

























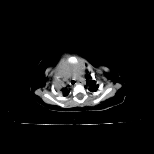
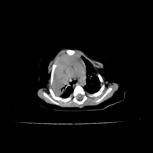
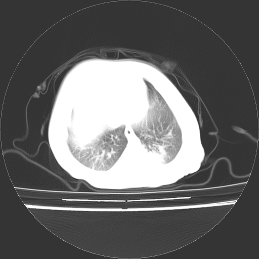
以下是引用影像之路在2009-5-8 15:46:00的发言:[br]1)胸廓畸形。2)考虑两肺感染性病变,并右肺上中叶肺不张;建议抗炎治疗后复查。3)胸腺肥大。4)前上中纵隔占位性病变待排;建议追踪复查。
以下是引用随光逐影在2009-5-8 8:33:00的发言:[br]1)胸廓畸形。2)考虑两肺感染性病变,并右肺上中叶肺不张;建议抗炎治疗后复查。3)胸腺肥大。4)前上中纵隔占位性病变待排;建议追踪复查。
以下是引用余辉在2009-5-8 8:44:00的发言:[br]鸡胸,胸腺肥大,双肺感染性病变,结合病史支原体肺炎可能性大
以下是引用余辉在2009-5-8 8:44:00的发言:[br]鸡胸,胸腺肥大,双肺感染性病变,结合病史支原体肺炎可能性大
以下是引用余辉在2009-5-8 8:44:00的发言:[br]鸡胸,胸腺肥大,双肺感染性病变,结合病史支原体肺炎可能性大
| 欢迎光临 医影在线 (http://bbs.radida.com/bbs/) | Powered by Discuz! X3.2 |