








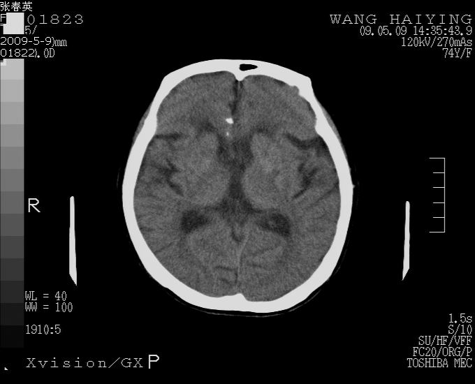
以下是引用余辉在2009-5-9 18:32:00的发言:[br]基底动脉稍扩张且右偏,其上方层面见高密度块影,考虑动脉瘤可能,建议增强,皮脑
以下是引用bmw011在2009-5-9 18:25:00的发言:[br]脑内多发缺血、梗塞。
以下是引用余辉在2009-5-9 18:32:00的发言:[br]基底动脉稍扩张且右偏,其上方层面见高密度块影,考虑动脉瘤可能,建议增强,皮脑
以下是引用同在2009-5-9 19:56:00的发言:[br][quote]以下是引用余辉在2009-5-9 18:32:00的发言:[br]基底动脉稍扩张且右偏,其上方层面见高密度块影,考虑动脉瘤可能,建议增强,皮脑
以下是引用杀毒软件在2009-5-9 17:48:00的发言:[br]不排除动脉瘤可能,建议进一步检查。 [br]
以下是引用余辉在2009-5-9 18:32:00的发言:[br]基底动脉稍扩张且右偏,其上方层面见高密度块影,考虑动脉瘤可能,建议增强,皮脑
以下是引用余辉在2009-5-9 18:32:00的发言:[br]基底动脉稍扩张且右偏,其上方层面见高密度块影,考虑动脉瘤可能,建议增强,皮脑
以下是引用余辉在2009-5-9 18:32:00的发言:[br]基底动脉稍扩张且右偏,其上方层面见高密度块影,考虑动脉瘤可能,建议增强,皮脑
| 欢迎光临 医影在线 (http://bbs.radida.com/bbs/) | Powered by Discuz! X3.2 |