医影在线

标题: CT19743:男70岁,肺部疾病入院,B超发现肝右叶占位,CT [打印本页]

作者: cym1979    时间: 2009-5-3 18:45
标题: CT19743:男70岁,肺部疾病入院,B超发现肝右叶占位,CT






























[本贴已被 jiajie 于 2009-5-3 20:43:17 修改过]

作者: cym1979    时间: 2009-5-3 18:49
机器不好,而是用手推,不好意思,请各位老师原谅.
作者: 余辉    时间: 2009-5-3 18:51
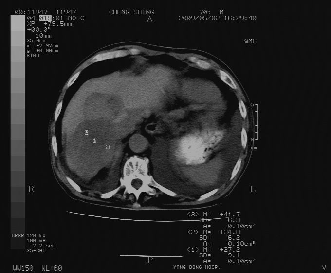
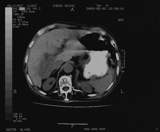
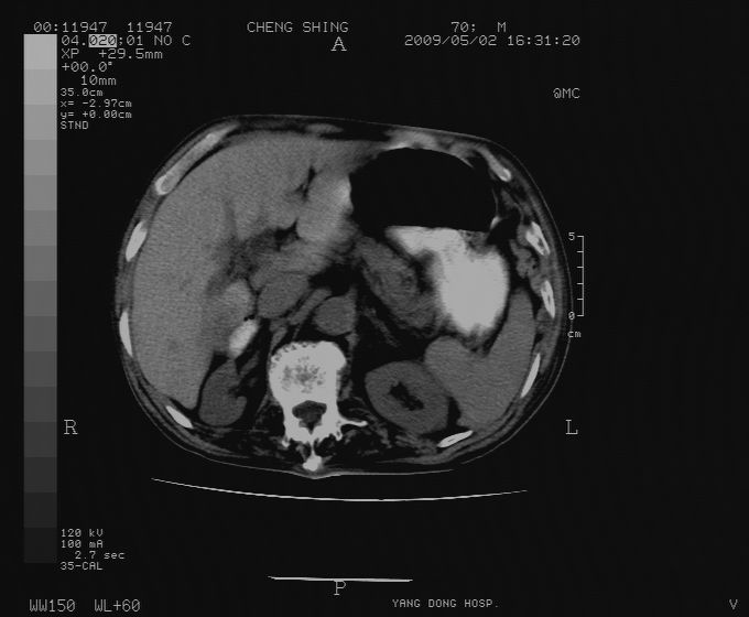
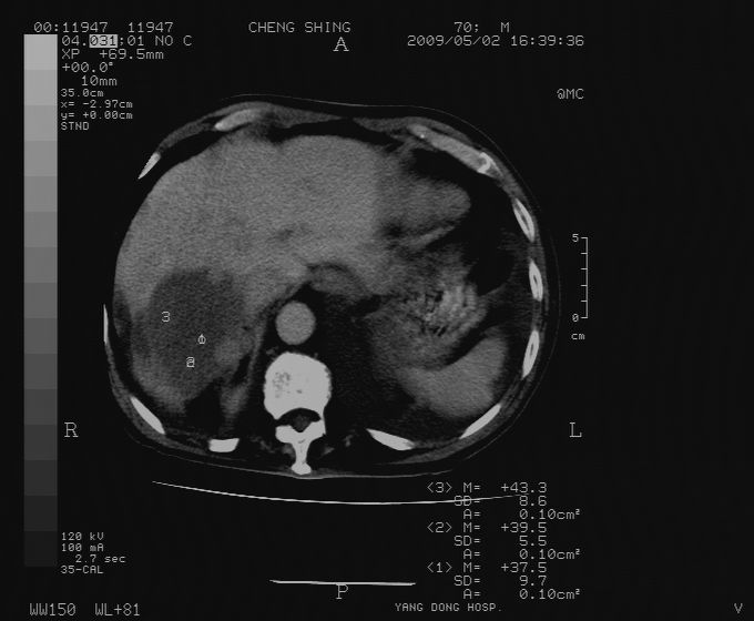
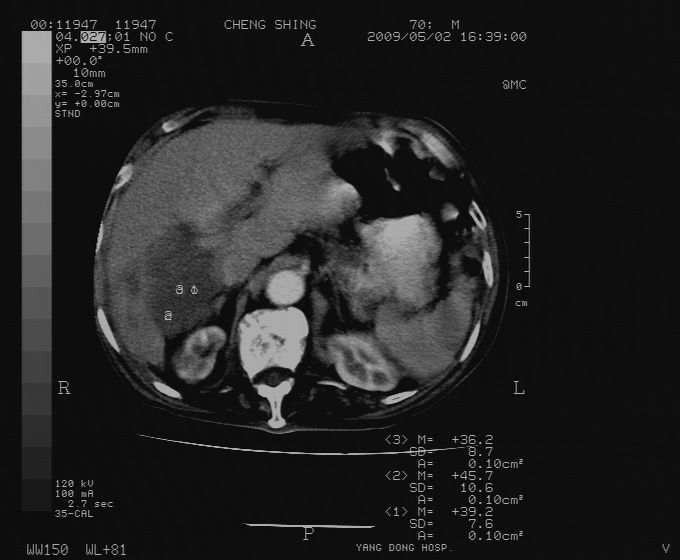
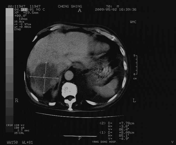
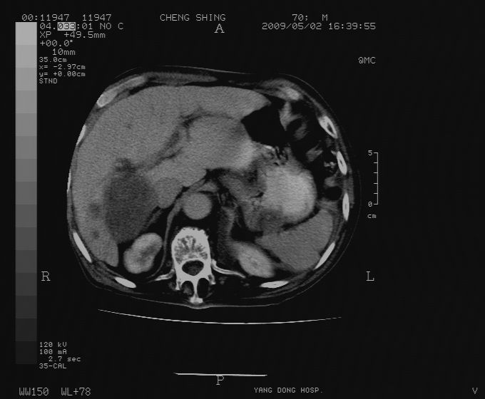
肝表面塌陷,病灶周围有子灶,前面较大子灶强化符合肝癌表现,考虑肝癌肝转移可能性大.
作者: gjj6818    时间: 2009-5-3 19:30
考虑肝癌
作者: bmw011    时间: 2009-5-3 20:04
考虑肝癌肝转移可能性大
作者: gule    时间: 2009-5-3 20:21
1.考虑肝癌肝转移
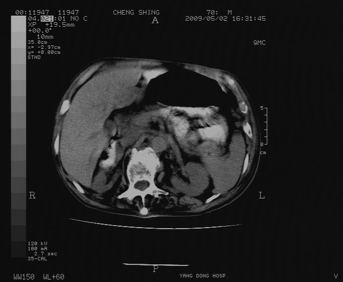
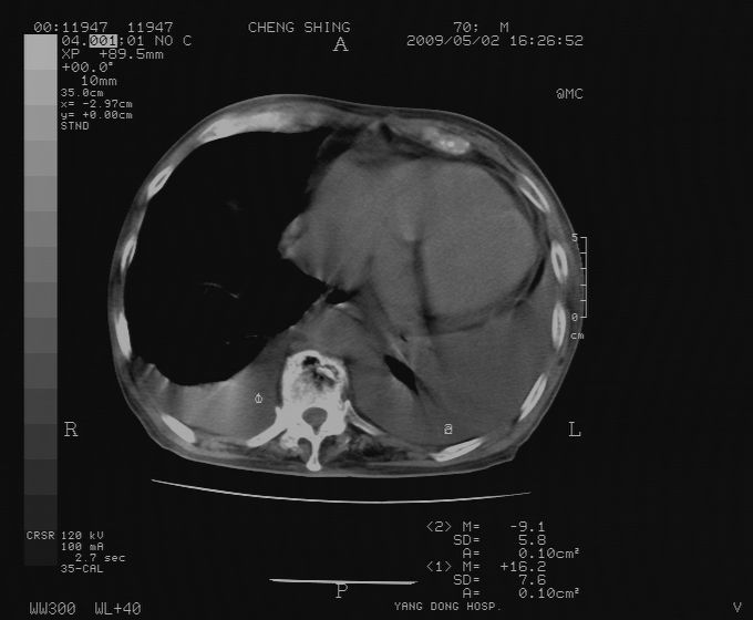
2.两侧胸水,左下肺不张!
作者: zjzjr    时间: 2009-5-3 20:33
1.考虑肝癌肝转移
2.两侧胸水,左下肺不张!
作者: zbp537    时间: 2009-5-3 20:37
增强做得不好,不太好分析。
作者: songyi    时间: 2009-5-3 20:46
1.考虑肝癌肝转移
2.两侧胸水,左下肺不张!
作者: 随光逐影    时间: 2009-5-3 21:17
1)考虑肝癌并肝内转移。2)少量腹水。3)双侧胸腔积液。
作者: shuhangyong    时间: 2009-5-3 21:24
支持肝癌
作者: 黑白光影    时间: 2009-5-3 21:36
1)考虑肝癌并肝内转移。2)少量腹水及双侧胸腔积液。3)椎体退变。
作者: jiangjing    时间: 2009-5-3 23:09
2.两侧胸水,左下肺不张!异位胆囊可能。前方病灶可疑肝癌
作者: 影像孺子牛    时间: 2009-5-3 23:21
1)考虑肝癌并肝内转移。2)少量腹水。3)双侧胸腔积液。
作者: 杀毒软件    时间: 2009-5-4 01:15
1)考虑肝癌并肝内转移。2)少量腹水。3)双侧胸腔积液




欢迎光临 医影在线 (http://bbs.radida.com/bbs/) Powered by Discuz! X3.2