









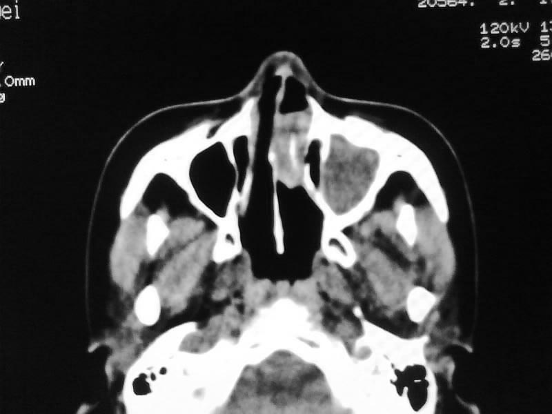
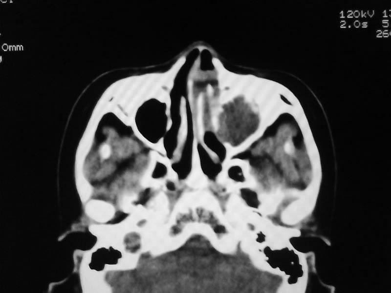
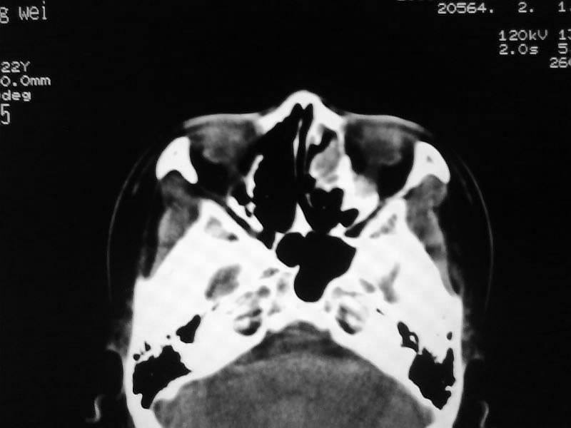
以下是引用zjzjr在2009-5-3 9:59:00的发言:[br]左侧鼻腔息肉、左侧筛窦、上颌窦炎症。双侧下鼻甲粘膜肥厚。
以下是引用随光逐影在2009-5-3 13:02:00的发言:[br]1)左侧鼻腔新生物(息肉可能)。2)左侧上颌窦及左侧筛窦炎症。3)双侧下鼻甲黏膜肥厚。
以下是引用zjzjr在2009-5-3 9:59:00的发言:[br]左侧鼻腔息肉、左侧筛窦、上颌窦炎症。双侧下鼻甲粘膜肥厚。
| 欢迎光临 医影在线 (http://bbs.radida.com/bbs/) | Powered by Discuz! X3.2 |