医影在线

标题: PED1877:女,20余天,突发抽搐,双眼凝视。 [打印本页]

作者: wlq66556    时间: 2009-5-9 21:02
标题: PED1877:女,20余天,突发抽搐,双眼凝视。
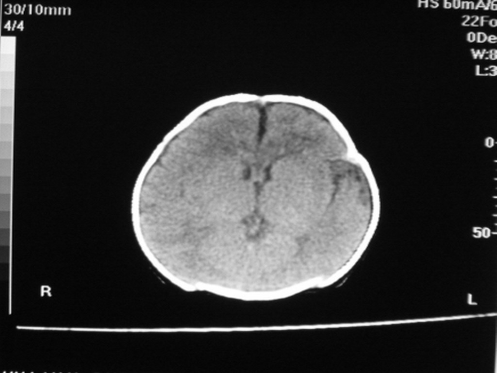
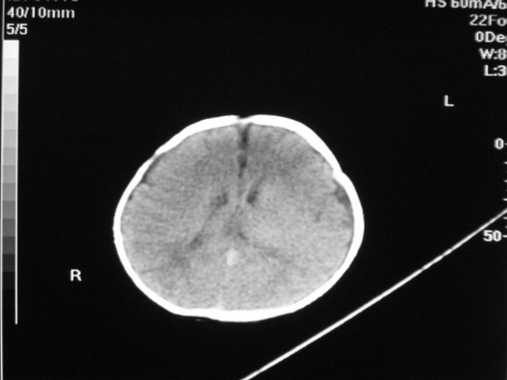
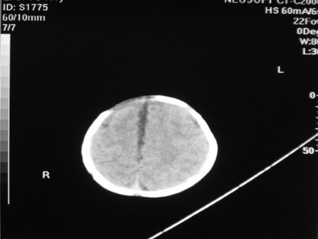
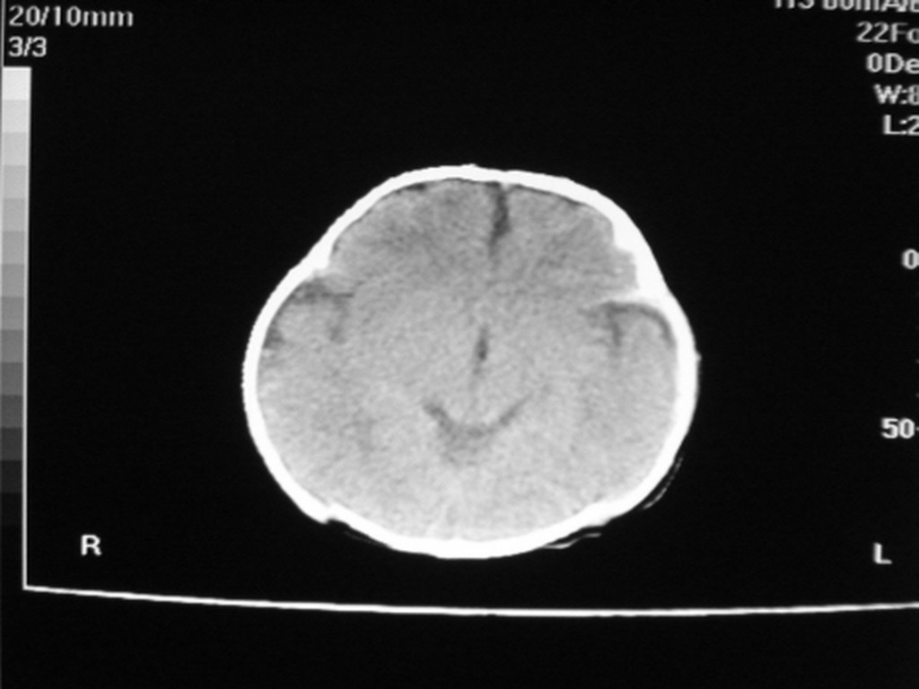
女,20余天,突发抽搐,双眼凝视。








[本贴已被 jiajie 于 2009-5-9 13:36:11 修改过]

作者: zjzjr    时间: 2009-5-9 21:03
未见异常.
作者: bmw011    时间: 2009-5-9 21:07
未见异常.
作者: jiangjing    时间: 2009-5-10 00:06
未见异常.  mri jiancha
作者: 杀毒软件    时间: 2009-5-10 02:49
未见异常
作者: pujunzhi    时间: 2009-5-10 02:49
未见异常.
作者: 同    时间: 2009-5-10 03:43
未见明显异常!
作者: 吴承学    时间: 2009-5-10 15:56
标题: 回复:ped1877:女,20余天,突发抽搐,双眼凝视。
以下是引用zjzjr在2009-5-9 13:03:00的发言:[br]未见异常.

作者: 随光逐影    时间: 2009-5-10 17:33
未见明确异常;建议必要时复查或行mri检查。
作者: dyqct    时间: 2009-5-10 18:17
未见异常.
作者: 拾荒者    时间: 2009-5-12 04:49
未见明显异常。
作者: 黑白光影    时间: 2009-5-16 17:17
未见明显异常。




欢迎光临 医影在线 (http://bbs.radida.com/bbs/) Powered by Discuz! X3.2