医影在线

标题: PED1887:男性,6岁。反复脐周疼痛2年余。请各位老师看下腹 [打印本页]

作者: zlh    时间: 2009-5-14 01:56
标题: PED1887:男性,6岁。反复脐周疼痛2年余。请各位老师看下腹
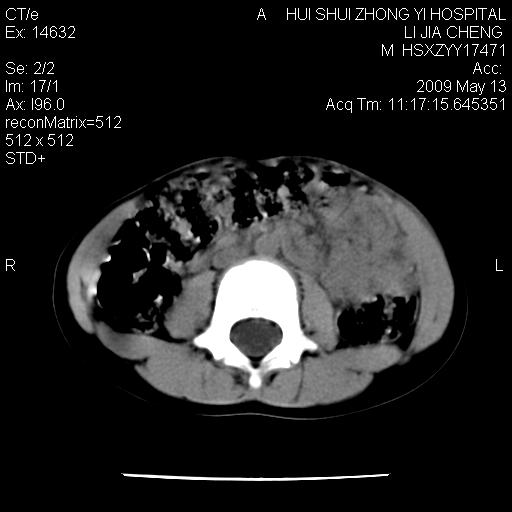
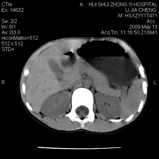
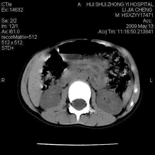
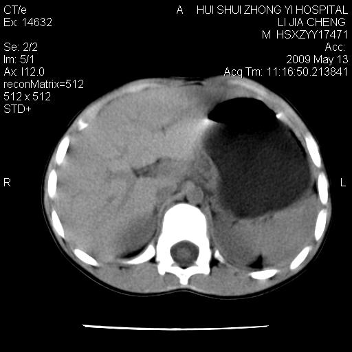
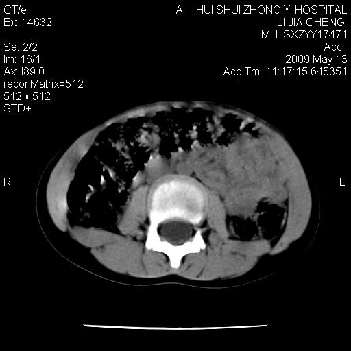
该患者可自行好转,大小便未见异常,化验:便未见虫卵,血常规:wbc:8000;淋巴3600,中性45%
























[本贴已被 余辉 于 2009-5-13 18:53:28 修改过]

作者: bmw011    时间: 2009-5-14 02:06
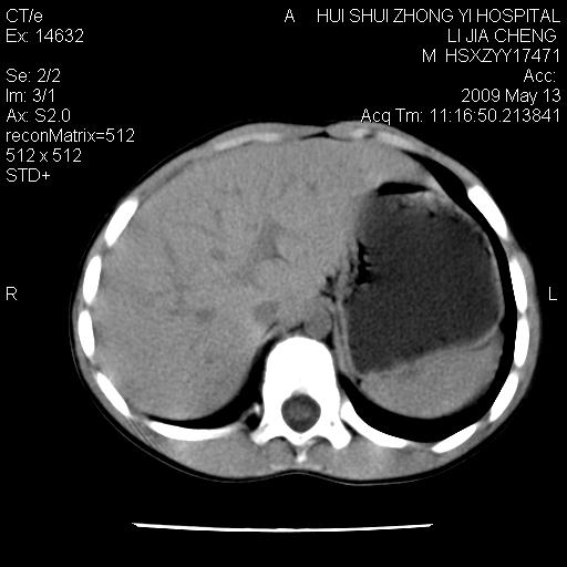
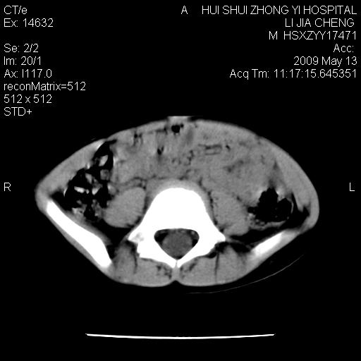
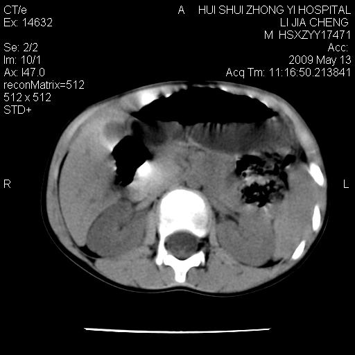
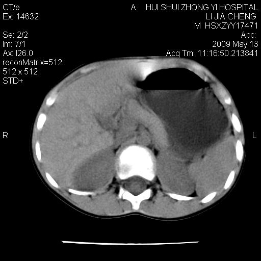
脂肪肉瘤可能性大,大血管边界不清,特别是腔静脉。不除外其他腹膜后肿瘤。
作者: bmw011    时间: 2009-5-14 02:34
建议增强检查。
作者: 余辉    时间: 2009-5-14 02:47
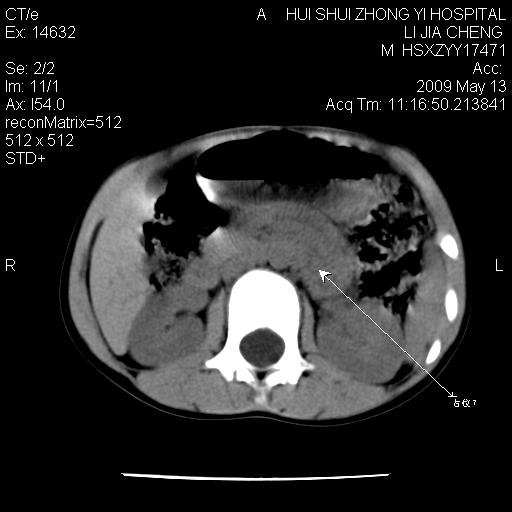
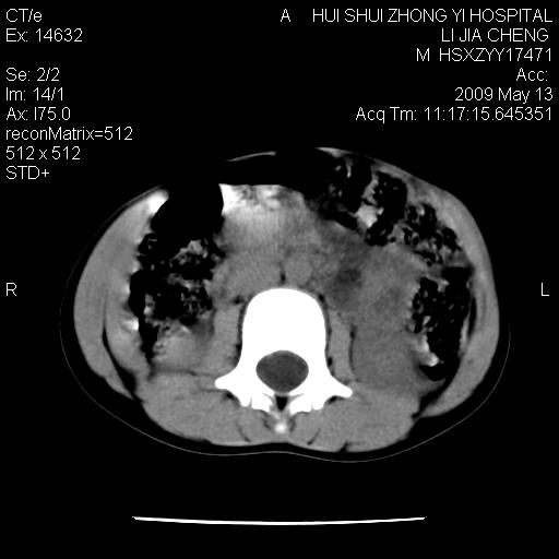
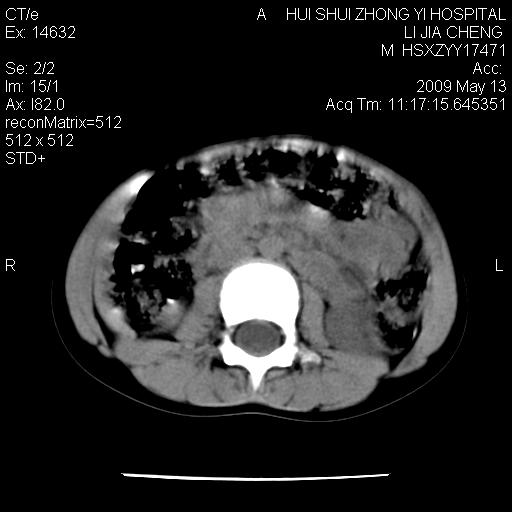
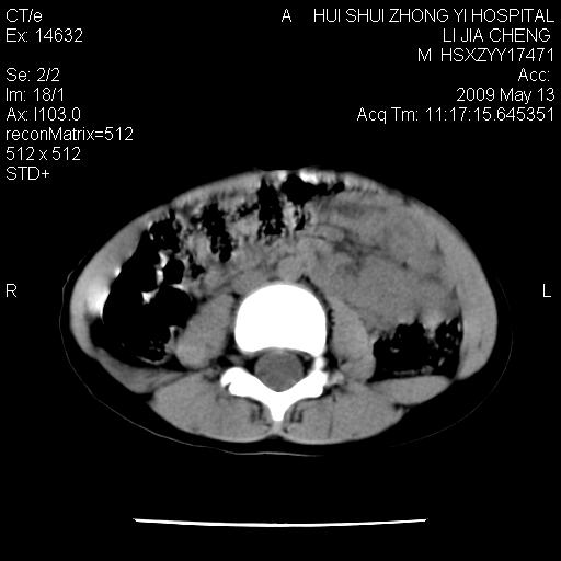
是不是有蛔虫哦,楼主图示块影前方肠管壁显著增厚,不除外慢性肠炎或肠壁占位,建议肠道准备后复查
作者: 韦伟    时间: 2009-5-14 02:51
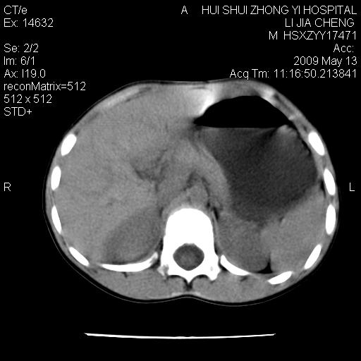
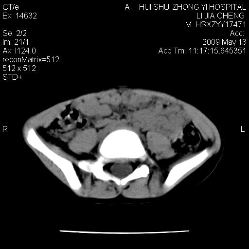
肠道准备不足,im15---------------------18左侧腹腔病变?
作者: zxl51642    时间: 2009-5-14 02:51
分不清楚,增强吧!!
作者: sunbin    时间: 2009-5-14 03:24
建议增强。
作者: songyi    时间: 2009-5-14 04:59
建议增强检查。
作者: dyqct    时间: 2009-5-14 05:59
建议增强进一步检查。
作者: 随光逐影    时间: 2009-5-14 18:40
来源于十二指肠水平部病变?建议行进一步检查。
作者: rssy205    时间: 2009-5-14 22:40
肠管管壁均匀增厚,炎性可能
作者: y2why    时间: 2009-5-14 22:41
建议行进一步检查
作者: 同    时间: 2009-5-15 05:03
标题: 回复:ped1887:男性,6岁。反复脐周疼痛2年余。请各位老师
以下是引用随光逐影在2009-5-14 10:40:00的发言:[br]来源于十二指肠水平部病变?建议行进一步检查。

作者: 黑白光影    时间: 2009-5-16 17:23
来源于十二指肠水平部病变?建议行进一步检查。
作者: LIAOQIANG    时间: 2009-5-17 00:53
考虑腹疝可能。
作者: pujunzhi    时间: 2009-5-17 17:57
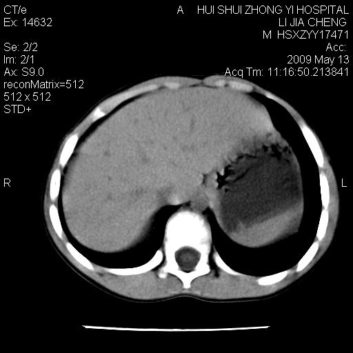
是小肠,壁稍厚可能是肠腔未很好充盈所致,腹部ct扫描未见明显异常。
作者: 杀毒软件    时间: 2009-5-19 03:50
充盈肠管再看




欢迎光临 医影在线 (http://bbs.radida.com/bbs/) Powered by Discuz! X3.2