医影在线

标题: PED1889:上颌窦病变 [打印本页]

作者: arven    时间: 2009-5-15 06:41
标题: PED1889:上颌窦病变
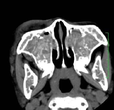
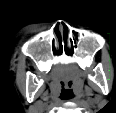
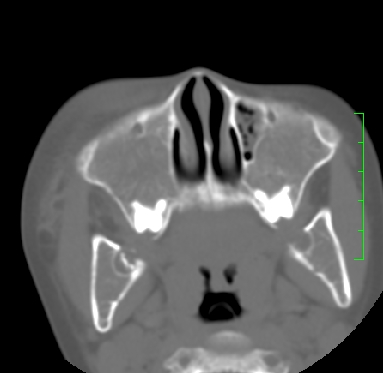
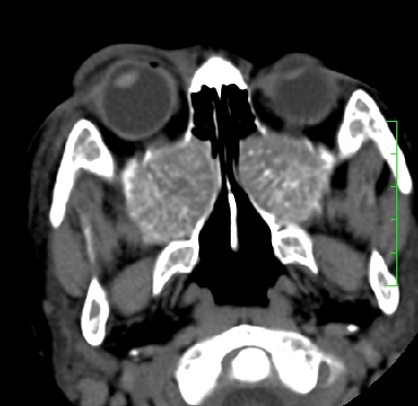
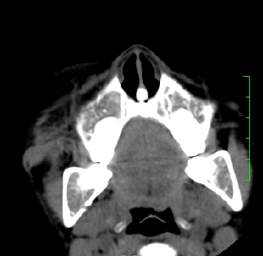
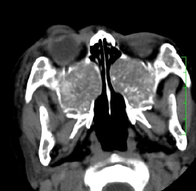
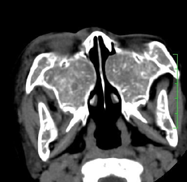
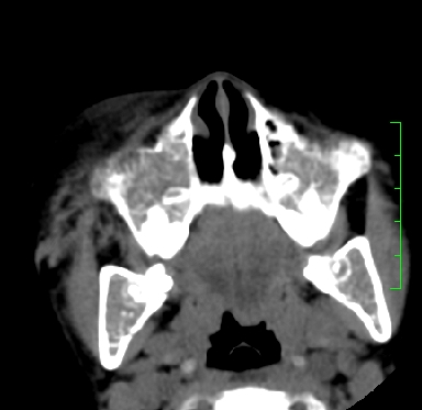
m,10y,外伤做ct

















[本贴已被 翁志蓬 于 2009-5-15 0:11:09 修改过]

作者: 漫步遐思    时间: 2009-5-15 06:47
骨纤?
作者: qiuleiyu    时间: 2009-5-15 07:00
支持;骨纤,有皮肤色素沉着,性早熟时为albright综合征。
作者: bmw011    时间: 2009-5-15 07:07
支持;骨纤,有皮肤色素沉着,性早熟时为albright综合征。
作者: 光线    时间: 2009-5-15 07:11
支持以上意见。
作者: 余辉    时间: 2009-5-15 19:36
支持以上意见
作者: 联众之王    时间: 2009-5-16 04:28
霉菌性鼻窦炎
作者: 22222222    时间: 2009-5-16 04:31
支持以上意见
作者: 黑白光影    时间: 2009-5-16 17:07
学习。
作者: dyqct    时间: 2009-5-16 18:30
霉菌性鼻窦炎。支持!
作者: xly    时间: 2009-5-16 19:24
骨化性纤维瘤可能性大。(与骨纤的鉴别:常见于面颅骨,多骨发病)
作者: LIAOQIANG    时间: 2009-5-17 00:49
考虑骨纤。
作者: 随光逐影    时间: 2009-5-17 04:41
支持 骨纤;有皮肤色素沉着,性早熟时为albright综合征。
作者: pujunzhi    时间: 2009-5-17 08:15
支持骨纤。
作者: 杀毒软件    时间: 2009-5-19 03:48
支持;骨纤
作者: songyi    时间: 2009-5-19 20:45
霉菌性鼻窦炎。支持!




欢迎光临 医影在线 (http://bbs.radida.com/bbs/) Powered by Discuz! X3.2