医影在线

标题: PED1881:女孩4岁,左小腿肿物。 [打印本页]

作者: 杏林古木    时间: 2009-5-11 05:28
标题: PED1881:女孩4岁,左小腿肿物。
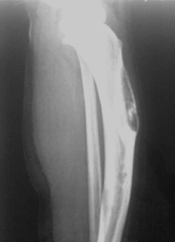
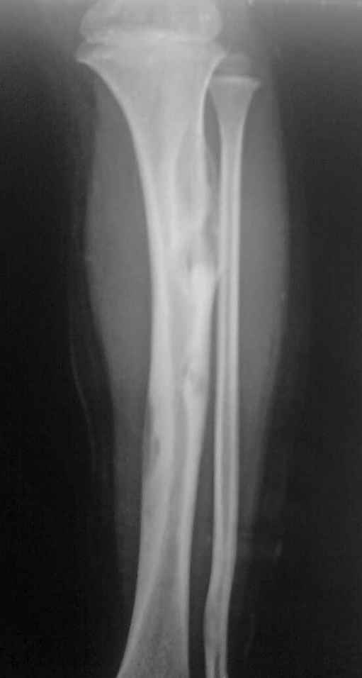
女孩4岁,左小腿肿物1年余,无痛,有跛行。胫前有肿物,质硬,无压痛。




[本贴已被 jiajie 于 2009-5-11 20:20:33 修改过]

作者: zhanggenliang    时间: 2009-5-11 05:31
骨纤可能性大。不排除骨巨细胞瘤
作者: abecedarian    时间: 2009-5-11 06:40
非骨化性纤维瘤可能。
作者: 子期    时间: 2009-5-11 06:52
骨纤可能,不排除非骨化性纤维瘤。
作者: 随光逐影    时间: 2009-5-11 15:11
考虑不常见骨感染性病变,不排除骨纤。
作者: bmw011    时间: 2009-5-11 16:20
骨纤可能性大。
作者: dyqct    时间: 2009-5-11 17:03
考虑左胫骨骨纤可能性大。
作者: 592438394    时间: 2009-5-11 17:13
骨纤可能性大。  
   

bmw011说

  
来自小地方,见过大世面。疑难病例不多,见识少。学习学习。。。。。再学习!
作者: 观影朔征    时间: 2009-5-11 17:27
考虑骨纤维结构不良。
作者: 余辉    时间: 2009-5-11 17:43
多发,累及胫腓骨,支持考虑骨纤
作者: zss关东小先    时间: 2009-5-11 17:55
考虑左胫骨骨纤
作者: zhengfaming    时间: 2009-5-11 18:14
支持骨纤
作者: 医盲    时间: 2009-5-11 18:34
胫骨增粗膨大,弯曲变形,多处骨皮质见囊性破坏,且呈纵轴发展,与正常骨分界欠清,破坏区内见高密度影。腓骨也累及。考虑骨纤,其他骨病变不排外。
作者: jiahui7z    时间: 2009-5-11 18:55
骨纤可能性大
作者: jinguoji    时间: 2009-5-11 20:16
左胫骨骨纤可能性大。
作者: 张辉9999    时间: 2009-5-11 20:58
骨纤可能性大。不排除骨巨细胞瘤
作者: 黑白光影    时间: 2009-5-11 21:18
无症状,骨干皮质部,考虑为纤维组织肿瘤或肿瘤样变,皮质型或偏心型非骨化纤维瘤。骨膜硬纤维瘤不排除。
作者: 奥特之父    时间: 2009-5-11 21:36
多考虑骨纤.
作者: luoxinjun    时间: 2009-5-11 23:15
胫骨增粗膨大,弯曲变形,多处骨皮质见囊性破坏,且呈纵轴发展,与正常骨分界欠清,破坏区内见高密度影。腓骨也累及。考虑骨纤,
作者: 杀毒软件    时间: 2009-5-12 02:58
考虑----骨纤可能性大
作者: 拾荒者    时间: 2009-5-12 04:46
非骨化性纤维瘤或骨膜硬纤维瘤可能。
作者: zimiu    时间: 2009-5-13 04:52
胫骨增粗膨大,弯曲变形,多处骨皮质见囊性破坏,且呈纵轴发展,与正常骨分界欠清,破坏区内见高密度影。腓骨也累及。考虑骨纤
作者: laodanan    时间: 2009-5-13 18:51
考虑左胫骨骨纤可能性大。
作者: sunbin    时间: 2009-5-14 02:11
骨纤可能性大。
作者: songyi    时间: 2009-5-14 04:43
考虑骨纤维结构不良
作者: hexue    时间: 2009-5-14 07:45
骨纤可能性大。
作者: 吴承学    时间: 2009-5-14 15:03
标题: 回复:ped1881:女孩4岁,左小腿肿物。
以下是引用bmw011在2009-5-11 8:20:00的发言:[br]骨纤可能性大。

作者: jiangjing    时间: 2009-5-14 19:09
多发,累及胫腓骨,支持考虑骨纤
作者: scdlc2008    时间: 2009-5-14 21:50
支持考虑骨纤




欢迎光临 医影在线 (http://bbs.radida.com/bbs/) Powered by Discuz! X3.2