医影在线

标题: CT19774:上腹部CT平扫 [打印本页]

作者: 同    时间: 2009-5-5 02:02
标题: CT19774:上腹部CT平扫
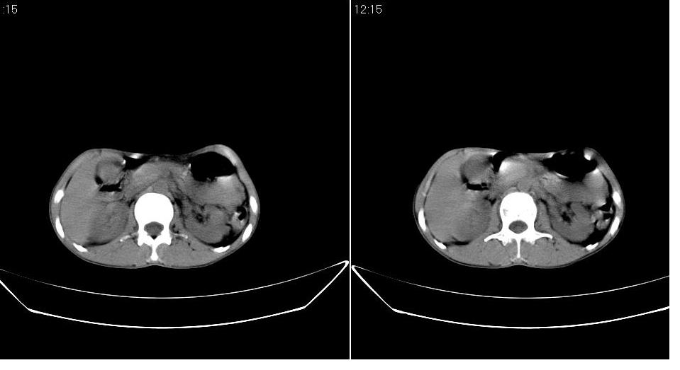
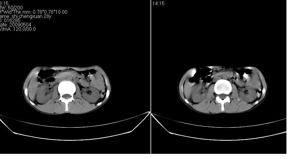
女 28岁,急诊,腹疼一天。










[本贴已被 jiajie 于 2009-5-4 21:01:21 修改过]

作者: 余辉    时间: 2009-5-5 02:47
胰体尾部较胖,是不是有胰腺炎?
作者: bmw011    时间: 2009-5-5 03:04
胆囊底部囊壁增厚,考虑胆囊炎。胰腺改变考虑为部分容积效应。
作者: 随光逐影    时间: 2009-5-5 03:22
不排除胰腺炎可能;建议查血尿淀粉酶。
作者: chinanyd    时间: 2009-5-5 03:48
图像不是很清楚,胰腺炎?
作者: 黄毛小子    时间: 2009-5-5 04:12
不除外胰腺炎
作者: zjb    时间: 2009-5-5 05:24
不排除胰腺炎可能;建议查血尿淀粉酶
作者: 晓杰    时间: 2009-5-5 05:32
不排除胰腺炎可能;建议查血尿淀粉酶
作者: huangxun4321    时间: 2009-5-5 05:36
不排除胰腺炎可能;建议查血尿淀粉酶。
作者: 影像孺子牛    时间: 2009-5-5 06:19
不排除胰腺炎可能;建议查血尿淀粉酶。
作者: kh    时间: 2009-5-5 07:08
支持
作者: 吴承学    时间: 2009-5-5 14:09
标题: 回复:ct19774:上腹部ct平扫
以下是引用huangxun4321在2009-5-4 21:36:00的发言:[br]不排除胰腺炎可能;建议查血尿淀粉酶。

作者: 黑白光影    时间: 2009-5-5 16:29
不除外胰腺炎




欢迎光临 医影在线 (http://bbs.radida.com/bbs/) Powered by Discuz! X3.2