医影在线

标题: CT19767:男,20岁,右侧气胸行闭式引流术后五天CT检查。 [打印本页]

作者: wpf    时间: 2009-5-4 22:43
标题: CT19767:男,20岁,右侧气胸行闭式引流术后五天CT检查。
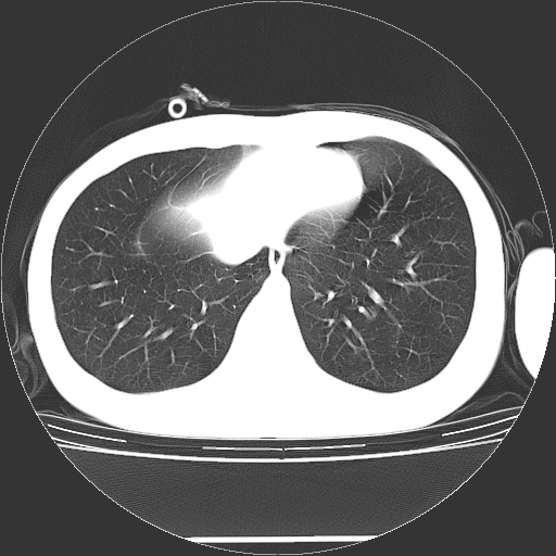
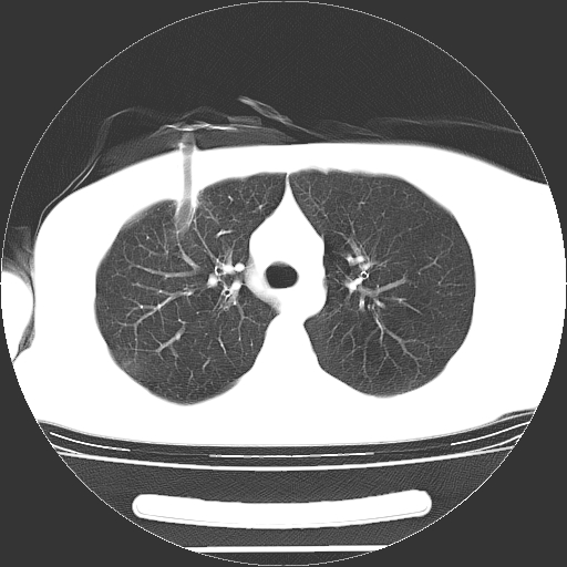
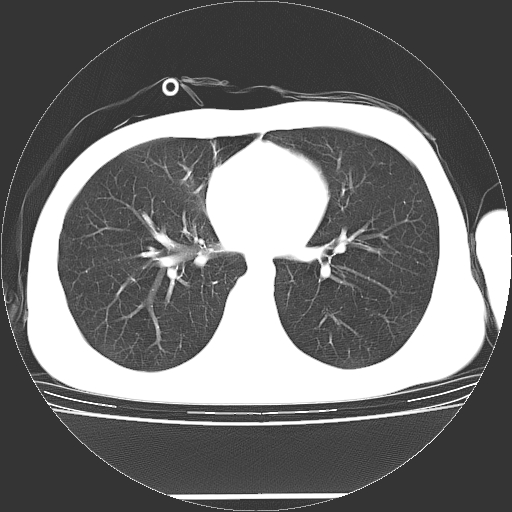
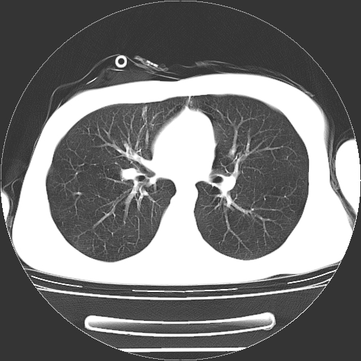
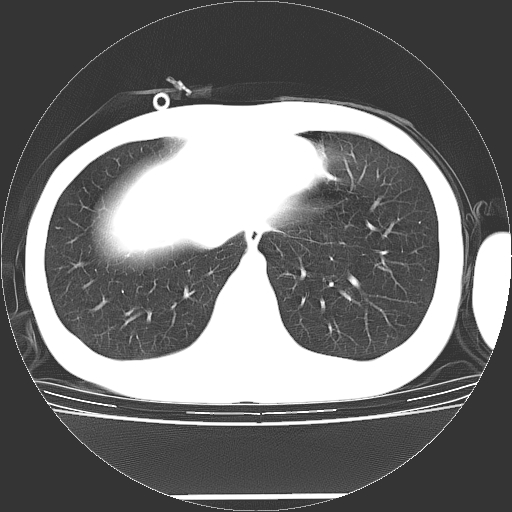
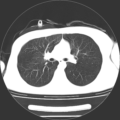
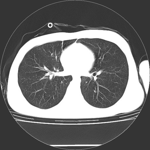
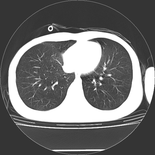
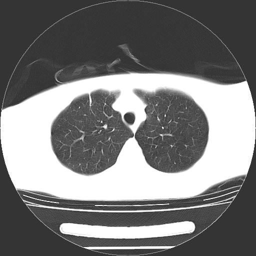
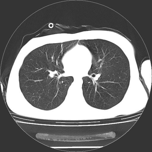
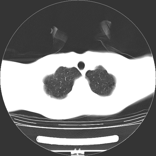
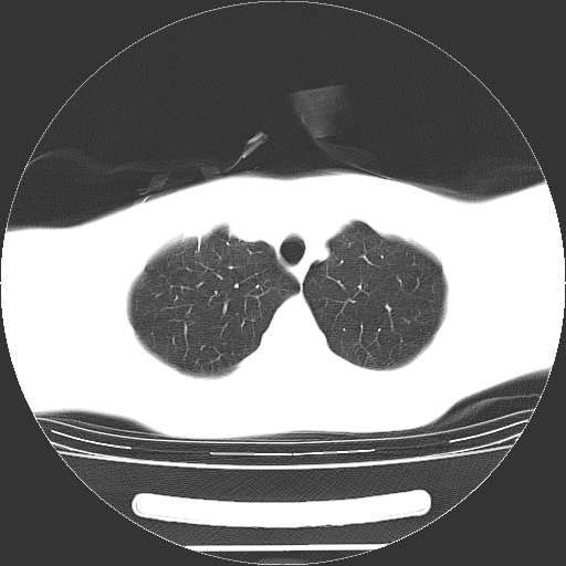
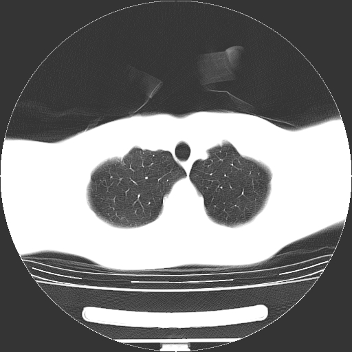
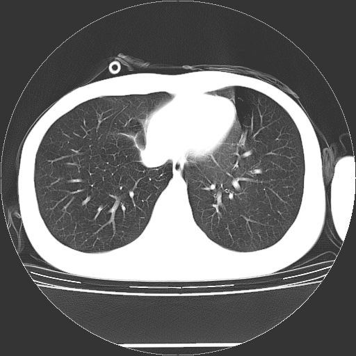
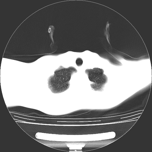
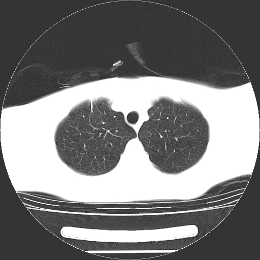
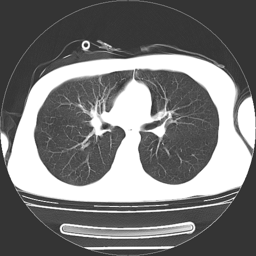
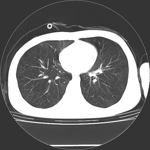
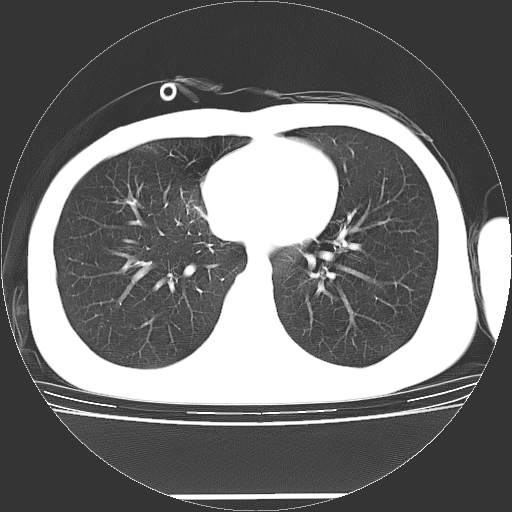
男,20岁,右侧气胸行闭式引流术后五天ct检查看肺内是否有肺大泡,纵隔窗未见异常,未上传。


























[本贴已被 jiajie 于 2009-5-4 20:56:51 修改过]

作者: 余辉    时间: 2009-5-4 22:53
未见肺大泡影
作者: LIAOQIANG    时间: 2009-5-4 23:48
右肺未见确切肺大泡。
作者: 深泽交通    时间: 2009-5-5 00:57
标题: 回复:男,20岁,右侧气胸行闭式引流术后五天ct检查。
以下是引用余辉在2009-5-4 14:53:00的发言:[br]未见肺大泡影

作者: yuhongjun    时间: 2009-5-5 01:26
右肺未见确切肺大泡。
作者: 同    时间: 2009-5-5 02:04
右肺未见肺大泡。
作者: 杀毒软件    时间: 2009-5-5 02:17
未见肺大泡
作者: 随光逐影    时间: 2009-5-5 03:10
1)右侧胸腔闭式引流术后导管留置。2)右肺未见肺大泡。
作者: bmw011    时间: 2009-5-5 03:20
未见肺大泡,还有微量气体。
作者: chinanyd    时间: 2009-5-5 03:46
未见
作者: gule    时间: 2009-5-5 04:16
右肺未见确切肺大泡!
作者: 黑白光影    时间: 2009-5-5 16:23
右肺未见确切肺大泡




欢迎光临 医影在线 (http://bbs.radida.com/bbs/) Powered by Discuz! X3.2