医影在线
标题: CT19729B:男,74岁,因腿疼就诊,查体触腹部肿物, [打印本页]
作者: 还珠格格 时间: 2009-5-6 02:55
标题: CT19729B:男,74岁,因腿疼就诊,查体触腹部肿物,
(结果公布:http://www.radida.com/bbs/forum.php?mod=viewthread&tid=53373)
续ct19729病人 http://www.radida.com/bbs/forum.php?mod=viewthread&tid=52765
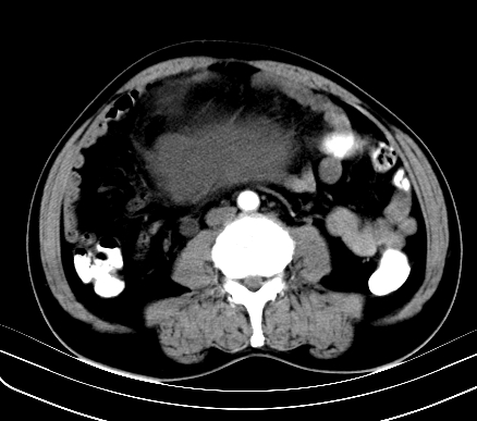
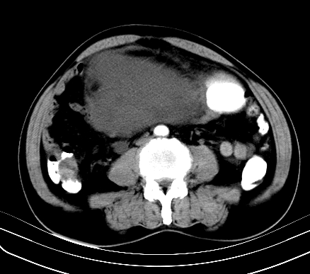
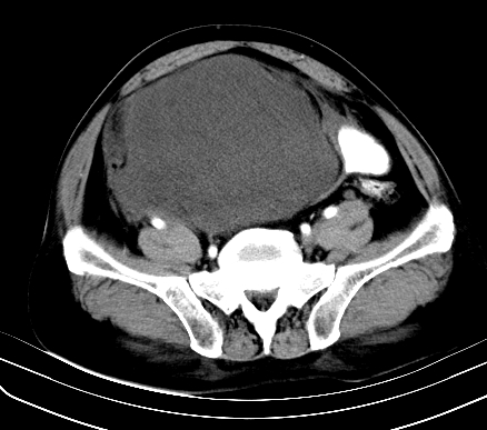
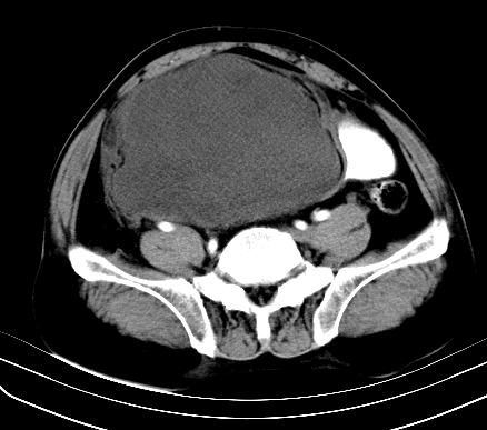
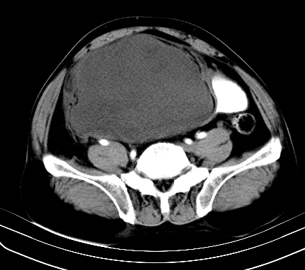
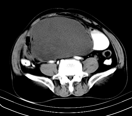
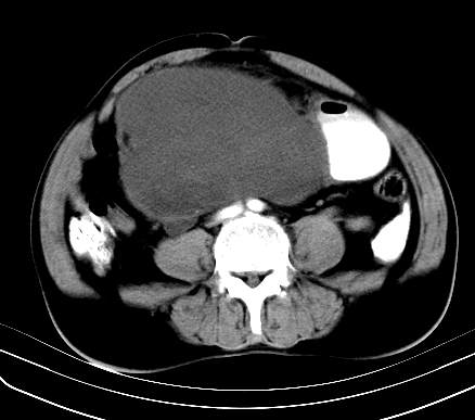
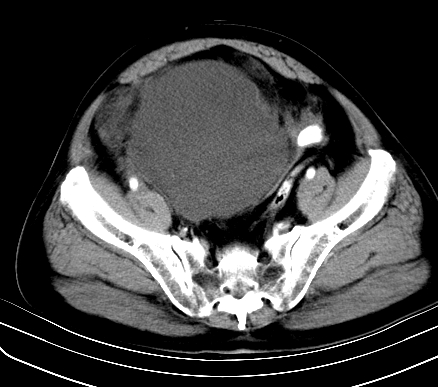
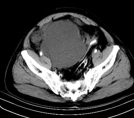
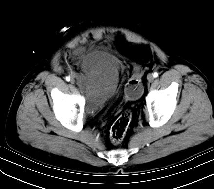
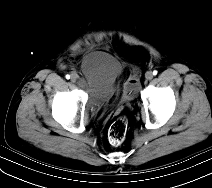
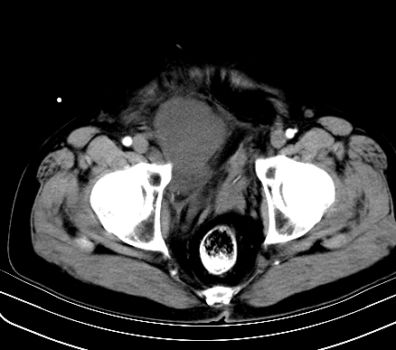
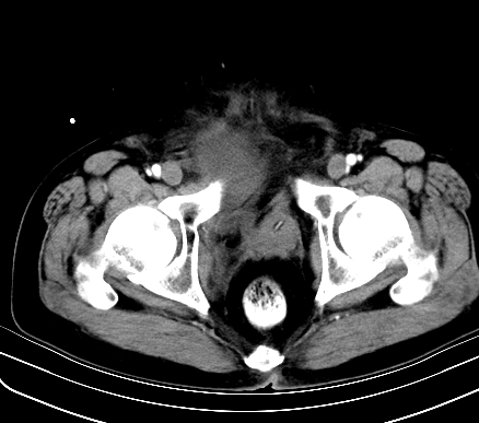
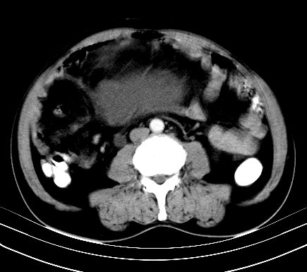
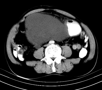
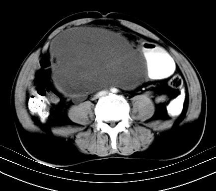
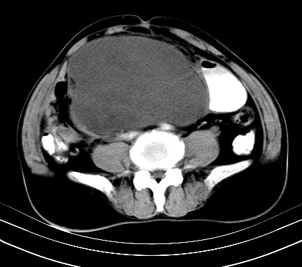
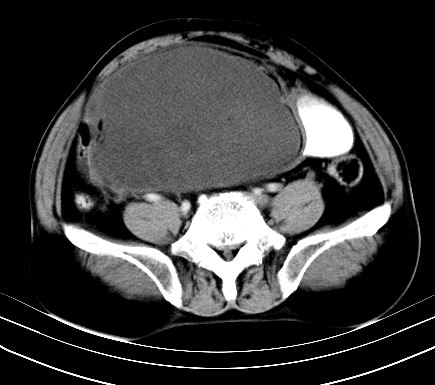
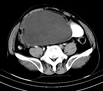
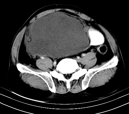
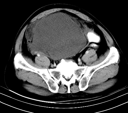
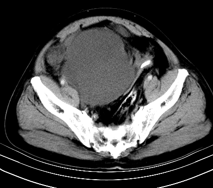
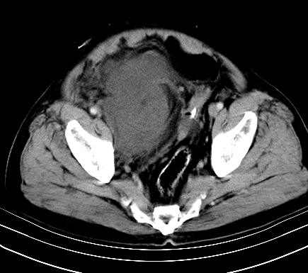
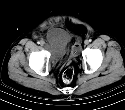
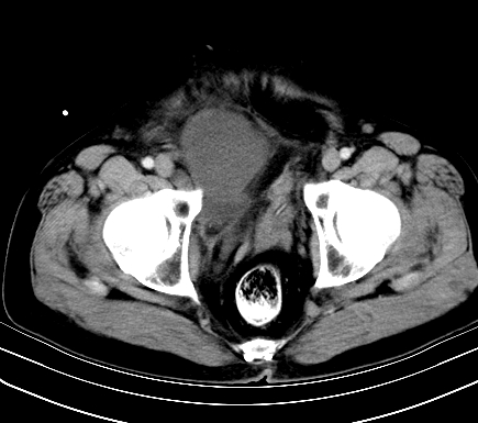
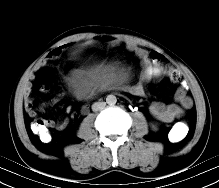
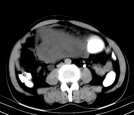
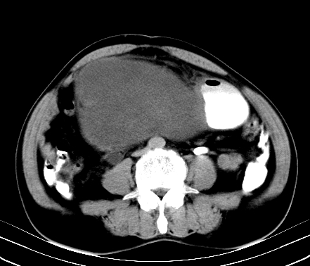
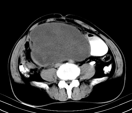
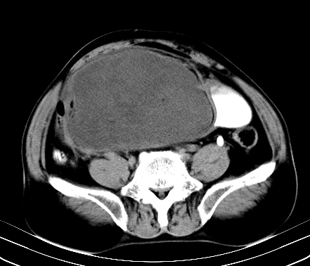
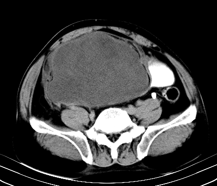
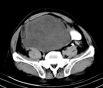
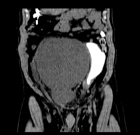
增强扫描
动脉期
[flash=450,350][/flash]
[flash=450,350][/flash]

[flash=450,350][/flash]
[flash=450,350][/flash]








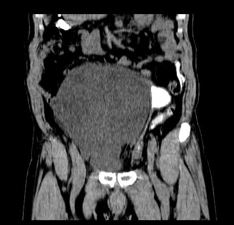
静脉期







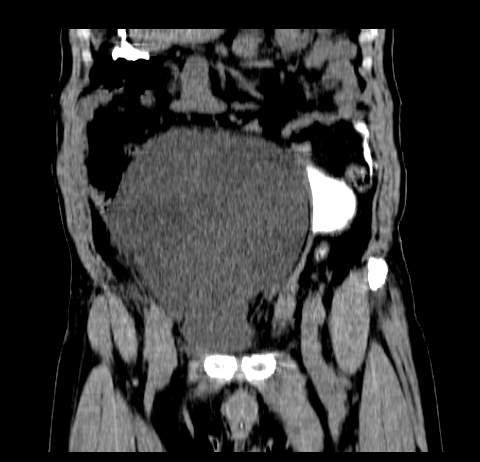
延时期












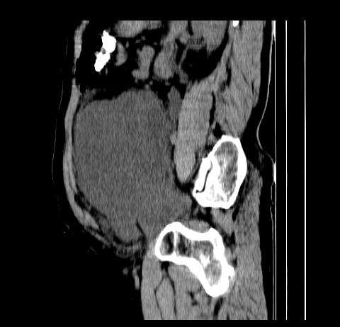
重建






[本贴已被 jiajie 于 2009-5-16 18:56:57 修改过]
作者: 还珠格格 时间: 2009-5-6 03:00
http://www.radida.com/radinet/read.php?tid=52765
作者: 余辉 时间: 2009-5-6 03:04
灶内无强化,ct值0以下,考虑皮样囊肿,请提示灶内结节状及包膜下方更低密度是不是脂肪密度
作者: 杀毒软件 时间: 2009-5-6 03:37
支持考虑皮样囊肿可能
作者: 卜一 时间: 2009-5-6 04:22
支持考虑皮样囊肿可能!
作者: 随光逐影 时间: 2009-5-6 04:39
标题: .
考虑脂肪肉瘤,畸胎类肿瘤待排。
[本贴已被 随光逐影 于 2009-5-5 22:00:26 修改过]
作者: 同 时间: 2009-5-6 04:39
考虑 皮样囊肿可能性大。
作者: songyi 时间: 2009-5-6 04:44
支持考虑皮样囊肿
作者: 九目段 时间: 2009-5-6 04:56
【临床症状】
分析:
1、老年男性,易患恶性肿瘤;
2、腿痛就诊,一部分恶性肿瘤的患者会分泌一种激素,使凝血机能发生障碍,促下肢静脉血栓形成,致腿痛,有时往往为首发症状。因此,肿瘤不除外恶性肿瘤。
【ct表现】
1、肿块巨大,往往位于腹膜后,长大后才引起症状而就诊;那么位于腹膜后的肿瘤80%为恶性肿瘤。
2、实性肿瘤,增强扫描轻度不均强化,实性肿瘤一般不是好东西。
3、肿瘤边缘似见少许脂肪样密度。
4、腹膜后未见肿大淋巴结,但肿瘤于临近的肠管及组织接触紧密。
【诊断】
腹部占位,考虑位于腹膜后的恶性肿瘤,脂肪肉瘤(实体型)可能性大。
【分析】
1、腹膜后的肿瘤少见,但种类繁多,包括脂肪肉瘤、纤维组织细胞肉瘤、纤维肉瘤、平滑肌肉瘤、恶性畸胎瘤、神经肉瘤、神经母细胞瘤、血管肉瘤及横纹肌肉瘤等,其中脂肪肉瘤为较常见的一种肿瘤。
2、增强扫描强化不明显,除脂肪肉瘤以外,一般肿瘤强化中度以上。脂肪肉瘤可不强化或轻度强化。
作者: taolun630408 时间: 2009-5-6 05:34
病变基本位于下腹部正中,膀胱有联系。完全是囊性。首先考虑脐输尿管囊肿。
作者: taolun630408 时间: 2009-5-6 05:52
考虑脐输尿管囊肿。
作者: huangxun4321 时间: 2009-5-6 06:17
应该是腹腔病变,病灶较大,内可见脂肪密度影,边界较清,有钻孔样改变,表皮强化,考虑畸胎瘤(皮样囊肿)可能性大.
作者: shuhangyong 时间: 2009-5-6 06:19
支持考虑皮样囊肿
作者: gule 时间: 2009-5-6 06:37
考虑畸胎瘤(皮样囊肿)可能
作者: zhg2005 时间: 2009-5-6 06:48
考虑表皮样囊肿
作者: wuyiyunwu 时间: 2009-5-6 06:50
囊性肿物较大,定位有一定困难,考虑腹腔内肠源性肿瘤或腹膜后间隙囊性肿瘤.性质待定.
作者: 宇宙CT 时间: 2009-5-6 06:52
【临床症状】
分析:
1、老年男性,易患恶性肿瘤;
2、腿痛就诊,一部分恶性肿瘤的患者会分泌一种激素,使凝血机能发生障碍,促下肢静脉血栓形成,致腿痛,有时往往为首发症状。因此,肿瘤不除外恶性肿瘤。
【ct表现】
1、肿块巨大,往往位于腹膜后,长大后才引起症状而就诊;那么位于腹膜后的肿瘤80%为恶性肿瘤。
2、实性肿瘤,增强扫描轻度不均强化,实性肿瘤一般不是好东西。
3、肿瘤边缘似见少许脂肪样密度。
4、腹膜后未见肿大淋巴结,但肿瘤于临近的肠管及组织接触紧密。
【诊断】
腹部占位,考虑位于腹膜后的恶性肿瘤,脂肪肉瘤(实体型)可能性大。
【分析】
1、腹膜后的肿瘤少见,但种类繁多,包括脂肪肉瘤、纤维组织细胞肉瘤、纤维肉瘤、平滑肌肉瘤、恶性畸胎瘤、神经肉瘤、神经母细胞瘤、血管肉瘤及横纹肌肉瘤等,其中脂肪肉瘤为较常见的一种肿瘤。
2、增强扫描强化不明显,除脂肪肉瘤以外,一般肿瘤强化中度以上。脂肪肉瘤可不强化或轻度强化。
九目段说
作者: 影像孺子牛 时间: 2009-5-6 07:17
期待结果。
作者: yuhongjun 时间: 2009-5-6 13:40
支持考虑皮样囊肿可能
作者: 黑白光影 时间: 2009-5-6 16:28
考虑皮样囊肿或脂肪肉瘤可能,期待结果。
作者: taolun630408 时间: 2009-5-7 05:28
首先考虑脐输尿管囊肿。
作者: 随光逐影 时间: 2009-5-16 18:06
术后病理结果:腹膜后脂肪肉瘤。
感谢楼主反馈术后病理结果,学习了。
作者: 黑白光影 时间: 2009-5-16 18:15
腹膜后脂肪肉瘤。感谢楼主反馈术后病理结果,学习了!
作者: 影像孺子牛 时间: 2009-5-16 22:51
感谢楼主反馈术后病理结果,学习了。
作者: scdlc2008 时间: 2009-5-17 02:00
学习了
作者: pujunzhi 时间: 2009-5-17 04:37
感谢楼主反馈术后病理结果(脂肪肉瘤),学习了!
作者: 拾荒者 时间: 2009-5-17 05:37
结合楼主反馈的病理结果再看九目段版主的分析:只能用仰慕或崇拜形容!!!
作者: dyqct 时间: 2009-6-9 06:29
典型!学习了。
作者: 黄玉龙 时间: 2009-6-9 14:54
学习了
作者: zsl6918 时间: 2009-6-9 17:11
好病例,值得学习.
作者: hufangzhi 时间: 2009-6-9 18:54
支持10楼意见
作者: chinanyd 时间: 2009-6-9 19:16
学习了,九目段老师的分析很精辟,谢谢!
| 欢迎光临 医影在线 (http://bbs.radida.com/bbs/) |
Powered by Discuz! X3.2 |