医影在线

标题: CT19740:女,12岁,鼻塞,流黄鼻涕。 [打印本页]

作者: zgjldq    时间: 2009-5-3 18:13
标题: CT19740:女,12岁,鼻塞,流黄鼻涕。








[本贴已被 jiajie 于 2009-5-3 20:39:25 修改过]

作者: zjzjr    时间: 2009-5-3 18:17
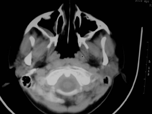
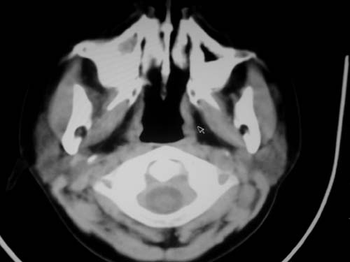
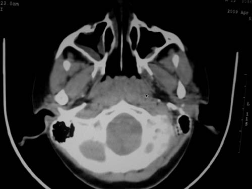
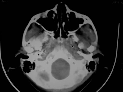
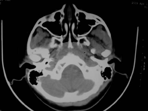
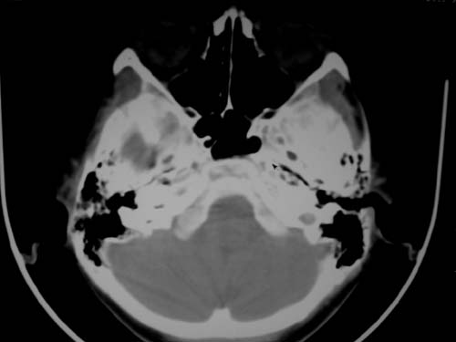
双侧上颌窦炎,增殖腺肥大。
作者: 余辉    时间: 2009-5-3 18:19
标题: 回复:患者,女,12岁,鼻塞,流黄鼻涕。
以下是引用zjzjr在2009-5-3 10:17:00的发言:[br]双侧上颌窦炎,增殖腺肥大。

作者: gjj6818    时间: 2009-5-3 19:41
标题: 回复:患者,女,12岁,鼻塞,流黄鼻涕。
以下是引用zjzjr在2009-5-3 10:17:00的发言:[br]双侧上颌窦炎,增殖腺肥大。

作者: bmw011    时间: 2009-5-3 20:09
双侧上颌窦炎,增殖腺肥大。
作者: 道哥    时间: 2009-5-3 20:11
支持楼上各位的观点。
作者: jiangjing    时间: 2009-5-3 20:19
双侧上颌窦炎,增殖腺肥大。
作者: zbp537    时间: 2009-5-3 20:28
考虑双侧上颌窦炎症,增殖腺肥大。
作者: 随光逐影    时间: 2009-5-3 21:09
1)双侧上颌窦炎。2)鼻咽腺样体肥大。
作者: 黑白光影    时间: 2009-5-3 21:31
1)双侧上颌窦炎。2)鼻咽腺样体肥大。
作者: zxl51642    时间: 2009-5-3 21:50
双侧上颌窦炎,腺样体肥大。
作者: shuhangyong    时间: 2009-5-3 22:21
侧上颌窦炎症,增殖腺肥大
作者: 影像孺子牛    时间: 2009-5-3 22:49
1)双侧上颌窦炎。2)鼻咽腺样体肥大
作者: LIAOQIANG    时间: 2009-5-3 23:32
1)双侧上颌窦炎。2)鼻咽腺样体肥大。
作者: hmyj9    时间: 2009-5-3 23:38
1双侧上颌窦炎。
2鼻咽腺样体肥大。
作者: 杀毒软件    时间: 2009-5-4 01:13
支持大家




欢迎光临 医影在线 (http://bbs.radida.com/bbs/) Powered by Discuz! X3.2