医影在线

标题: PED1869:能否定腔血 [打印本页]

作者: zwjyr    时间: 2009-5-5 03:40
标题: PED1869:能否定腔血
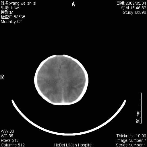
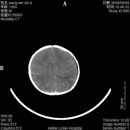
患者,男,1天,上肢抽动数次伴气促.有急产史.可以诊断珠网膜下腔出血吗?







局部5毫米薄层扫描





[本贴已被 jiajie 于 2009-5-5 20:15:06 修改过]

作者: bmw011    时间: 2009-5-5 03:47
缺血缺氧性脑病,蛛网膜下腔出血。
作者: chinanyd    时间: 2009-5-5 03:50

作者: 黄毛小子    时间: 2009-5-5 04:10

作者: 奥特之父    时间: 2009-5-5 04:18
此例符合缺血缺氧性脑病并蛛网膜下腔出血.
作者: pujunzhi    时间: 2009-5-5 04:39
支持缺血缺氧性脑病并蛛网膜下腔出血.
作者: 同    时间: 2009-5-5 04:39
考虑 缺氧缺血性脑病伴蛛网膜下腔出血。
作者: dyqct    时间: 2009-5-5 15:55
标题: 回复:ct19775:能否定腔血
以下是引用bmw011在2009-5-4 19:47:00的发言:[br]缺血缺氧性脑病,蛛网膜下腔出血。

支持!
作者: shuhangyong    时间: 2009-5-5 18:44
支持
作者: jiangjing    时间: 2009-5-5 22:17
考虑 缺氧缺血性脑病伴蛛网膜下腔出血,可疑左侧硬膜下积液
作者: 黑白光影    时间: 2009-5-6 00:04
支持考虑缺氧缺血性脑病伴蛛网膜下腔出血。
作者: 杀毒软件    时间: 2009-5-6 02:54
支持
作者: 余辉    时间: 2009-5-6 03:40
支持,至少双侧外侧裂比较像,缺血缺性脑病有待进一步考证,建议治疗后1到2周复查
作者: sunbin    时间: 2009-5-6 04:19
考虑脑缺氧缺血性改变,蛛网膜下腔出血。
作者: 随光逐影    时间: 2009-5-6 04:50
1)hie。2)sah。
作者: 拾荒者    时间: 2009-5-6 06:54
支持蛛网膜下腔岀血诊断,这与有否hie应结合临床及患儿脑部ct值综合考虑。
作者: 吴承学    时间: 2009-5-6 14:56
标题: 回复:ped1869:能否定腔血
以下是引用jiangjing在2009-5-5 14:17:00的发言:[br]考虑 缺氧缺血性脑病伴蛛网膜下腔出血,可疑左侧硬膜下积液

作者: 影像之路    时间: 2009-5-6 18:54
缺血缺氧性脑病,蛛网膜下腔出血
作者: hguox    时间: 2009-5-7 00:12
蛛网膜下腔出血。
作者: qingshan100    时间: 2009-5-7 01:05
支持蛛网膜下腔岀血诊断
作者: LIAOQIANG    时间: 2009-5-8 00:09
缺血缺氧性脑病伴蛛网膜下腔出血。
作者: panyishengct    时间: 2009-5-8 02:56
以下是引用bmw011在2009-5-4 19:47:00的发言:
缺血缺氧性脑病,蛛网膜下腔出血。




欢迎光临 医影在线 (http://bbs.radida.com/bbs/) Powered by Discuz! X3.2