医影在线

标题: CT19966:男性,六十岁,有高血压及鼻咽癌病史,头晕,呕吐 [打印本页]

作者: cym1979    时间: 2009-5-16 18:33
标题: CT19966:男性,六十岁,有高血压及鼻咽癌病史,头晕,呕吐






[本贴已被 jiajie 于 2009-5-16 18:24:44 修改过]

作者: xiaoniu    时间: 2009-5-16 18:49
从密度上看像是转移,从没有水肿上看像是出血!因此转移出血均有可能!但是我倾向于:转移!
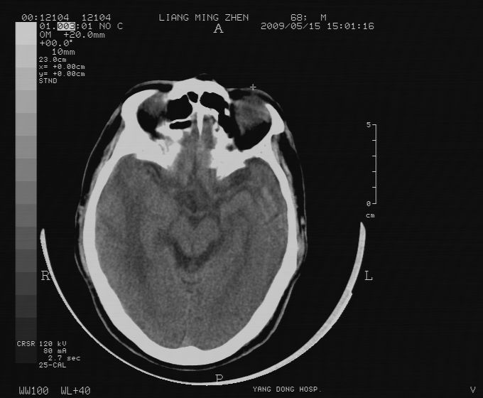
作者: zbp537    时间: 2009-5-16 18:52
双侧颞叶均见一高密度结节影,周围有水肿。结合病史,考虑转移瘤并出血可能性大。
作者: 深泽交通    时间: 2009-5-16 19:03
标题: 回复:男性,六十岁,有高血压及鼻咽癌病史,头晕,呕吐
以下是引用zbp537在2009-5-16 10:52:00的发言:[br]双侧颞叶均见一高密度结节影,周围有水肿。结合病史,考虑转移瘤并出血可能性大。

作者: qingjing    时间: 2009-5-16 19:18
这个病例很好 右颞部可见类圆形稍高密度影,边界还是很清楚,结合病史还是考虑转移可能并出血;
这个图像最好还是劈薄看,有条件mr
作者: jiangguowu    时间: 2009-5-16 19:38
结节+很大的水肿+病史=转移
作者: zjzjr    时间: 2009-5-16 20:24
支持右侧颞极转移瘤
作者: shuhangyong    时间: 2009-5-16 20:44
应该支持转移并出血
作者: LIAOQIANG    时间: 2009-5-16 21:29
结合病史考虑转移。
作者: ct诊断高手    时间: 2009-5-16 21:36
支持大家
作者: panyishengct    时间: 2009-5-16 21:53
考虑放射性脑病,合并出血可能
作者: 影像孺子牛    时间: 2009-5-17 00:02
支持转移并出血。
作者: zjb    时间: 2009-5-17 00:44
支持右侧颞极转移瘤
作者: heroin29    时间: 2009-5-17 00:48
这个病例很好 右颞部可见类圆形稍高密度影,边界还是很清楚,结合病史还是考虑转移可能并出血;
作者: 黄毛小子    时间: 2009-5-17 04:26
支持转移
作者: 随光逐影    时间: 2009-5-17 04:49
结合病史,考虑右侧颞叶脑转移瘤。
作者: 黑白光影    时间: 2009-5-17 06:04
结合病史考虑转移。
作者: panyishengct    时间: 2009-5-17 06:41
鼻咽癌颅内转移瘤还没见过,直接侵犯除外,哪位兄弟有病例请借来学习一下.谢谢
作者: 自贡刘剑    时间: 2009-5-17 16:44
有水肿,考虑转移。
作者: pujunzhi    时间: 2009-5-17 17:14
可考虑右颞叶区脑出血、瘤体出血、脑膜瘤等,建议增强扫描或mri检查助诊。
作者: 987654zwf    时间: 2009-5-17 18:40
结合病史考虑转移。
作者: 513YTB    时间: 2009-6-21 03:06
双侧颞叶均见一高密度结节影,周围有水肿。结合病史,考虑转移瘤并出血可能性大。




欢迎光临 医影在线 (http://bbs.radida.com/bbs/) Powered by Discuz! X3.2