医影在线

标题: CT1795:也是颈部包块,请大家讨论 [打印本页]

作者: 杨帆    时间: 2005-9-10 04:45
标题: CT1795:也是颈部包块,请大家讨论
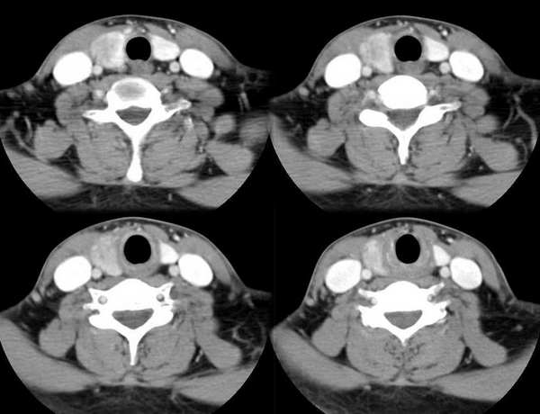
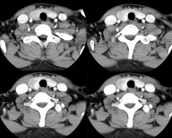
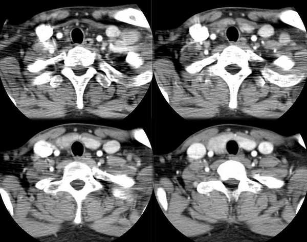
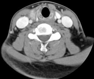
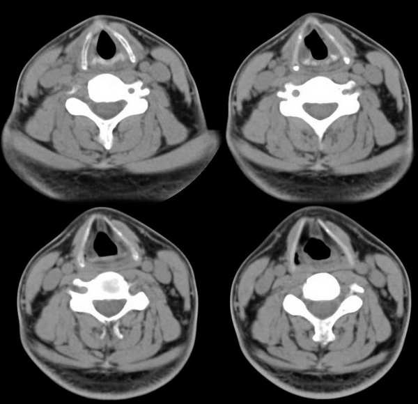
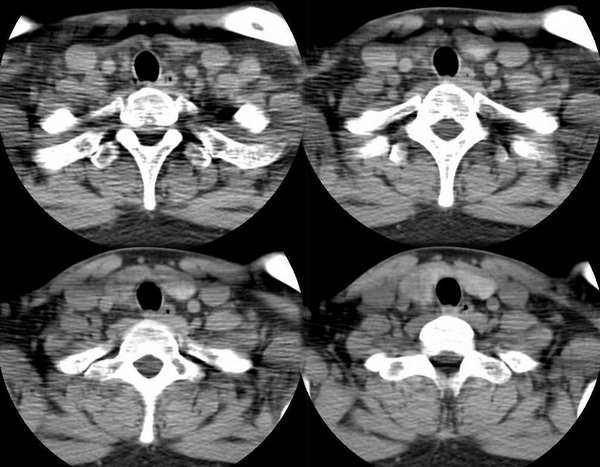
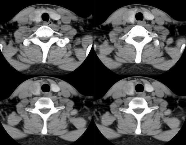
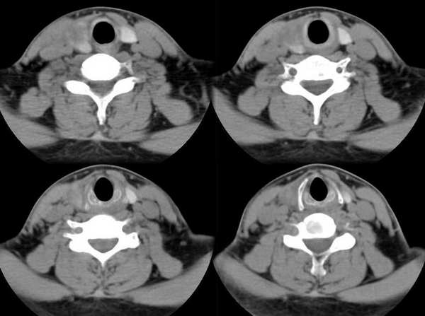
男,25岁,体温39.3度,发现右侧颈部包块.










[本贴已被 jiajie 于 2005-9-10 6:29:06 修改过]

作者: hekang1983    时间: 2005-9-10 05:19
[emb7]
作者: zxd95    时间: 2005-9-10 05:43
右侧甲状腺内边界不甚清楚之占位,增强强化不很明显,无钙化。考虑腺瘤,建议活检,除外ca。
作者: asdczj    时间: 2005-9-10 05:49
从片子上看考虑腺瘤可能性大,此病内有发热,急性炎症有除外。
作者: 影象王    时间: 2005-9-10 06:02
考虑右侧甲状腺腺瘤.
作者: liu.hui.yang    时间: 2005-9-10 06:11
[emb6]5楼
作者: wxy7406    时间: 2005-9-10 06:41
会不会是甲状腺脓肿
作者: 影像之王    时间: 2005-9-10 06:54
肿块还是有强化的,会不会是甲状腺癌呢?但是体温39.3度不好解释,等待高手发言
作者: cxg966504    时间: 2005-9-10 07:12
支持脓肿!!!
作者: trh9199    时间: 2005-9-10 16:49
左侧甲状腺肿大,增强时较对侧密度低。考滤炎症可能性为大。这种病灶要用影象检查时还算彩超较ct为好
作者: xiaoxiaohxy    时间: 2005-9-10 16:54
考虑右甲状腺腺瘤可能大.
作者: duguo    时间: 2005-9-10 17:15
考虑右侧甲状腺腺瘤。
作者: 东北    时间: 2005-9-10 19:01
[emb6]腺瘤
作者: 不解    时间: 2005-9-10 20:58
甲状腺炎
作者: cefcmj    时间: 2005-9-10 22:44
右侧甲状腺内边界不甚清楚之占位,增强后呈轻度强化。
1.考滤炎性病变可能性大;2.不除外ca。
作者: 杨帆    时间: 2005-9-11 00:32
临床怀疑甲状腺炎
作者: gbj8004    时间: 2005-9-11 02:16
左侧甲状腺腺瘤的可能性大
作者: only    时间: 2005-9-11 03:00
平扫和增强病灶境界欠清、形状不规则,考虑甲状腺癌可能。
作者: zwei    时间: 2005-9-11 03:43
右侧甲状腺炎
作者: xylgm0813    时间: 2005-9-11 05:18
此病例特点:1、年轻男性,基本上是高热;2、右侧甲状腺肿大呈边界不清之低密度,但甲状腺境界清晰;3、基本没有增强但低密度的周边略呈边缘增强反应;4、最好补充病史:痛否?时间?(如痛、急性起病。)
据此,以甲状腺急性炎症可能性大。
作者: shibing    时间: 2015-5-24 17:04
甲状腺脓肿




欢迎光临 医影在线 (http://bbs.radida.com/bbs/) Powered by Discuz! X3.2