医影在线
标题: PED1880:前上纵膈占位 [打印本页]
作者: headshot 时间: 2009-5-10 20:34
标题: PED1880:前上纵膈占位
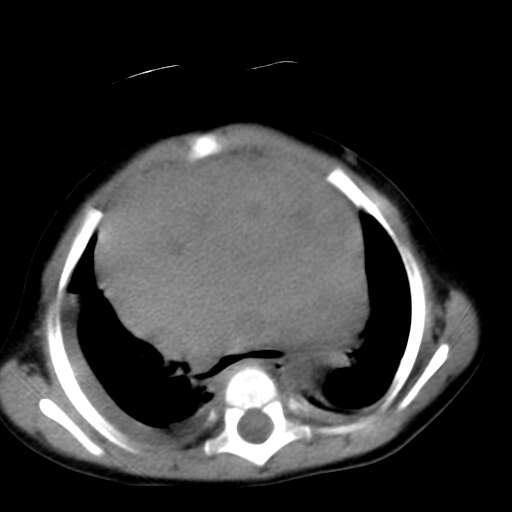
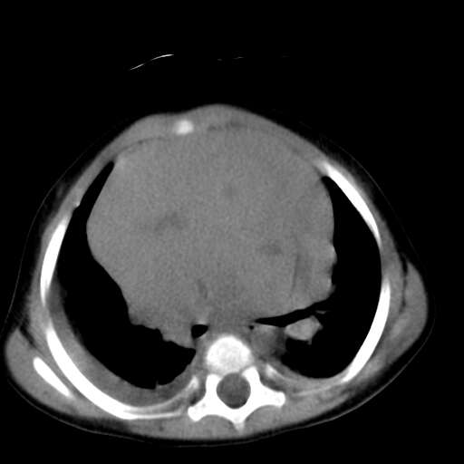
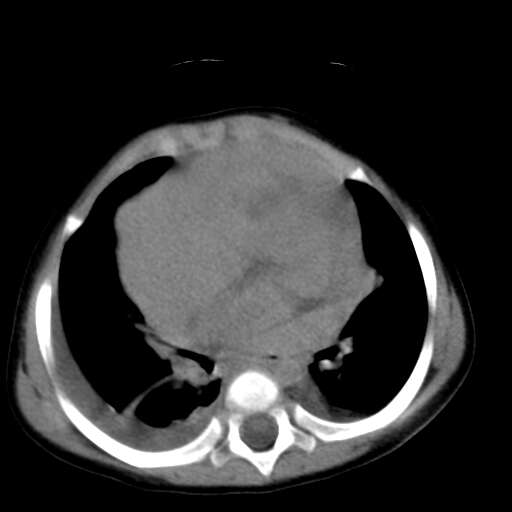
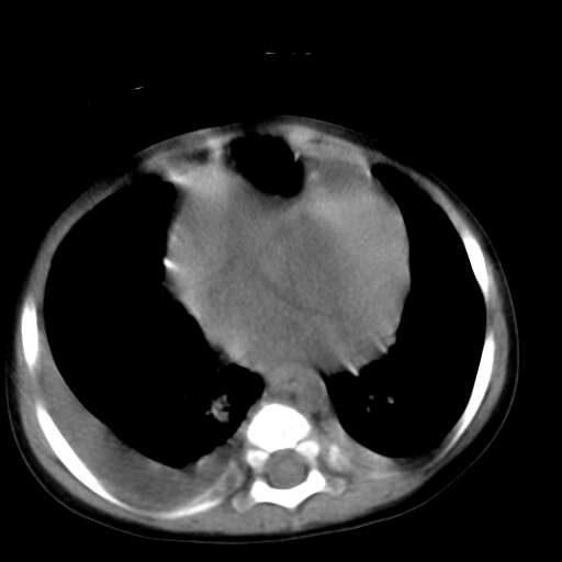
患儿1y,女,因支肺炎经dr检查发现前上纵膈占位而行ct检查,肿块与心血管脂肪间隙模糊消失,可见斑点状钙化,未见脂肪成分,双侧胸水,考虑侵袭性胸腺瘤






































[本贴已被 jiajie 于 2009-5-10 21:13:05 修改过]
作者: aa13877358820 时间: 2009-5-10 20:50
考虑生殖细胞肿瘤可能性大
作者: 九目段 时间: 2009-5-10 21:36
【临床特点】
低龄小儿。
【影像特征】
1、定位:前上纵隔,血管及头臂干前方,胸腺部位。
2、巨大实性肿块,其内见小片状低密度灶和少许点状钙化。
3、双侧胸腔积液,提示肿瘤恶性可能。
4、双肺下也背侧肺间质水肿改变。
【诊断】
1、前上纵隔巨大实性占位,考虑恶性胸腺瘤可能性大。
2、双侧胸腔积液。
3、双肺下叶肺间质水肿。
【分析】
1、小儿的纵隔肿瘤的发生位置对于肿瘤的鉴别很重要,因此首先考虑胸腺瘤,可有低密度坏死,但钙化少见。
2、胸腔积液而肺部未见明显肺炎表现,肿瘤提示恶性,与大血管分界不清,呈侵润性生长均提示恶性特征。
3、淋巴瘤、畸胎瘤可发生在前纵隔,淋巴瘤常伴肺门淋巴结肿大,为分叶状肿块,畸胎瘤内含有脂肪密度,均难考虑。
4、神经源性肿瘤,好发于后纵隔,可伴有钙化,该肿瘤有钙化,但主要特征不符合。
5、lch侵犯胸腺,未见有证据。
6、胸腺增生,往往密度均匀,无钙化,形态不变形,无胸腔积液。
作者: zjzjr 时间: 2009-5-10 22:18
考虑生殖细胞肿瘤可能性大,胸腺瘤(好像病人年龄太小了吧),双侧少量胸腔积液
作者: 随光逐影 时间: 2009-5-10 22:35
支持4楼意见。
作者: 卜一 时间: 2009-5-10 23:37
支持4楼意见。
作者: headshot 时间: 2009-5-10 23:41
标题: 回复:前上纵膈占位
胸腺瘤可有钙化,但不作为良恶性的鉴别点
作者: bmw011 时间: 2009-5-10 23:50
支持 九目段分析,厉害。
作者: dyqct 时间: 2009-5-11 00:05
标题: 回复:前上纵膈占位
以下是引用zjzjr在2009-5-10 14:18:00的发言:[br]考虑生殖细胞肿瘤可能性大,胸腺瘤(好像病人年龄太小了吧),双侧少量胸腔积液
支持!
作者: huangyinshan 时间: 2009-5-11 00:35
考虑生殖细胞肿瘤可能性大
作者: 杀毒软件 时间: 2009-5-11 00:55
大家的考虑都有道理,向 九目段学习。
作者: yang4132 时间: 2009-5-11 00:57
考虑生殖 细胞肿瘤可能性大
作者: sunbin 时间: 2009-5-11 00:58
支持生殖细胞瘤可能性大。
作者: 影像达人 时间: 2009-5-11 01:23
向各位老师学习。
作者: yuhongjun 时间: 2009-5-11 01:24
考虑生殖细胞肿瘤可能性大,胸腺瘤(好像病人年龄太小了吧),双侧少量胸腔积液
作者: fyanj168 时间: 2009-5-11 02:09
九目段说得很精辟
作者: ct诊断高手 时间: 2009-5-11 02:15
哈哈。都很厉害啊
作者: qiuleiyu 时间: 2009-5-11 03:11
考虑生殖细胞肿瘤可能性大,增强及结合临床实验室检查。
作者: 黄毛小子 时间: 2009-5-11 03:34
支持4楼
作者: hg7503847 时间: 2009-5-11 03:35
小儿应该慎诊胸腺瘤,最好是磁共振就好了,不过年龄太小了,
作者: jiangjing 时间: 2009-5-11 03:55
考虑生殖细胞肿瘤或神经母细胞瘤或原始神经外胚瘤可能性大,胸腺瘤(好像病人年龄太小了吧),双侧少量胸腔积液
作者: chinanyd 时间: 2009-5-11 03:58
支持三楼的意见,学习了
作者: 同 时间: 2009-5-11 04:31
标题: 回复:前上纵膈占位
以下是引用zjzjr在2009-5-10 14:18:00的发言:[br]考虑生殖细胞肿瘤可能性大,胸腺瘤(好像病人年龄太小了吧),双侧少量胸腔积液
[rm=450,350][/audio]
作者: zjb 时间: 2009-5-11 04:40
大家都集中在恶性胸腺瘤和生殖细胞瘤,是否可以穿刺活检?
作者: 九目段 时间: 2009-5-11 07:22
标题: .
复习文献,大家多考虑生殖细胞肿瘤,鄙人才疏,仰仗大家指教。
生殖细胞肿瘤仅占全身恶性肿瘤的 1 %,是青年男性常见的恶性肿瘤之一,约 2 %~5 %的生殖细胞肿瘤发生于性腺之外。性腺外生殖细胞肿瘤的组织发生准确来源尚不清楚,目前普遍认为,由于胚胎期原始生殖细胞在迁徙的途中,迷走于身体中线部位,发生与性腺形态相同的生殖细胞瘤;e g c f 常见部位有纵纵、腹膜后、松果体和骶尾部等,但 5 o % ~7 0 %e g c t 原发于纵隔,7 5 %以上为良性生殖细胞,恶性生殖细胞瘤少见,其中 3 0 % ~4 o %为精原细胞瘤,6 0 %~ 7 0 %为非精原细胞瘤的生殖细胞。以男性为主,中位年龄为2 3 岁,精原细胞瘤占 1 / 3 ,与文献报道相似。恶性生殖细胞瘤的临床症状早期均为肿块挤压周围器官所产生的非特异症状,如胸闷、气短等,随后出现呼吸困难及上腔静脉压迫征等,同时或数月后出现全身远地转移。对于年轻男性在纵隔部位发生的肿瘤,要考虑本病的可能,大约 1 0 %的 e g c f可通过血清β-h c g和a f p 检测来诊断。多数病人需靠穿刺获取病理诊断。
[本贴已被 九目段 于 2009-5-11 6:58:43 修改过]
作者: 联众之王 时间: 2009-5-11 13:45
生殖细胞瘤,内胚窦癌
作者: 余辉 时间: 2009-5-11 18:45
有没有考虑肺炎后胸腺反应性增大?不过不知道肺炎病史有多长.或者有没有其他慢性感染史(双腋窝淋巴结肿大)
病灶内有团状钙化,符合生殖细胞瘤改变
作者: scdlc2008 时间: 2009-5-12 02:03
病灶内有团状钙化,符合生殖细胞瘤改变
作者: 九目段 时间: 2009-5-12 03:50
【大家的意见有道理,补充诊断】:
前上纵隔巨大占位伴多发点状钙化,考虑畸胎癌可能性大。
作者: 拾荒者 时间: 2009-5-12 04:10
支持考虑生殖细胞瘤可能,病人年龄较小,病灶内见钙化灶是主要依据。可结合实验室检查;佩服九目段版主的分析及敬业精神。
作者: tww3077 时间: 2009-5-13 04:48
纵隔占位性病变:考虑内胚窦瘤可能性大,淋巴瘤以及神经源性肿瘤需除外。
希望能够提供增强ct片。如果没做,希望以后尽量增强,那样可以提供更多信息。
作者: songyi 时间: 2009-5-14 04:47
考虑生殖细胞肿瘤可能性大
作者: fyanj168 时间: 2009-5-16 05:24
恶性胸腺瘤可能性大,奇胎瘤不除外
作者: 黑白光影 时间: 2009-5-16 17:20
讨论很热烈,学习了。
作者: pujunzhi 时间: 2009-5-17 18:36
赞同大家分析意见,前纵隔巨大实性占位,有囊变和钙化,希望尽早告知病理结果!
| 欢迎光临 医影在线 (http://bbs.radida.com/bbs/) |
Powered by Discuz! X3.2 |