医影在线

标题: CT19885:左胫骨上端肿瘤。 [打印本页]

作者: 杏林古木    时间: 2009-5-11 05:38
标题: CT19885:左胫骨上端肿瘤。
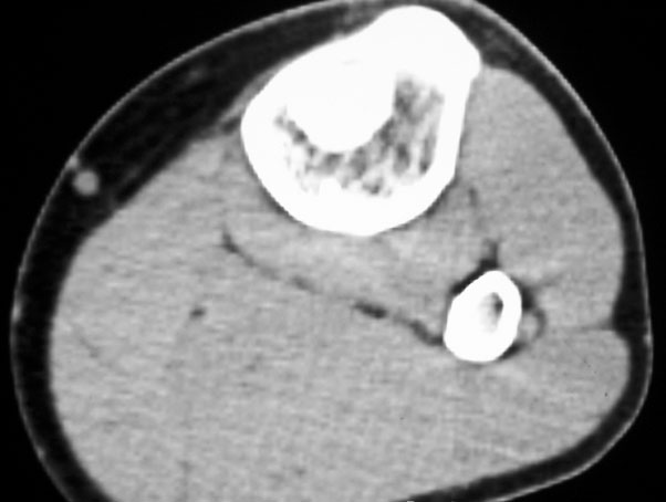
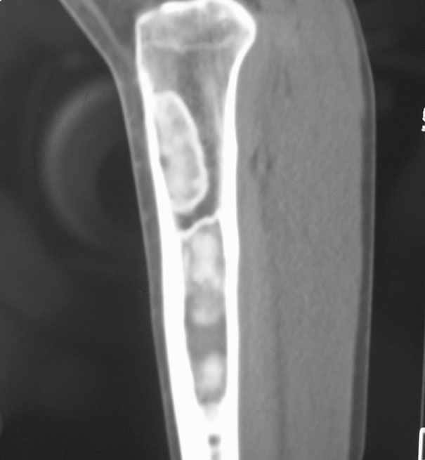
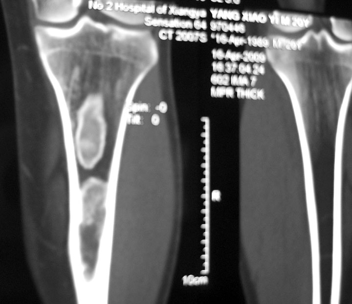
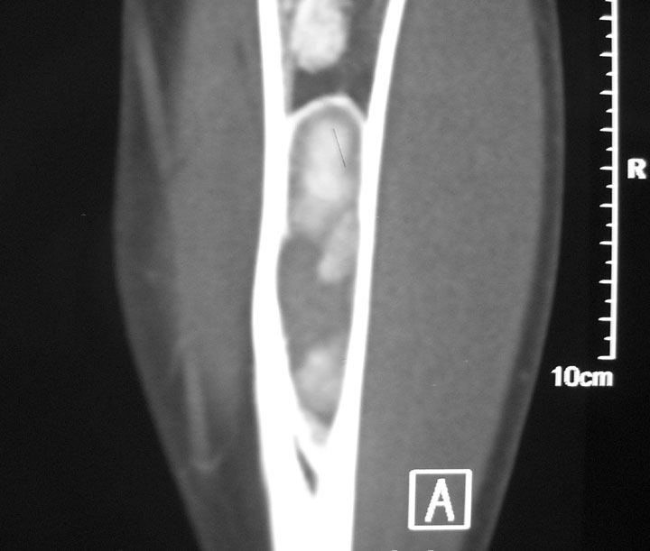
男,20岁,医学院学生,11年前感左胫骨上端劳累后酸痛,曾由父母带到国内好几家有名望的医院诊治,但众说不一,所以基本上没有治疗。今年三月又开始出现症状,又到多家省级医院求治,但专家们的意见还是不能统一。各生化检查正常。mri考虑到胫骨上端良性血管瘤可能性大。ct考虑纤维瘤可能性大。请各位发表高见。















[本贴已被 jiajie 于 2009-5-11 20:16:03 修改过]

作者: zhengjian_12    时间: 2009-5-11 05:43
多发纤维瘤可能性大
作者: 黑白光影    时间: 2009-5-11 05:52
考虑胫骨多发性内生骨瘤。
作者: abecedarian    时间: 2009-5-11 06:34
胫骨多发性内生骨瘤可能。
作者: 子期    时间: 2009-5-11 06:51
考虑纤维类肿瘤,以骨化性纤维瘤可能性大。
作者: 随光逐影    时间: 2009-5-11 15:09
考虑左胫骨良性骨肿瘤或骨肿瘤样病变(多发性内生骨瘤?骨纤维结构不良?)。
作者: bmw011    时间: 2009-5-11 16:10
考虑胫骨多发性内生骨瘤可能。应该传骨窗。
作者: dyqct    时间: 2009-5-11 17:09
标题: 回复:左胫骨上端肿瘤。
以下是引用随光逐影在2009-5-11 7:09:00的发言:[br]考虑左胫骨良性骨肿瘤或骨肿瘤样病变(多发性内生骨瘤?骨纤维结构不良?)。

支持!
作者: 观影朔征    时间: 2009-5-11 17:32
mri考虑到胫骨上端良性血管瘤可能性大
作者: jiahui7z    时间: 2009-5-11 18:51
标题: 回复:左胫骨上端肿瘤。
以下是引用随光逐影在2009-5-11 7:09:00的发言:[br]考虑左胫骨良性骨肿瘤或骨肿瘤样病变(多发性内生骨瘤?骨纤维结构不良?)。

作者: luoxinjun    时间: 2009-5-11 23:12
以下是引用随光逐影在2009-5-11 7:09:00的发言:
考虑左胫骨良性骨肿瘤或骨肿瘤样病变(多发性内生骨瘤?骨纤维结构不良?)。
作者: zhanggenliang    时间: 2009-5-12 01:17
左胫骨良性肿瘤或肿瘤样病变。骨纤?
作者: 杀毒软件    时间: 2009-5-12 03:00
标题: 回复:左胫骨上端肿瘤。
以下是引用随光逐影在2009-5-11 7:09:00的发言:[br]考虑左胫骨良性骨肿瘤或骨肿瘤样病变(多发性内生骨瘤?骨纤维结构不良?)。

支持
作者: 513ytb    时间: 2009-6-29 01:41
考虑左胫骨良性骨肿瘤或骨肿瘤样病变(多发性内生骨瘤?骨纤维结构不良?)。骨梗死,纤维瘤。




欢迎光临 医影在线 (http://bbs.radida.com/bbs/) Powered by Discuz! X3.2