医影在线

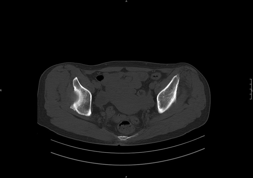
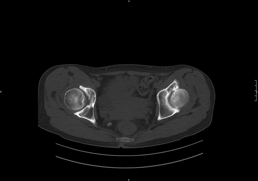
标题: CT19780左髋关节疼痛伴跛行1年,加重1个月。无菌性坏死? [打印本页]

作者: DEQINGCHLF    时间: 2009-5-5 05:48
标题: CT19780左髋关节疼痛伴跛行1年,加重1个月。无菌性坏死?















作者: syfszcw    时间: 2009-5-5 05:54
陈旧性骨折啊!
作者: 子期    时间: 2009-5-5 05:54
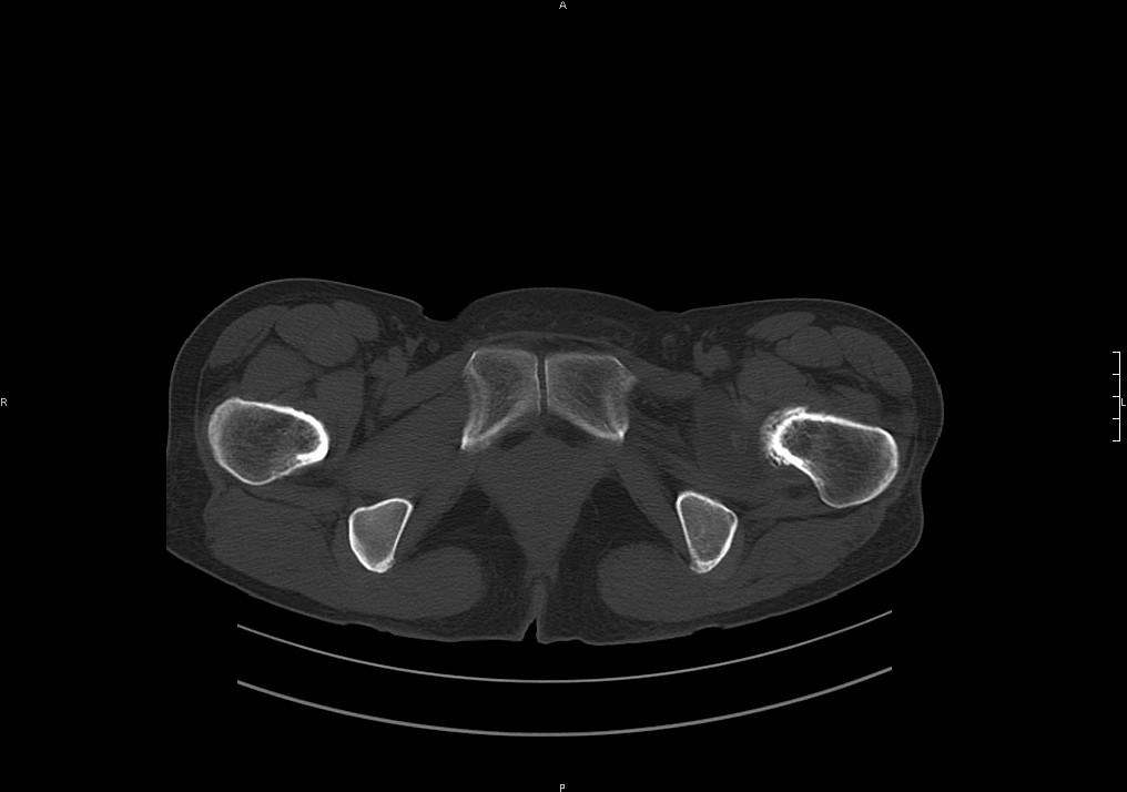
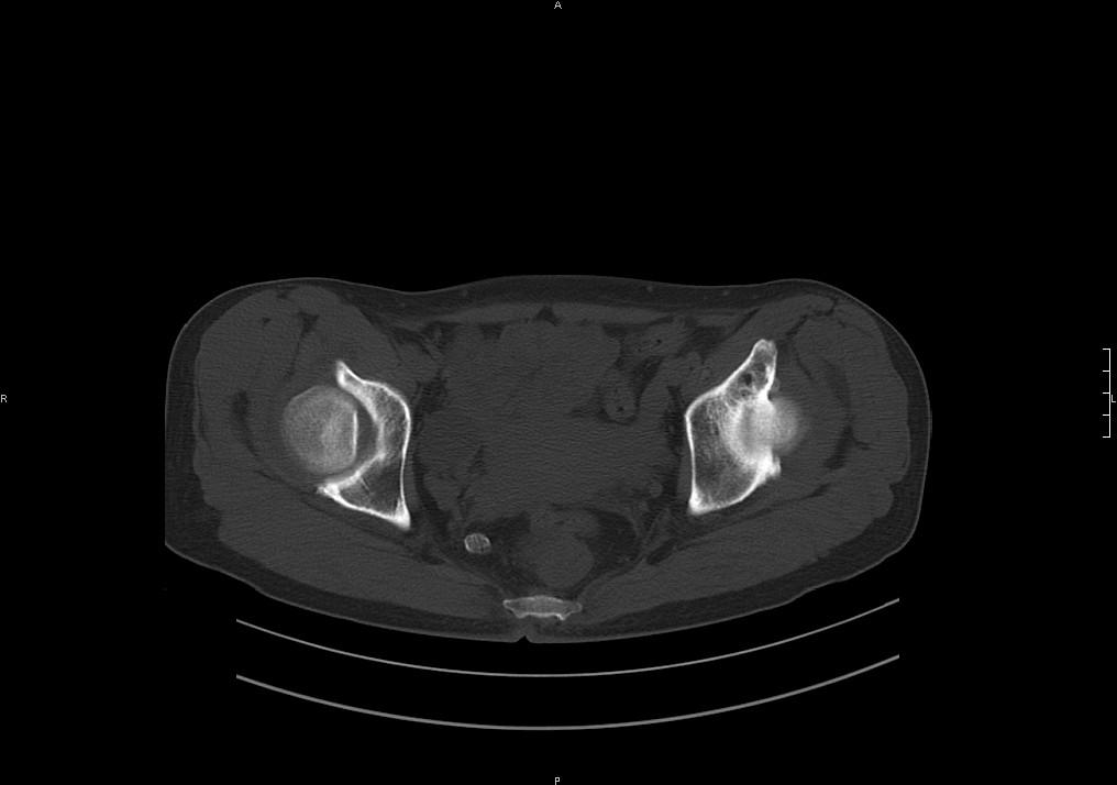
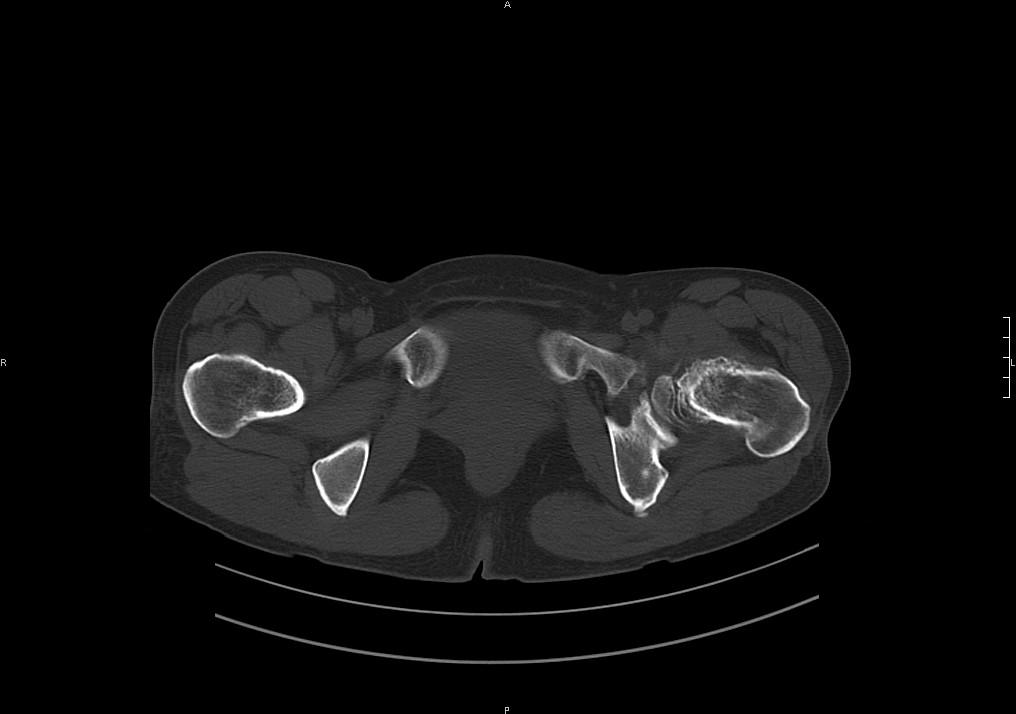
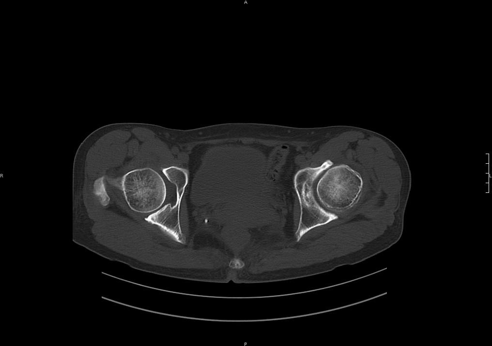
没报年龄,但髋臼有骨质增生, 考虑退行性变,坏死不明显。
作者: 破釜沉舟    时间: 2009-5-5 07:13
来张平片参考一下。
作者: bmw011    时间: 2009-5-5 07:18
支持陈旧性骨折,结合病史加重一个月,考虑缺血性坏死初期。
作者: 影像孺子牛    时间: 2009-5-5 07:20
退行性骨关节病可能性大。
作者: yuhongjun    时间: 2009-5-5 14:24
支持陈旧性骨折,结合病史加重一个月,考虑缺血性坏死初期。
作者: SOS.LA    时间: 2009-5-5 14:45
左髋关节内内可见关节鼠及滑囊积液.
考虑为滑膜骨软骨瘤病.
作者: 深泽交通    时间: 2009-5-5 17:26
标题: 回复:ct19780左髋关节疼痛伴跛行1年,加重1个月。无菌性坏
以下是引用影像孺子牛在2009-5-4 23:20:00的发言:[br]退行性骨关节病可能性大。

作者: laogao123    时间: 2009-5-5 18:17
滑膜增厚钙化,关节鼠及滑囊积液,髋臼增生。考虑骨性关节病
作者: 余辉    时间: 2009-5-5 18:25
髋臼平浅,股骨头覆盖率减小,考虑双侧髋关节发育不良伴退行性变。
发个平片或冠状位看看
作者: 边生丽    时间: 2009-5-5 18:33
支持陈旧性骨折,结合病史加重一个月,考虑缺血性坏死初期。
作者: 随光逐影    时间: 2009-5-5 19:41
考虑左髋关节退行性骨关节病;建议必要时行mri检查排除左侧股骨头缺血性坏死。
作者: 51736011    时间: 2009-5-5 22:06
退行性骨关节病
作者: 黑白光影    时间: 2009-5-5 23:27
考虑左髋关节退行性骨关节病
作者: 张辉9999    时间: 2009-5-6 21:14
滑膜增厚钙化,关节鼠及滑囊积液,髋臼增生。考虑骨性关节病
作者: 杀毒软件    时间: 2009-5-7 01:45
考虑左髋关节退行性骨关节病
作者: ct诊断高手    时间: 2009-5-7 02:18
考虑左髋关节退行性骨关节病
作者: panyishengct    时间: 2009-5-8 06:08
退行性骨关节病可能性大。
作者: 987654zwf    时间: 2009-5-8 14:37
股骨颈陈旧性骨折
髋关节退行性骨关节病
作者: chinanyd    时间: 2009-5-8 18:41
陈旧性骨折
作者: 张辉9999    时间: 2009-5-8 20:50
退行性骨关节病可能性大
作者: 杀毒软件    时间: 2009-5-10 02:17
退行性骨关节病可能性大
作者: 513ytb    时间: 2009-6-29 01:28
滑膜增厚钙化,关节鼠及滑囊积液,髋臼增生。考虑骨性关节病。




欢迎光临 医影在线 (http://bbs.radida.com/bbs/) Powered by Discuz! X3.2