医影在线

标题: CT19736:男,76岁,咳嗽,胸痛 [打印本页]

作者: zgjldq    时间: 2009-5-3 17:33
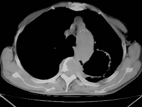
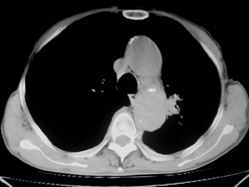
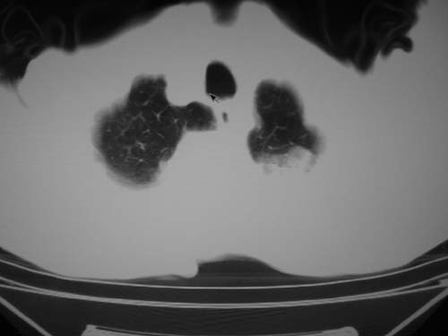
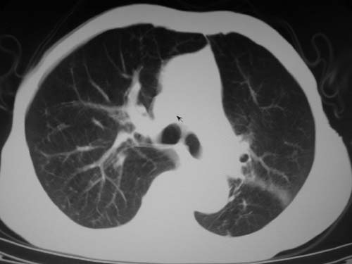
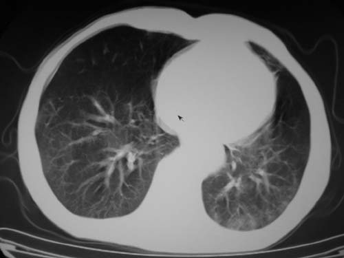
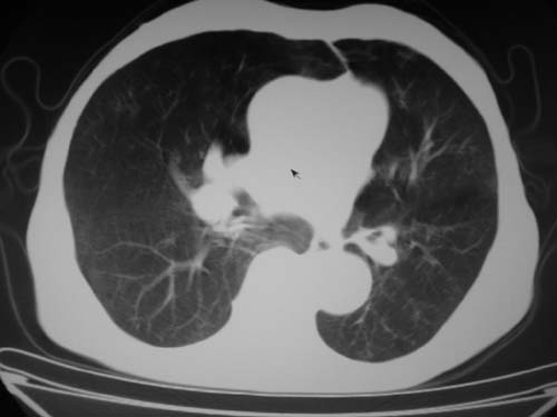
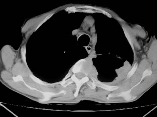
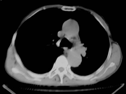
标题: CT19736:男,76岁,咳嗽,胸痛



































[本贴已被 jiajie 于 2009-5-3 20:37:14 修改过]

作者: ct诊断高手    时间: 2009-5-3 17:59
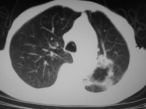
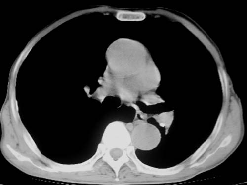
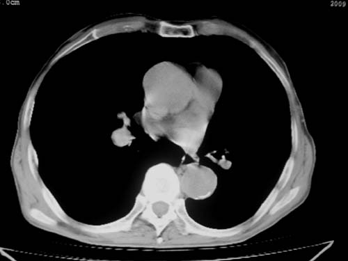
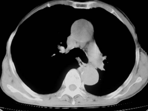
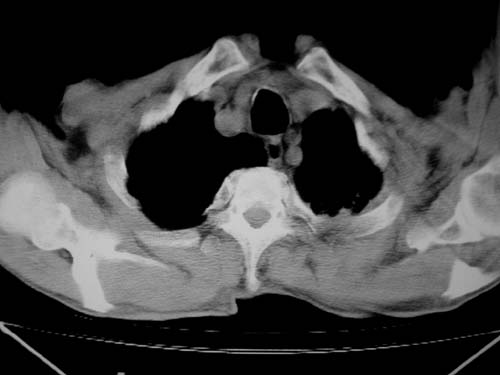
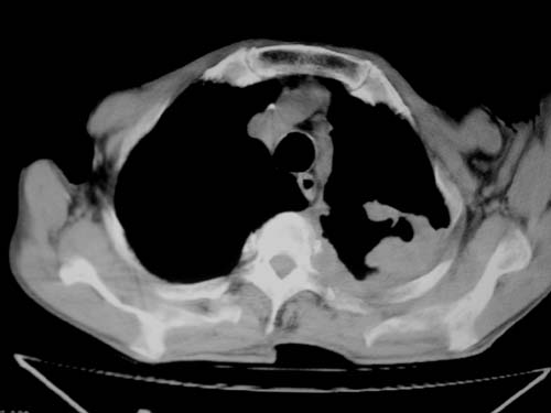
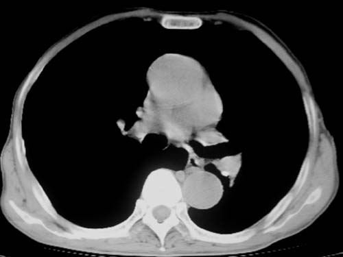
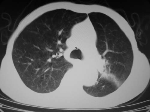
周围型肺癌?坏死性肉芽肿?
作者: zjzjr    时间: 2009-5-3 18:03
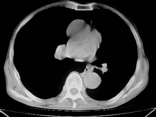
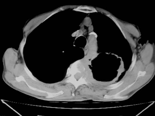
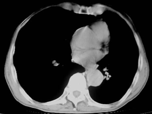
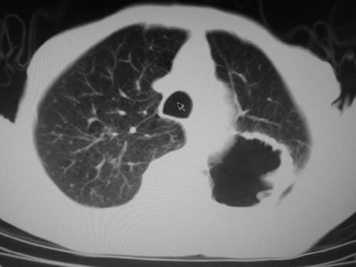
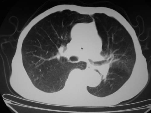
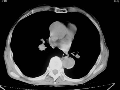
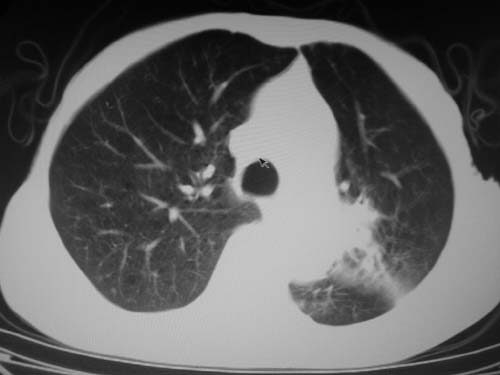
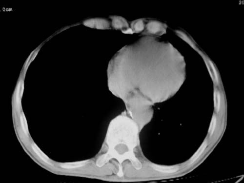
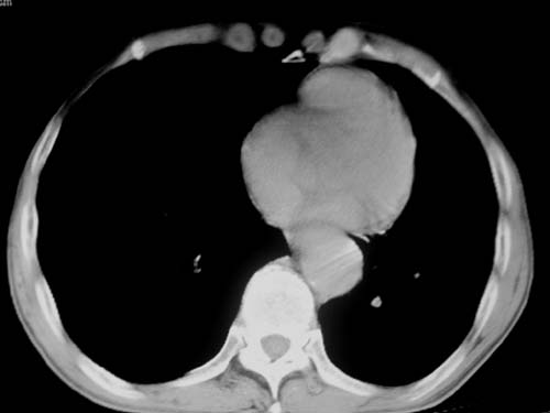
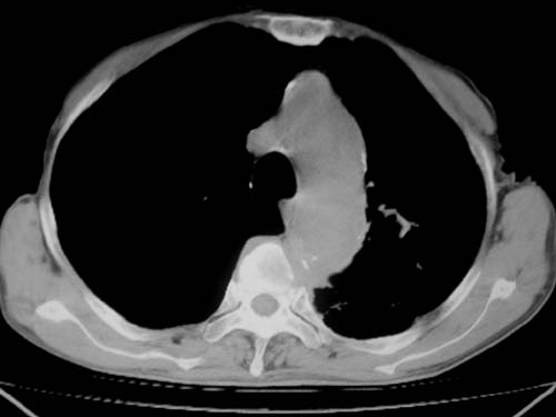
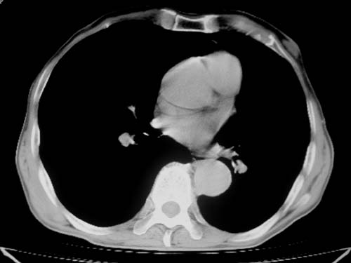
支持左上肺周围型肺癌性并空洞形成伴胸椎转移。
作者: 代课学生    时间: 2009-5-3 18:21
左上沟癌空洞形成并胸椎转移。
作者: 余辉    时间: 2009-5-3 18:32
标题: 回复:患者,男,76岁,咳嗽,胸痛
以下是引用zjzjr在2009-5-3 10:03:00的发言:[br]支持左上肺周围型肺癌性并空洞形成伴胸椎转移。

支持
作者: gjj6818    时间: 2009-5-3 19:43
支持左上肺周围型肺癌性并空洞形成伴胸椎转移。
作者: 随光逐影    时间: 2009-5-3 21:00
支持 左上肺周围型肺癌性并癌性空洞形成伴胸椎转移。
作者: 黑白光影    时间: 2009-5-3 21:28
左上肺周围型肺癌性并空洞形成伴胸椎转移。支持
作者: zbp537    时间: 2009-5-3 21:31
考虑癌性空洞并胸椎转移。
空洞内壁有多发结节,支持癌性空洞。
作者: jiangjing    时间: 2009-5-3 22:02
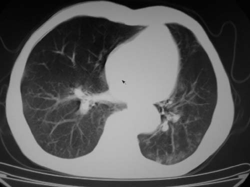
支持左上肺周围型肺癌并空洞形成伴胸椎转移。z左下肺炎
作者: LIAOQIANG    时间: 2009-5-3 23:41
左上肺癌性空洞伴胸椎转移。
作者: 杀毒软件    时间: 2009-5-4 01:12
标题: 回复:患者,男,76岁,咳嗽,胸痛
以下是引用zjzjr在2009-5-3 10:03:00的发言:[br]支持左上肺周围型肺癌性并空洞形成伴胸椎转移。

支持




欢迎光临 医影在线 (http://bbs.radida.com/bbs/) Powered by Discuz! X3.2