医影在线

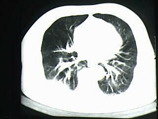
标题: CT19768:男 61岁 胸痛 咯血 一周。无发烧、无结核病史。 [打印本页]

作者: 007vip    时间: 2009-5-4 23:40
标题: CT19768:男 61岁 胸痛 咯血 一周。无发烧、无结核病史。



























[本贴已被 jiajie 于 2009-5-4 20:57:11 修改过]

作者: 深泽交通    时间: 2009-5-5 00:59
右下肺中心型肺癌
作者: yuhongjun    时间: 2009-5-5 01:16
右下肺支气管扩张
作者: 杀毒软件    时间: 2009-5-5 02:04
纵隔窗图像不佳,怀疑右下叶支气管有狭窄,来几张清楚的,暂考虑----感染性病变----抗炎后复查
作者: 同    时间: 2009-5-5 02:07
考虑 右下肺感染性病变,建议抗炎后复查。
作者: 水蓝色的    时间: 2009-5-5 02:27
支持4楼。
作者: 随光逐影    时间: 2009-5-5 03:11
考虑右肺下叶感染性病变;建议抗炎治疗后复查。
作者: chinanyd    时间: 2009-5-5 03:34
支持四楼的意见
作者: 黄毛小子    时间: 2009-5-5 04:24
支持以上
作者: pujunzhi    时间: 2009-5-5 04:41
标题: 回复:患者 男 61岁 胸痛 咯血 一周。无发烧、无结核病史
以下是引用随光逐影在2009-5-4 19:11:00的发言:[br]考虑右肺下叶感染性病变;建议抗炎治疗后复查。

作者: gule    时间: 2009-5-5 04:54
考虑右肺下叶感染性病变,建议抗炎治疗后复查。
作者: 黑白光影    时间: 2009-5-5 16:27
右下肺感染性病变,建议抗炎后复查。支持




欢迎光临 医影在线 (http://bbs.radida.com/bbs/) Powered by Discuz! X3.2