医影在线

标题: CT19821:请看看盆腔片 [打印本页]

作者: mlfx123321    时间: 2009-5-8 00:24
标题: CT19821:请看看盆腔片
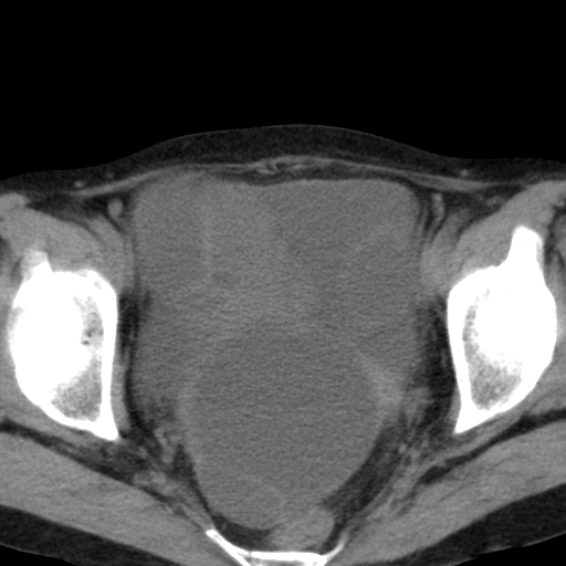
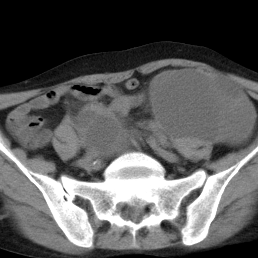
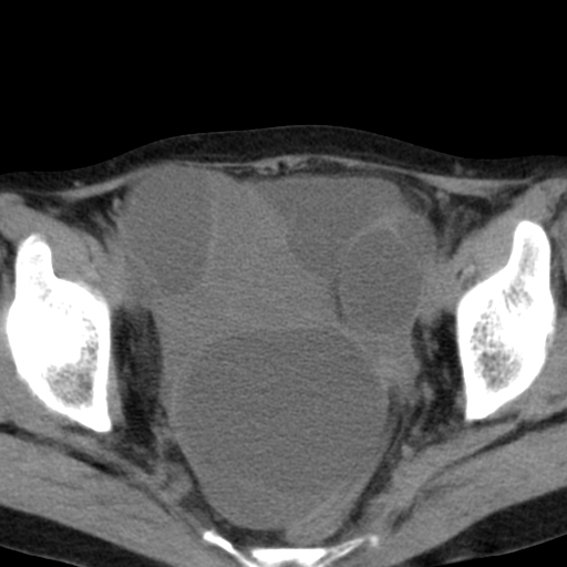
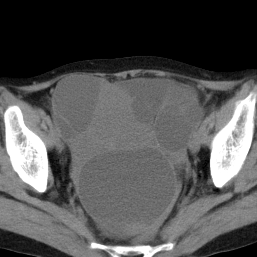
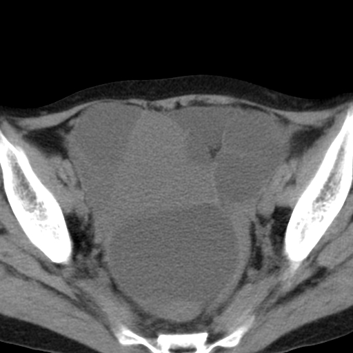
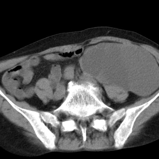
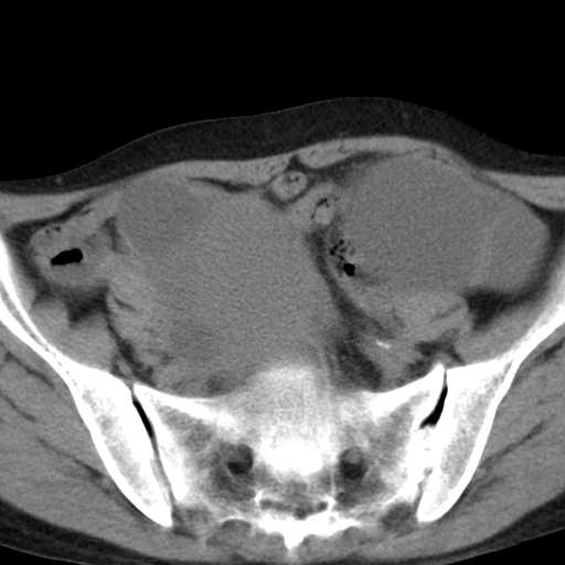
女,70,腹部间断性胀痛三月余



















[本贴已被 翁志蓬 于 2009-5-8 1:00:37 修改过]

作者: bmw011    时间: 2009-5-8 00:38
子宫宫腔及双侧附件积液,原因?
作者: zgb5618    时间: 2009-5-8 00:45
支持楼上,建议mri
作者: 晨星剑    时间: 2009-5-8 00:46
考虑囊腺瘤
作者: 随光逐影    时间: 2009-5-8 00:59
考虑卵巢囊腺瘤,不排除囊腺癌。
作者: 沉默是金    时间: 2009-5-8 01:14
考虑卵巢囊腺瘤
作者: panyishengct    时间: 2009-5-8 01:27
考虑卵巢囊腺瘤或囊腺癌。实质成分太多,考虑后者可能性大.
作者: yuhongjun    时间: 2009-5-8 01:37
考虑卵巢囊腺瘤
作者: 杀毒软件    时间: 2009-5-8 01:57
考虑卵巢囊腺瘤
作者: 同    时间: 2009-5-8 04:04
考虑 卵巢囊腺瘤或囊腺癌。
作者: zsl6918    时间: 2009-5-8 04:06
考虑卵巢囊腺瘤,不排除囊腺癌
作者: 卜一    时间: 2009-5-8 04:14
考虑 卵巢囊腺瘤或囊腺癌。支持!
作者: ZHUANGYI    时间: 2009-5-8 04:14
年龄较大还是恶性可能大,不排除库肯勃瘤
作者: 九目段    时间: 2009-5-8 04:30
双侧卵巢粘液性囊腺癌,不多赘述。
作者: 黄毛小子    时间: 2009-5-8 04:36
考虑囊腺瘤
作者: 拾荒者    时间: 2009-5-8 04:43
考虑卵巢囊腺瘤;囊腺癌不能排除(理由:病人年龄较大,病灶外形欠规整、囊实相间,实性成分较多均支持囊腺癌)。要是能听听九目段老师的点评就好了!
作者: hmyj9    时间: 2009-5-8 04:58
年龄较大,囊实相间,实性成分较多均支持囊腺癌。
作者: 黑白光影    时间: 2009-5-8 05:13
虑 卵巢囊腺瘤或囊腺癌。支持!
作者: 余辉    时间: 2009-5-8 18:17
支持,不完全除外肌瘤
作者: lishaocong81964    时间: 2009-5-8 19:12
支持    考虑 卵巢囊腺瘤或囊腺癌。
作者: 张辉9999    时间: 2009-5-8 20:32
考虑囊腺癌,子宫病变不能排除吧,建议mri检查。




欢迎光临 医影在线 (http://bbs.radida.com/bbs/) Powered by Discuz! X3.2