医影在线
标题: CT19926:右胫骨上段高密度病变 [打印本页]
作者: zbp537 时间: 2009-5-14 02:09
标题: CT19926:右胫骨上段高密度病变
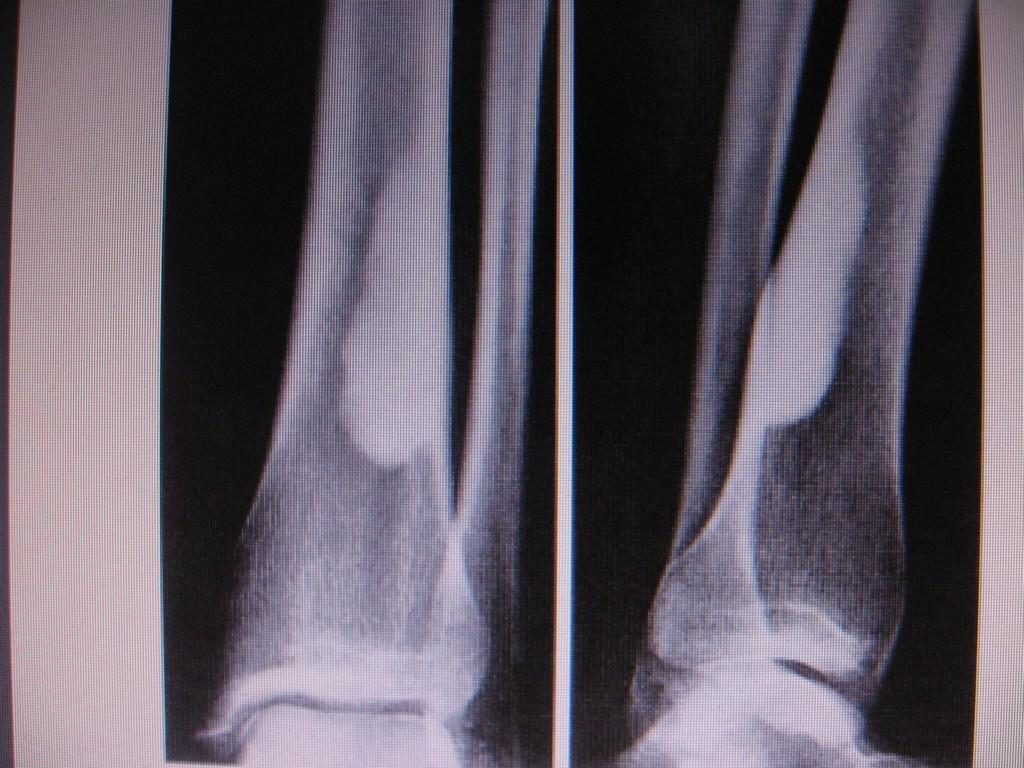
男性,47岁,在一次外伤摄片中发现右胫骨上段条状高密度影,ct横断面上发现条状高密度影(钙化及骨化密度)位于胫骨皮质下,和皮质紧密相连,我考虑纤维性骨皮质缺损钙化可能性大,大家认为呢?大家注意看定位片,高密度病灶是很长的,横断面我只是选取了其中的几个层面。




[本贴已被 jiajie 于 2009-5-13 18:52:03 修改过]
[本贴已被 zbp537 于 2009-5-14 20:19:27 修改过]
作者: zxl51642 时间: 2009-5-14 02:26
骨内骨瘤。(骨岛)
作者: bmw011 时间: 2009-5-14 02:27
骨内骨瘤。(骨岛)
支持。
作者: 余辉 时间: 2009-5-14 02:37
支持骨岛
作者: 韦伟 时间: 2009-5-14 02:44
骨内骨瘤。(骨岛)
支持。
作者: 影像之路 时间: 2009-5-14 03:03
骨内骨瘤(骨岛)
作者: 卜一 时间: 2009-5-14 03:24
骨内骨瘤。(骨岛)
支持!!!
作者: songyi 时间: 2009-5-14 03:33
骨内骨瘤。(骨岛)
支持。
作者: ml2007 时间: 2009-5-14 03:37
学习了!
作者: 不学无术 时间: 2009-5-14 03:42
骨内骨瘤。(骨岛)
支持。
作者: zbp537 时间: 2009-5-14 03:44
网上收集到的资料:也就是说纤维性骨皮质缺损表面并不一定都无骨壳,有的是可以有骨壳的,为什么本例不能诊断为纤维性骨皮质缺损钙化呢?
早期:ct表现12个病灶为皮质内囊状或不规则无膨胀骨质破坏区,外侧骨壳完整或缺损
晚期:大多数纤维骨皮质缺损都会自行愈合,第三阶段,开始出现愈合过程,表现密度增高。病变在骨干一端开始向生长板一端进展,除发生病理性骨折,一般无骨膜反应增生。第四阶段,缺损区逐渐缩小并出现明显边缘硬化,最后由密实的骨质充填
作者: suifeng2009 时间: 2009-5-14 03:44
骨内骨瘤(骨岛)
作者: zbp537 时间: 2009-5-14 03:48
网上收集到的资料:也就是说纤维性骨皮质缺损表面并不一定都无骨壳,有的是可以有骨壳的,为什么本例不能诊断为纤维性骨皮质缺损钙化呢?
早期:ct表现12个病灶为皮质内囊状或不规则无膨胀骨质破坏区,外侧骨壳完整或缺损
晚期:大多数纤维骨皮质缺损都会自行愈合,第三阶段,开始出现愈合过程,表现密度增高。病变在骨干一端开始向生长板一端进展,除发生病理性骨折,一般无骨膜反应增生。第四阶段,缺损区逐渐缩小并出现明显边缘硬化,最后由密实的骨质充填
作者: zbp537 时间: 2009-5-14 04:08
标题: 回复:ct19926:右胫骨上段高密度病变
这是一例经病理证实的纤维性骨皮质缺损钙化病例。
作者: 黄毛小子 时间: 2009-5-14 04:14
骨岛
作者: 深泽交通 时间: 2009-5-14 05:02
标题: 回复:ct19926:右胫骨上段高密度病变
以下是引用不学无术在2009-5-13 19:42:00的发言:[br][br] 骨内骨瘤。(骨岛)[br]支持。 [br]
作者: 37度 时间: 2009-5-14 05:17
骨岛。
作者: xizhong 时间: 2009-5-14 05:23
支持
作者: 流星1234 时间: 2009-5-14 05:48
支持
作者: ○┢┦aΡ 时间: 2009-5-14 06:02
学习了 ~
作者: dyqct 时间: 2009-5-14 06:15
支持骨岛。
作者: 黑白光影 时间: 2009-5-14 06:16
学习了。
作者: sxz2001 时间: 2009-5-14 06:18
内生型骨瘤(骨岛)
作者: 宇宙CT 时间: 2009-5-14 06:28
骨内骨瘤。(骨岛)
支持!!!
作者: ct诊断高手 时间: 2009-5-14 07:37
骨内骨瘤(骨岛)
作者: 吴承学 时间: 2009-5-14 14:26
标题: 回复:ct19926:右胫骨上段高密度病变
以下是引用卜一在2009-5-13 19:24:00的发言:[br]骨内骨瘤。(骨岛)[br]支持!!!
骨内骨瘤。(骨岛
作者: 随光逐影 时间: 2009-5-14 15:28
支持 骨岛。
作者: zhengfaming 时间: 2009-5-14 15:50
骨岛
作者: aka502 时间: 2009-5-14 16:15
支持骨岛。
作者: jiangjing 时间: 2009-5-14 17:46
骨内骨瘤。(骨岛)
支持。
作者: 晓杰 时间: 2009-5-14 17:58
骨内骨瘤。(骨岛)
支持。
作者: 边生丽 时间: 2009-5-14 18:18
骨内骨瘤。(骨岛)
支持
作者: zsl6918 时间: 2009-5-14 18:47
考虑骨岛可能性大
作者: pujunzhi 时间: 2009-5-14 21:48
支持骨岛。
作者: scw007 时间: 2009-5-14 23:33
骨岛,
作者: zbp537 时间: 2009-5-15 04:19
大家注意看定位片,高密度病灶是很长的,横断面我只是选取了其中的几个层面。
作者: gule 时间: 2009-5-15 04:26
骨岛。
作者: chinanyd 时间: 2009-5-15 04:54
骨岛
作者: 513ytb 时间: 2009-6-29 01:54
骨岛。
欢迎光临 医影在线 (http://bbs.radida.com/bbs/) |
Powered by Discuz! X3.2 |