







































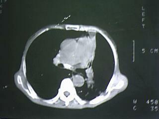
以下是引用xiaomeng在2009-5-4 16:46:00的发言:[br]肺癌
以下是引用杀毒软件在2009-5-4 17:57:00的发言:[br]块影+不张=肺癌
以下是引用杀毒软件在2009-5-4 17:57:00的发言:[br]块影+不张=肺癌
以下是引用随光逐影在2009-5-4 19:15:00的发言:[br]1)考虑左肺周围型肺癌。2)左肺感染性病变并节段性肺不张。
| 欢迎光临 医影在线 (http://bbs.radida.com/bbs/) | Powered by Discuz! X3.2 |