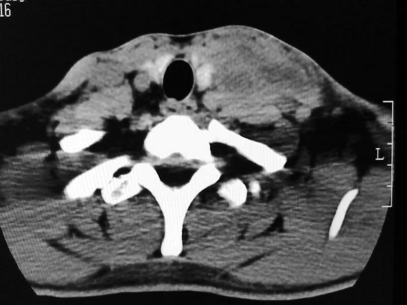
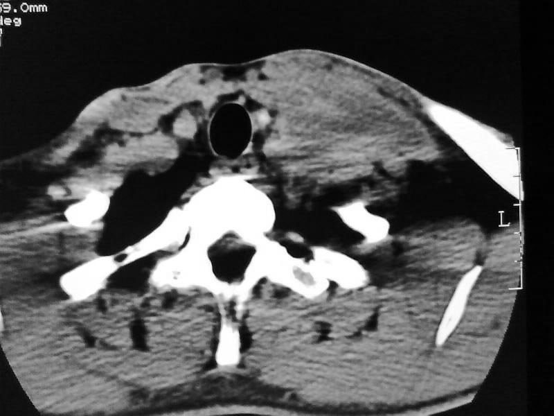
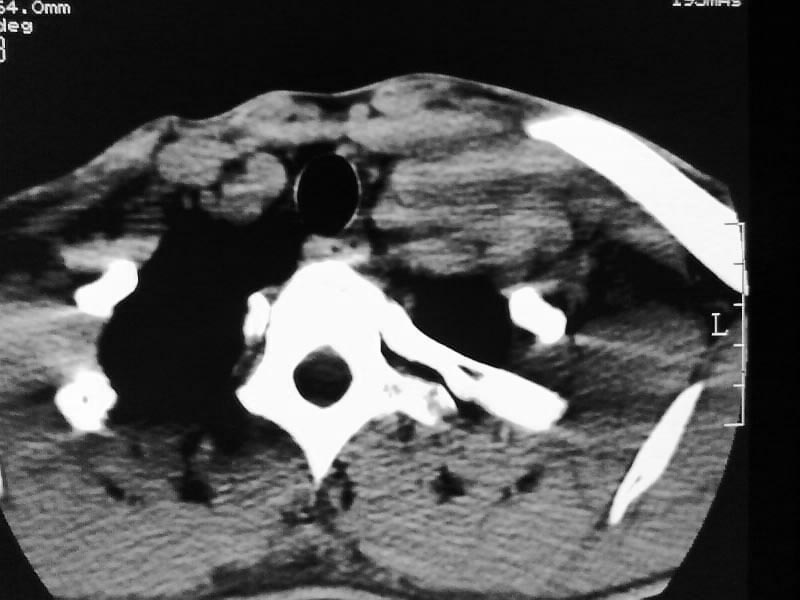
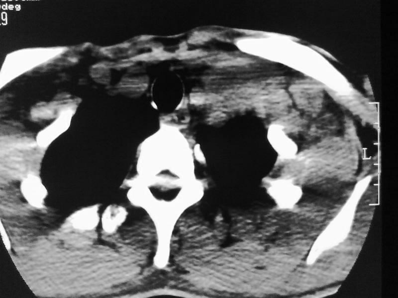
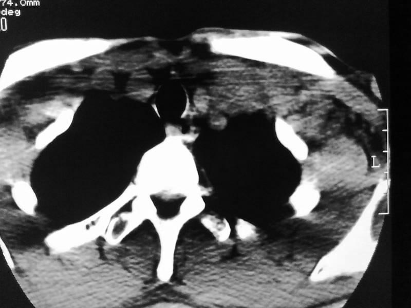
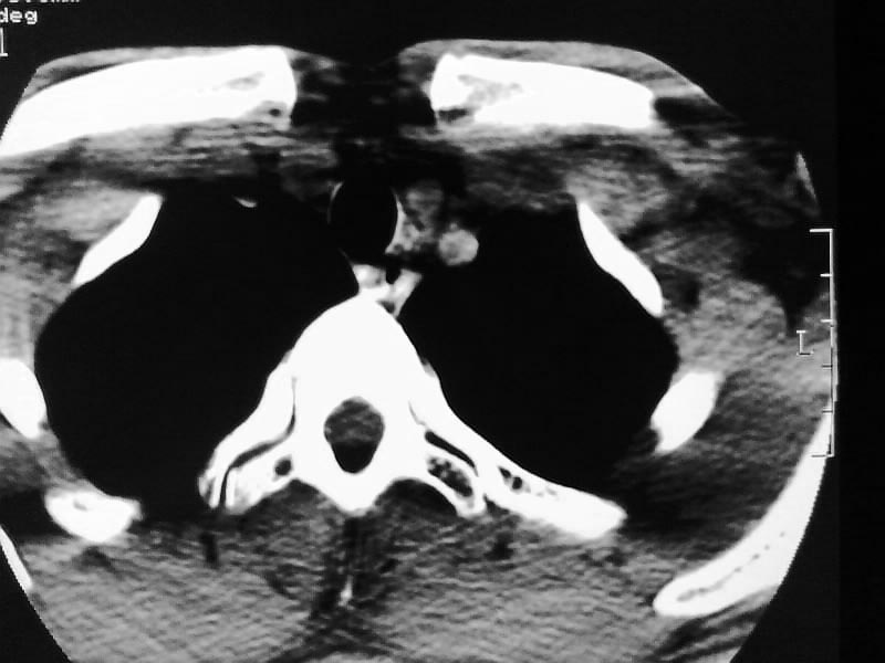
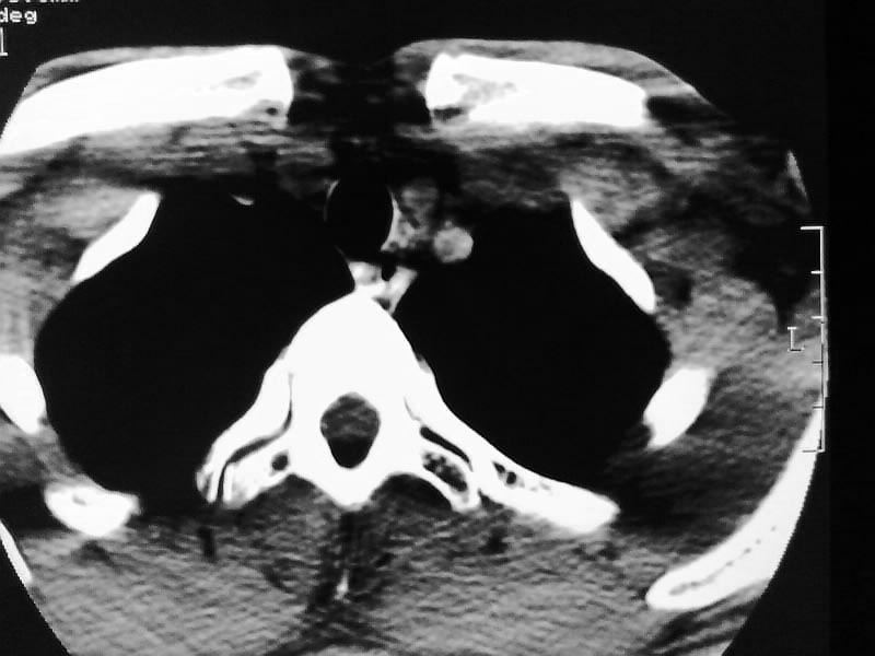
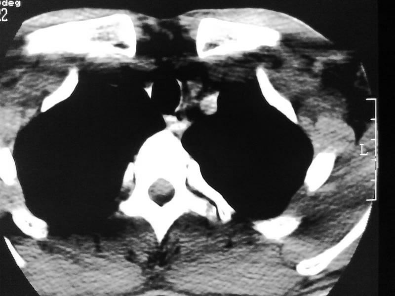
以下是引用余辉在2009-5-3 11:36:00的发言:[br]左侧胸锁乳突肌下方不规则肿物影,边界不清,内部密度不均,左侧颈外侧区脂肪增多,多发淋巴结肿大,考虑淋巴或神经来源肿瘤可能性大,不除外淋巴结炎,肌源性肿瘤及增生性肌炎等,活检
以下是引用余辉在2009-5-3 11:36:00的发言:[br]左侧胸锁乳突肌下方不规则肿物影,边界不清,内部密度不均,左侧颈外侧区脂肪增多,多发淋巴结肿大,考虑淋巴或神经来源肿瘤可能性大,不除外淋巴结炎,肌源性肿瘤及增生性肌炎等,活检
| 欢迎光临 医影在线 (http://bbs.radida.com/bbs/) | Powered by Discuz! X3.2 |