医影在线

标题: CT19763:紧急求助,肾脏是什么病变? [打印本页]

作者: xcct    时间: 2009-5-4 19:56
标题: CT19763:紧急求助,肾脏是什么病变?
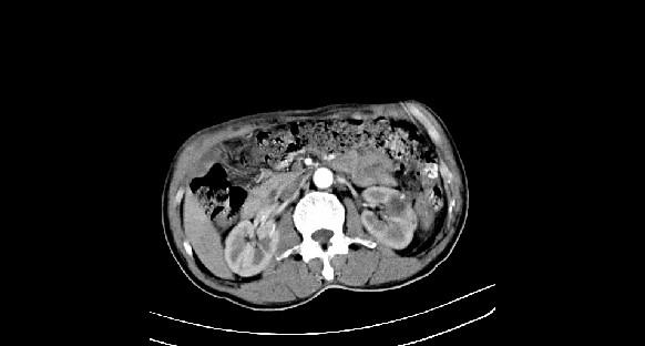
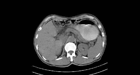
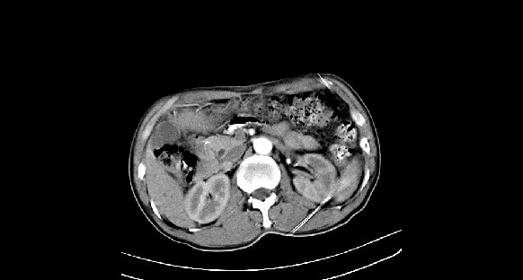
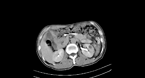
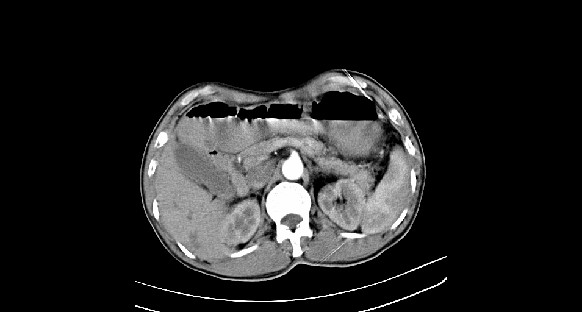
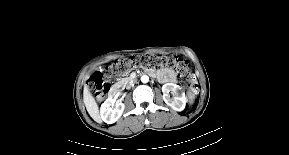
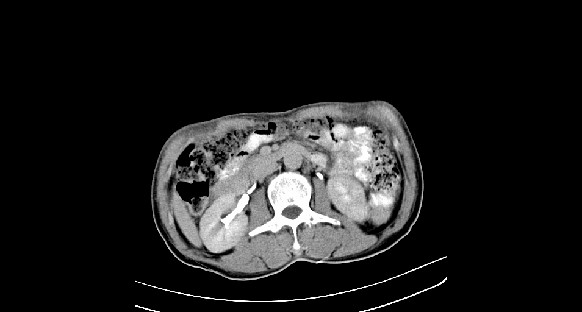
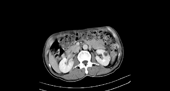
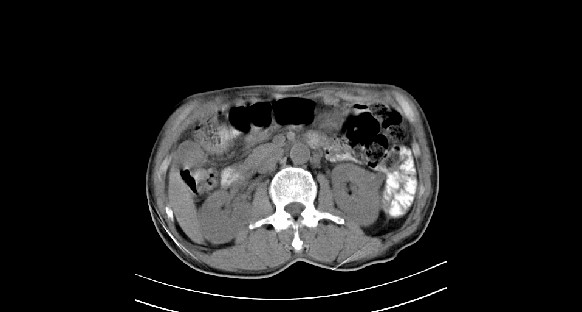
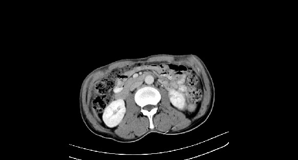
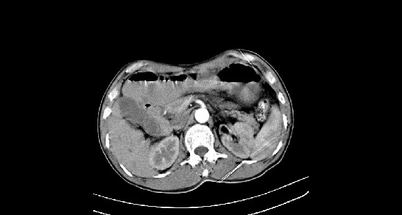
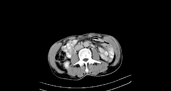
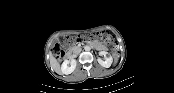
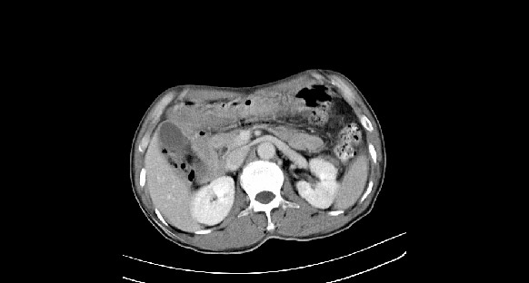
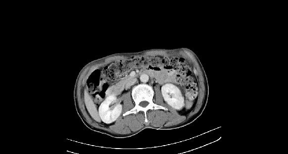
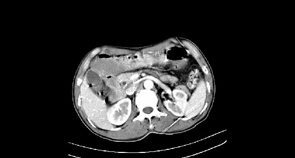
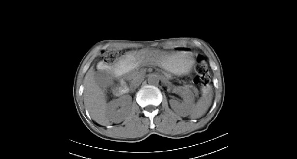
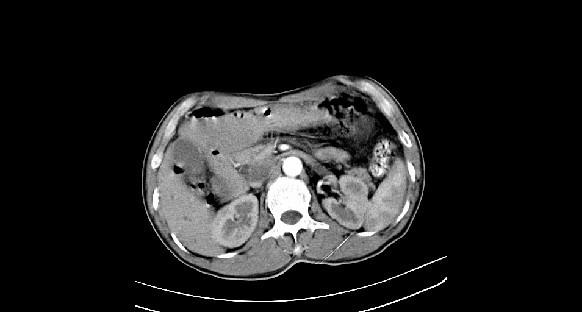
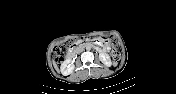
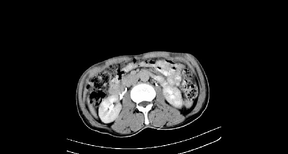
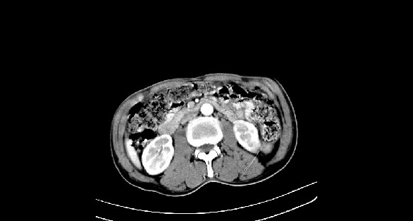
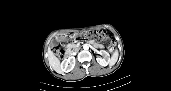
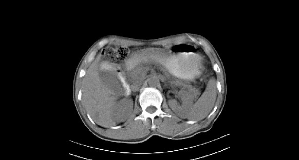
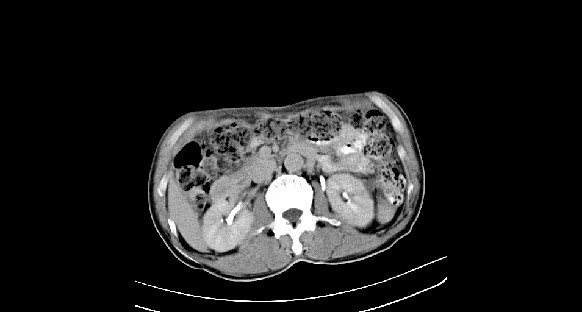
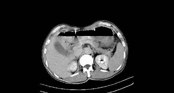
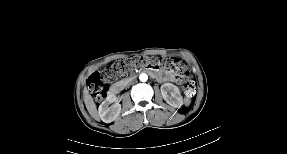
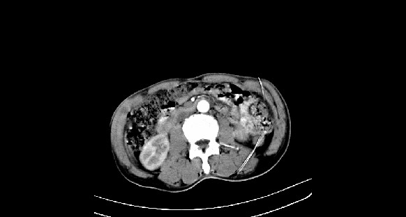
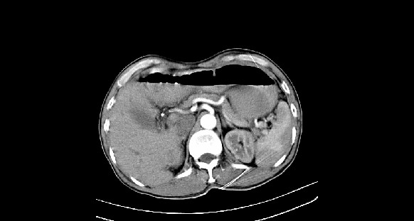
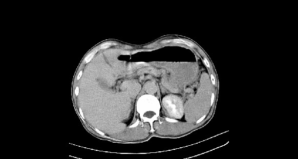
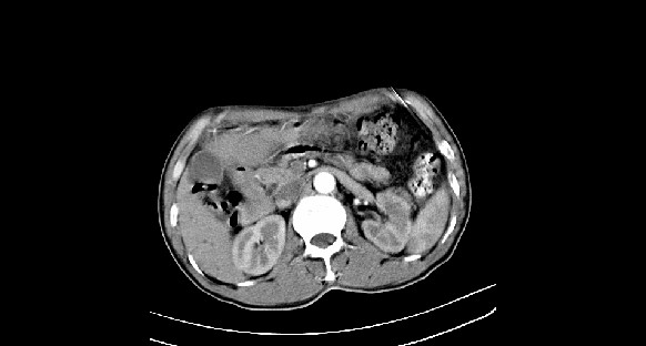
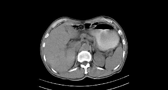
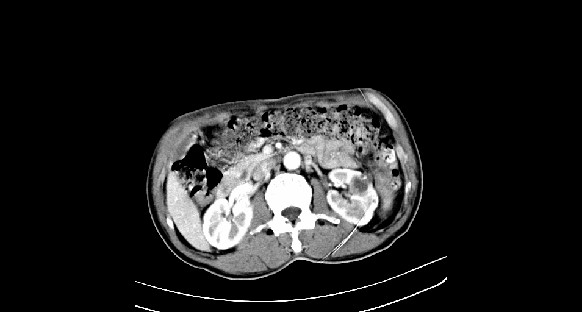
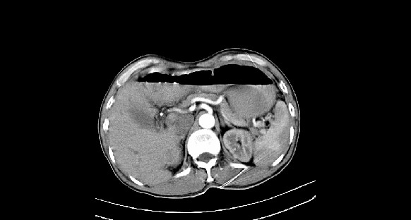
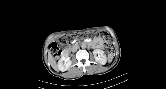
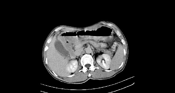
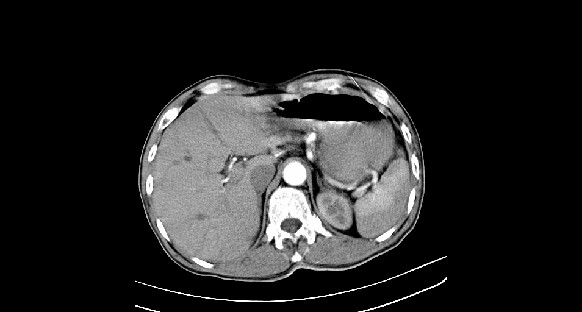
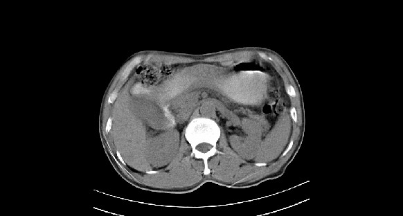
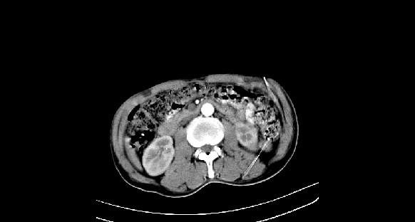
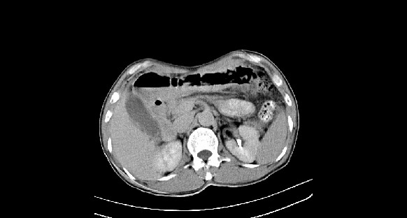
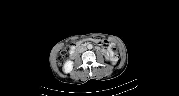
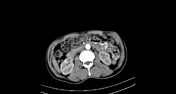
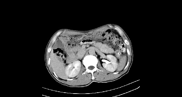
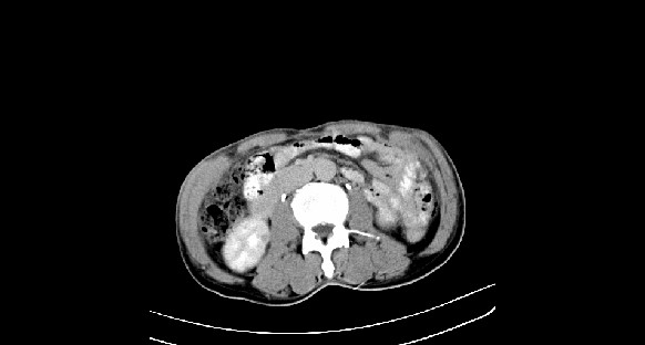
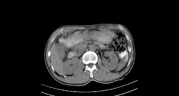
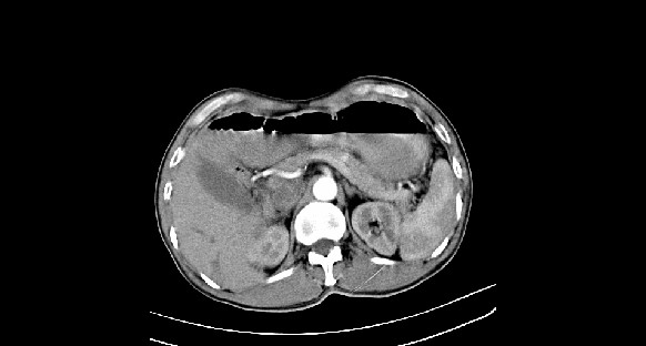
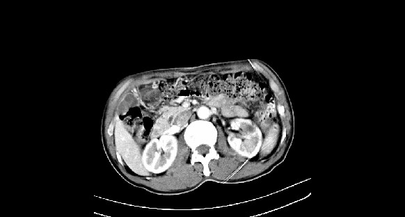
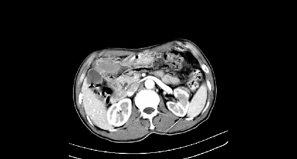
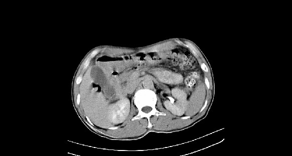
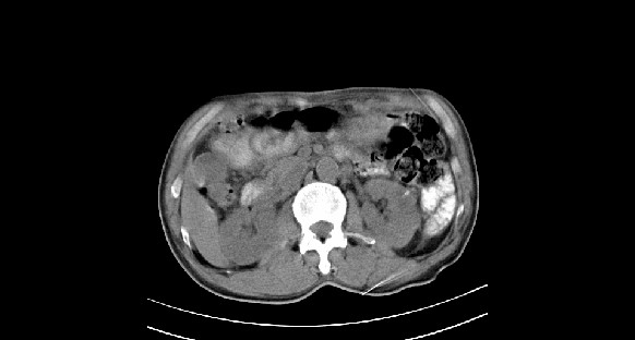
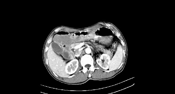
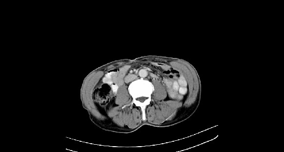
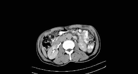
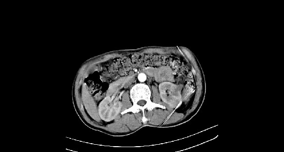
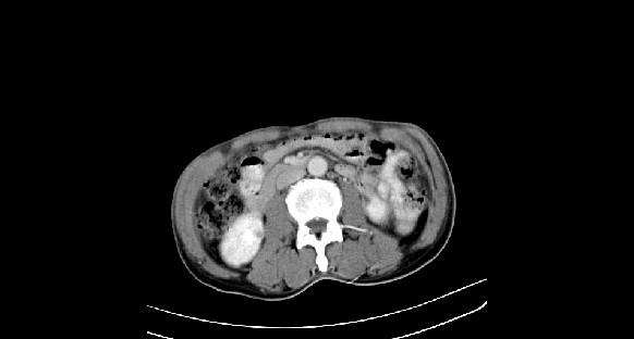
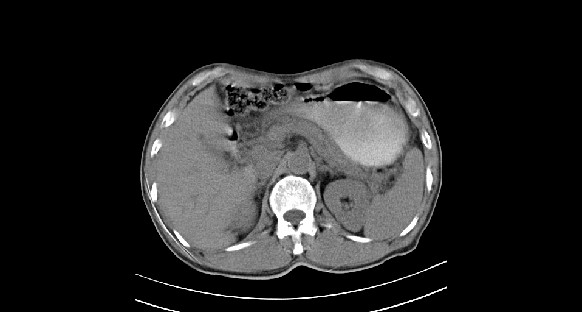
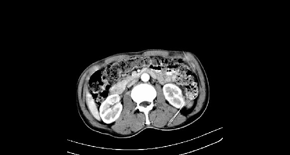
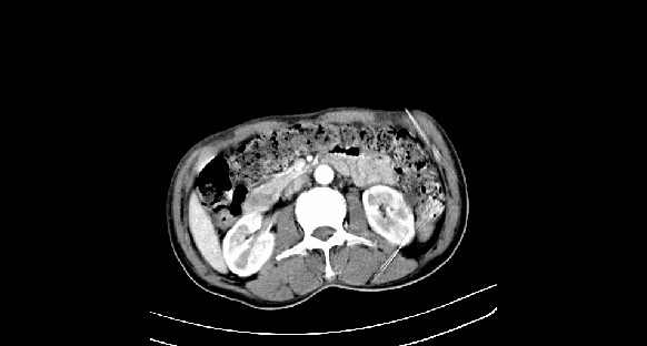
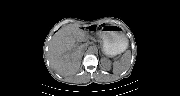
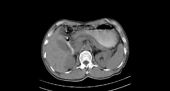
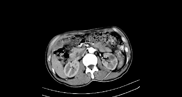
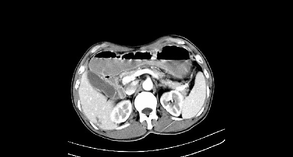
男性,70岁,体检b超发现左肾占位,请各位战友发表一下观点

































































[本贴已被 jiajie 于 2009-5-4 20:54:38 修改过]

作者: 深泽交通    时间: 2009-5-4 20:06
a期明显强化,右肾小癌肿可能
作者: gule    时间: 2009-5-4 20:15
右肾癌,建议病检!
作者: xcct    时间: 2009-5-4 20:19
左肾有两个病灶,且较大的病灶内可见点状钙化灶,增强扫描边缘也是呈渐进性强化,中央部分未见明显强化
作者: bmw011    时间: 2009-5-4 21:02
左肾腺瘤。
作者: ct诊断高手    时间: 2009-5-4 21:46
支持肾癌
作者: wangcxyisheng    时间: 2009-5-4 22:07
支持肾癌
作者: heidaoren    时间: 2009-5-4 22:30
小肾癌!
作者: 余辉    时间: 2009-5-4 23:03
有点想考虑血管瘤,肾癌不排除
作者: LIAOQIANG    时间: 2009-5-5 00:01
考虑左肾脏错构瘤可能,不除外肾癌。
作者: lhf20081010    时间: 2009-5-5 00:23
左肾血管瘤?左肾癌不能排除
作者: 影象小泰斗    时间: 2009-5-5 00:55
考虑左肾脏错构瘤可能,不除外肾癌。
作者: qiuleiyu    时间: 2009-5-5 00:55
肾癌较肾aml可能大,建议mri,若t2明显高信号者则肾癌基本诊断明确。
作者: yuhongjun    时间: 2009-5-5 01:28
支持楼上。
作者: 杀毒软件    时间: 2009-5-5 02:28
肾癌可能
作者: 随光逐影    时间: 2009-5-5 03:02
不排除左肾小肾癌可能。
作者: chinanyd    时间: 2009-5-5 03:26
左肾癌症?
作者: gule    时间: 2009-5-5 04:14
左肾小肾癌可能。
作者: 黑白光影    时间: 2009-5-5 06:33
标题: 回复:ct19763:紧急求助,肾脏是什么病变?
以下是引用深泽交通医院在2009-5-4 12:06:00的发言:[br]a期明显强化,右肾小癌肿可能





欢迎光临 医影在线 (http://bbs.radida.com/bbs/) Powered by Discuz! X3.2