医影在线

标题: CT19818:女40,脾大伴贫血,无肝炎病史 [打印本页]

作者: wang728    时间: 2009-5-7 20:25
标题: CT19818:女40,脾大伴贫血,无肝炎病史












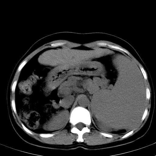
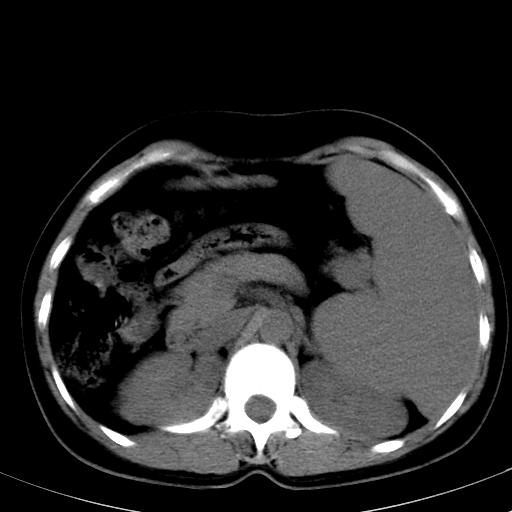
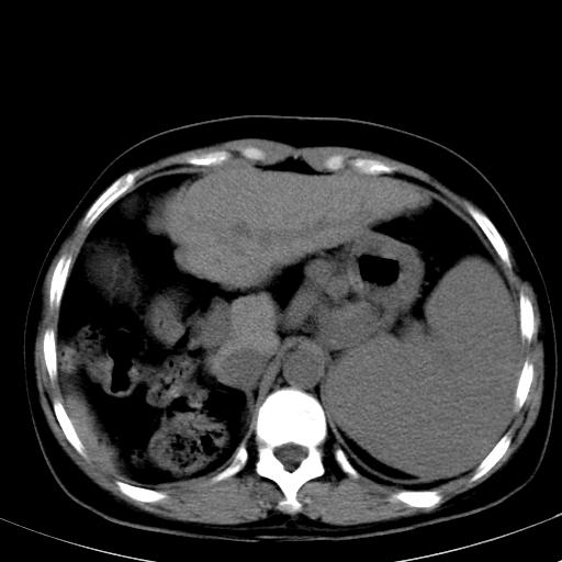
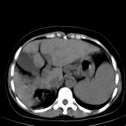
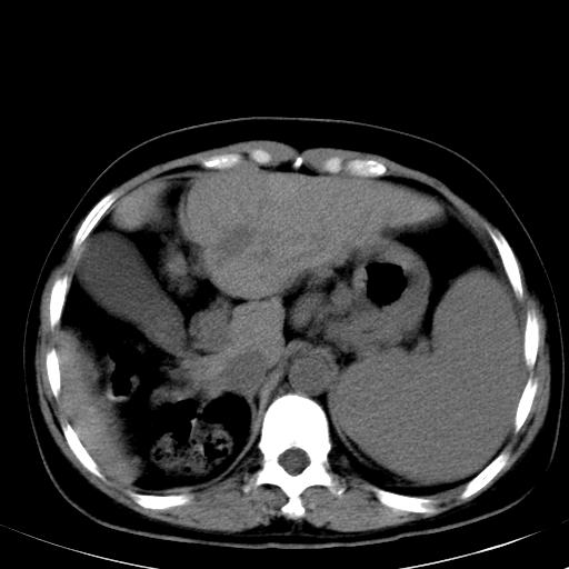
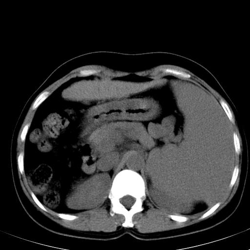
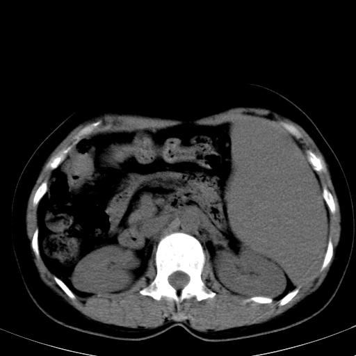
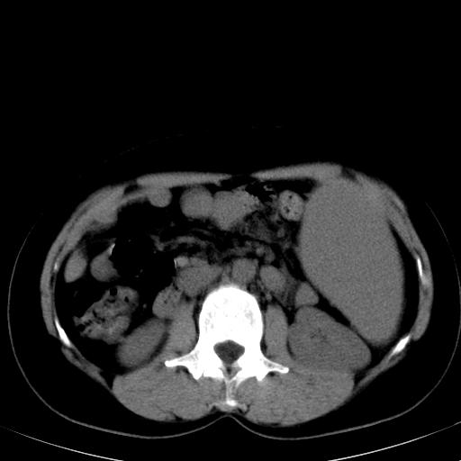
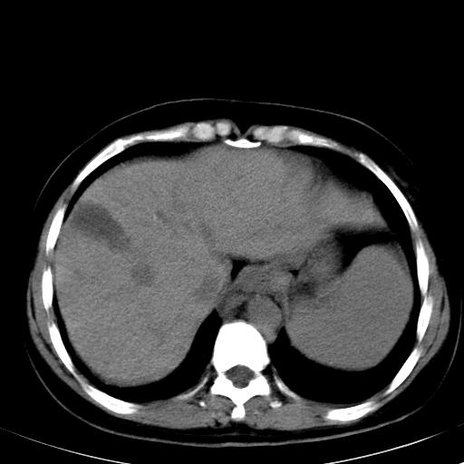
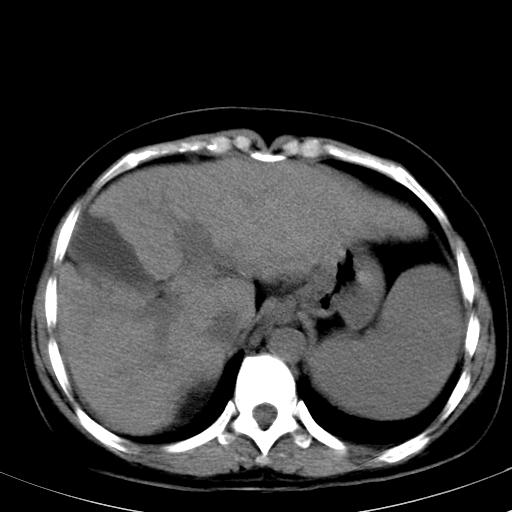
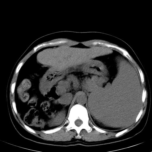
血常规血红蛋白102,
骨穿,诊断再障,无其他病史


[本贴已被 翁志蓬 于 2009-5-8 0:40:11 修改过]

作者: bmw011    时间: 2009-5-7 21:49
脾大符合临床诊断(再障)。
作者: wywly    时间: 2009-5-7 22:10
学习了!
作者: 深泽交通    时间: 2009-5-7 22:48
支持
作者: zjzjr    时间: 2009-5-7 23:20
肝各叶比例失调,肝裂增宽,支持肝硬化\\脾大.
作者: muzi888    时间: 2009-5-7 23:22
巨脾。
作者: 卜一    时间: 2009-5-7 23:49
肝各叶比例失调,肝裂增宽,支持肝硬化\\脾大.
作者: LIAOQIANG    时间: 2009-5-7 23:51
肝硬化、门脉高压、脾大。再障+肝硬化促成巨脾。
作者: 随光逐影    时间: 2009-5-8 00:47
肝硬化,门脉高压,脾大。
作者: panyishengct    时间: 2009-5-8 01:02
左肝大/右肝小,脾大,考虑肝硬化门脉高压,脾大。  不知是否有血吸虫感染病史
作者: 杀毒软件    时间: 2009-5-8 02:04
肝硬化,门脉高压,脾大
作者: gule    时间: 2009-5-8 02:05
肝硬化,门脉高压,脾大。
作者: hejie    时间: 2009-5-8 02:48
肝硬化,门脉高压,脾大。
作者: zsl6918    时间: 2009-5-8 04:20
好病例,符合再障脾大.
作者: ZHUANGYI    时间: 2009-5-8 04:46
肝硬化,脾大。
作者: hmyj9    时间: 2009-5-8 04:51
肝硬化,门脉高压,脾大。
作者: 黑白光影    时间: 2009-5-8 05:12
肝硬化,门脉高压,脾大。支持大家。
作者: 拾荒者    时间: 2009-5-8 05:56
肝叶比例失调,肝左叶明显增大,包膜欠规整,脾大,支持考虑肝硬化、门脉高压、脾大。
作者: 余辉    时间: 2009-5-8 18:15
学习了
作者: chinanyd    时间: 2009-5-8 19:13
支持八楼的意见
作者: lishaocong81964    时间: 2009-5-8 19:15
肝硬化,脾大。
作者: 张辉9999    时间: 2009-5-8 20:27
肝硬化、门脉高压、脾大。再障+肝硬化促成巨脾。




欢迎光临 医影在线 (http://bbs.radida.com/bbs/) Powered by Discuz! X3.2