医影在线

标题: PED1872:女,7岁,自觉顶部包块。 [打印本页]

作者: 高仕福    时间: 2009-5-8 03:41
标题: PED1872:女,7岁,自觉顶部包块。
结果已公布:http://www.radida.com/bbs/forum.php?mod=viewthread&tid=53025
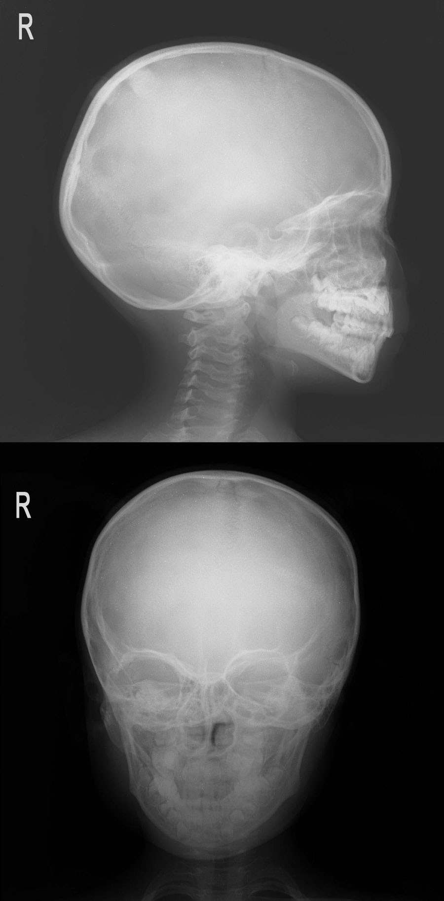
女,7岁,自觉顶部包块,要求cr检查。



[本贴已被 高仕福 于 2009-5-9 17:48:12 修改过]

作者: bmw011    时间: 2009-5-8 04:08
类圆形高密度影,边界清楚,无骨质破坏区。考虑骨样骨瘤。应该再照个切线位。
作者: dyqct    时间: 2009-5-8 04:37
支持楼上意见。
作者: 黑白光影    时间: 2009-5-8 04:40
侧位好象有两个致密影,起源于颅板,边缘较光整,,考虑骨瘤可能,高老板呀,好久不见了,你们咋就没照个切线位呢?
作者: 破釜沉舟    时间: 2009-5-8 05:21
建议冠状位ct。
作者: 奥特之父    时间: 2009-5-8 05:27
照个切线位片,必要时ct,颅骨骨瘤较多.骨样骨瘤一般症状明显有典型临床表现.
作者: 随光逐影    时间: 2009-5-8 05:45
顶部类圆形高密度影——扎在一起的头发?
作者: 寻芳者    时间: 2009-5-8 07:40
类圆形高密度影,边界清楚,无骨质破坏区。考虑骨样骨瘤。应该再照个切线位
作者: dr.yang    时间: 2009-5-8 08:21
骨样骨瘤
作者: 余辉    时间: 2009-5-8 16:47
c一个
作者: xly    时间: 2009-5-9 03:55
为何不做ct呢?
作者: 高仕福    时间: 2009-5-9 20:26
标题: 回复:ped1872:女,7岁,自觉顶部包块。
以下是引用黑白光影在2009-5-7 20:40:00的发言:[br]侧位好象有两个致密影,起源于颅板,边缘较光整,,考虑骨瘤可能,高老板呀,好久不见了,你们咋就没照个切线位呢?

黑白光影老师好!
呵呵,我不是老板,我与大家一样都是为老板打工的“打工仔”。
本例不需要照切线位及ct检查。有结果。
作者: jiangjing    时间: 2009-5-10 00:18
类圆形高密度影,边界清楚,无骨质破坏区。考虑骨瘤。应该再照个切线位。
作者: pujunzhi    时间: 2009-5-10 02:46
顶部类圆形高密度影,结果为扎在一起的头发,学习了!
作者: 拾荒者    时间: 2009-5-10 02:52
谢谢楼主反馈结果!值得借鉴。
作者: 杀毒软件    时间: 2009-5-10 02:54
随光老师经验很丰富呀,学习
作者: 影像之路    时间: 2009-5-10 03:32
随光老师经验很丰富呀,学习
作者: 影像孺子牛    时间: 2009-5-10 05:49
影像必须结合临床。


学习。
作者: 吴承学    时间: 2009-5-10 15:45
标题: 回复:ped1872:女,7岁,自觉顶部包块。
以下是引用破釜沉舟在2009-5-7 21:21:00的发言:[br]建议冠状位ct。

作者: 随光逐影    时间: 2009-5-10 17:18
顶部类圆形高密度影,结果为扎在一起的头发。
——感谢楼主反馈结果。
作者: 黑白光影    时间: 2009-5-10 18:25
“自觉顶部包块”很忽悠人,哈哈!
谢楼主公布结果。
作者: scdlc2008    时间: 2009-5-12 01:43
投照人员的责任
作者: fyanj168    时间: 2009-5-16 05:32
骨样骨瘤,ct
作者: ZHONGXINMR    时间: 2009-5-22 00:02
收到




欢迎光临 医影在线 (http://bbs.radida.com/bbs/) Powered by Discuz! X3.2