医影在线

标题: PED1888:男,4个月大,2个月前无诱因下四肢抽搐、伴呕吐, [打印本页]

作者: xuchzh_8807    时间: 2009-5-15 04:26
标题: PED1888:男,4个月大,2个月前无诱因下四肢抽搐、伴呕吐,
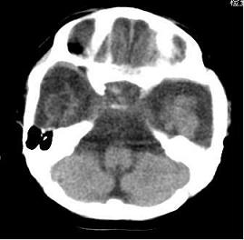
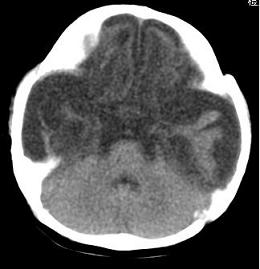
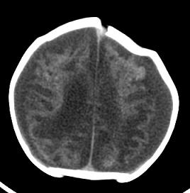
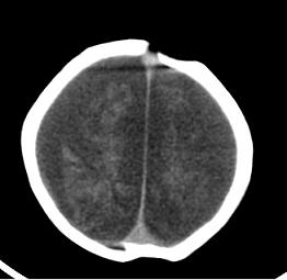
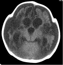
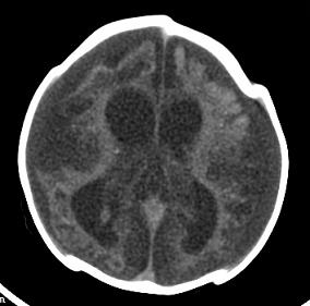
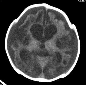
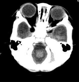
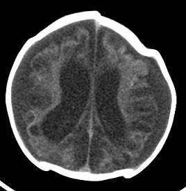
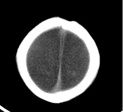
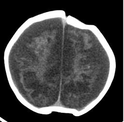
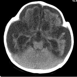
男,4个月大,2个月前无诱因下四肢抽搐、伴呕吐,近2天来抽搐频发,伴发热。查体:双眼疑视,神萎、纳差;颈抵抗,四肢张力高。














[本贴已被 余辉 于 2009-5-14 20:54:43 修改过]

作者: 余辉    时间: 2009-5-15 05:05
脑瘫.
病史太长了,原因不好定,不过如果2个月前小儿正常的话可考虑积水型无脑畸形,积水型无脑畸形小儿刚生下来表现可正常,存活一两个月后出现症状.
另不除外缺血缺氧性脑病,感染等改变
作者: bmw011    时间: 2009-5-15 19:16
2个月前缺血缺氧性脑病留下的后遗症。
作者: fyanj168    时间: 2009-5-16 05:20
脑出血后,软化灶形成了。脑发育不良
作者: dyqct    时间: 2009-5-16 18:28
支持缺血缺氧性脑病留下的后遗改变(脑软化灶+脑发育不全+双侧慢性硬膜下积液+小头畸形)。
作者: LIAOQIANG    时间: 2009-5-17 00:50
支持考虑缺血缺氧性脑病留下的后遗改变。
作者: 随光逐影    时间: 2009-5-17 04:43
标题: 回复:ped1888:男,4个月大,2个月前无诱因下四肢抽搐、伴
以下是引用dyqct在2009-5-16 10:28:00的发言:[br]支持缺血缺氧性脑病留下的后遗改变(脑软化灶+脑发育不全+双侧慢性硬膜下积液+小头畸形)。

作者: pujunzhi    时间: 2009-5-17 08:33
要注意化脓性脑膜、脑炎,硬膜下积脓,脑积水的可能,建议腰穿助诊。
作者: 杀毒软件    时间: 2009-5-19 03:49
标题: 回复:ped1888:男,4个月大,2个月前无诱因下四肢抽搐、伴
以下是引用dyqct在2009-5-16 10:28:00的发言:[br]支持缺血缺氧性脑病留下的后遗改变(脑软化灶+脑发育不全+双侧慢性硬膜下积液+小头畸形)。

支持
作者: songyi    时间: 2009-5-19 20:43
支持考虑缺血缺氧性脑病留下的后遗改变。




欢迎光临 医影在线 (http://bbs.radida.com/bbs/) Powered by Discuz! X3.2