医影在线

标题: X5782:已诊断的几例尘肺(病灶几种形态) [打印本页]

作者: hjg1980    时间: 2009-5-18 05:01
标题: X5782:已诊断的几例尘肺(病灶几种形态)
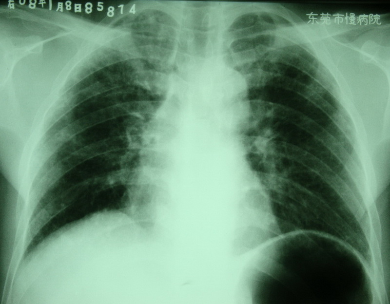
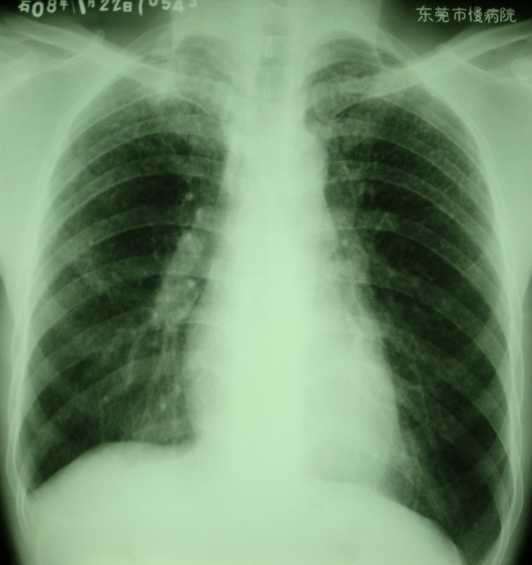
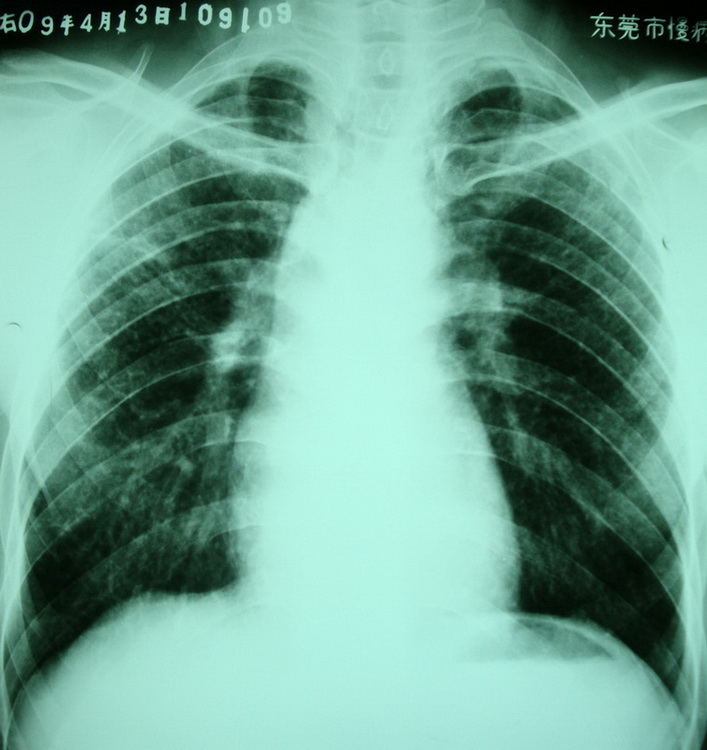
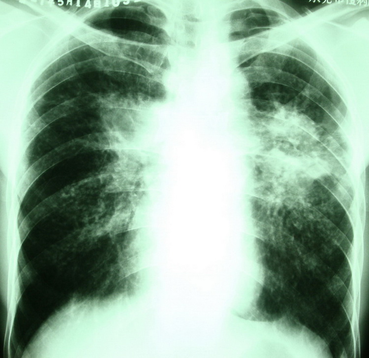
按顺序依次是:(都有粉尘职业史)
卢某,男,37岁,i+尘肺,右上肺tb?

曾某,男,39岁,ii+尘肺,合并肺tb?

何某,男,34岁,i尘肺,右上肺结核?

周某,男,40岁,i尘肺。

朱某,男,41岁,iii尘肺。


http://www.radida.com/bbs/forum.php?mod=viewthread&tid=53324
(本例是前几天上传的,很特别,是可疑病例,到时候有结果再献上)
http://www.radida.com/bbs/forum.php?mod=viewthread&tid=37760
(这里有标准尘肺片供参考对照)


[本贴已被 cefcmj 于 2009-5-17 21:34:48 修改过]

作者: dyqct    时间: 2009-5-18 05:49
学习了。
作者: 黑白光影    时间: 2009-5-18 05:50
学习了。
作者: bmw011    时间: 2009-5-18 05:52
学习了。
作者: zhanggenliang    时间: 2009-5-18 05:53
不错。学习了
作者: 随光逐影    时间: 2009-5-18 15:22
感谢楼主提供学习资料。
作者: jinguoji    时间: 2009-5-18 17:07
学习了。
作者: 余辉    时间: 2009-5-18 17:36
学习了
作者: 医盲    时间: 2009-5-18 18:19
学习了!
作者: 592438394    时间: 2009-5-18 21:01
学习了。  
   

bmw011说

  
来自小地方,见过大世面。疑难病例不多,见识少。学习学习。。。。。再学习!

影像qq交流高级群:85618739 欢迎加入 谢谢

本贴发表时间:2009-5-17 21:52
作者: songyi    时间: 2009-5-18 22:37
感谢楼主提供学习资料
作者: 自贡刘剑    时间: 2009-5-19 02:43
老片子,花。
作者: abecedarian    时间: 2009-5-19 02:45
收藏学习了
作者: 杀毒软件    时间: 2009-5-19 03:36
学习了
作者: hexue    时间: 2009-5-19 03:37
感谢楼主提供学习资料。
作者: niezhenxiong    时间: 2009-5-19 03:39
学习了哦·
作者: hjg1980    时间: 2009-5-19 04:51
标题: 回复:x5782:已诊断的几例尘肺(病灶几种形态)
是我照得不好。这些胸片都是08及09年的,上面还打有日期
作者: 飞翔十里    时间: 2009-5-19 05:07
学习了
作者: dr.yang    时间: 2009-5-19 09:03
学习了。
作者: 513YTB    时间: 2009-6-27 08:40
尘肺.
作者: shibing    时间: 2014-7-26 08:37
感谢楼主提供学习资料。




欢迎光临 医影在线 (http://bbs.radida.com/bbs/) Powered by Discuz! X3.2