医影在线

标题: X5783咳嗽咳痰3-4天 [打印本页]

作者: 黑白光影    时间: 2009-5-18 05:59
标题: X5783咳嗽咳痰3-4天
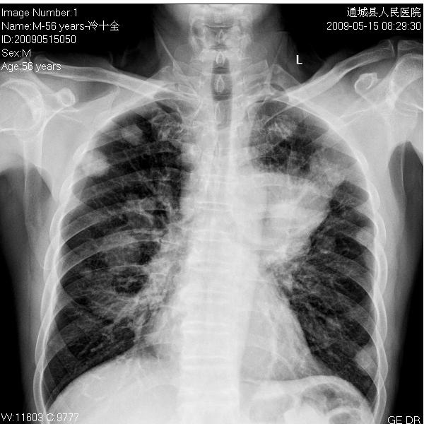
男性 56岁  咳嗽咳痰3-4天

作者: bmw011    时间: 2009-5-18 06:02
多发转移瘤。查一下原发灶。
作者: 黑白光影    时间: 2009-5-18 06:21
ct检查在:
http://www.radida.com/radinet/read.php?tid=53443
作者: baogan    时间: 2009-5-18 07:21
肺转移瘤
作者: 随光逐影    时间: 2009-5-18 15:25
考虑左上肺中央型肺癌伴两肺转移。
作者: jinguoji    时间: 2009-5-18 17:03
左肺上叶中央型肺癌双肺转移。
作者: 医盲    时间: 2009-5-18 18:11
典型----左上肺中央型肺癌伴节段性不张,两肺多发性转移。
作者: zxl51642    时间: 2009-5-18 19:59
左上肺中央型肺癌伴节段性不张,两肺内多发性转移灶。
作者: 592438394    时间: 2009-5-18 20:58
典型----左上肺中央型肺癌伴节段性不张,两肺多发性转移。  
   

医盲说

  


本贴发表时间:2009-5-18 10:11:00
作者: wangzhengyuan    时间: 2009-5-18 22:14
考虑左上肺中央型肺癌伴两肺转移。
作者: songyi    时间: 2009-5-18 22:39
左上肺中央型肺癌伴两肺转移。
作者: 可爱的虫    时间: 2009-5-19 00:59
左上肺中央型肺癌伴节段性不张,两肺多发性转移。
作者: 江广1996    时间: 2009-5-19 02:31
考虑左上肺中央型肺癌伴两肺转移。典型。
作者: 杀毒软件    时间: 2009-5-19 03:37
标题: 回复:x5783咳嗽咳痰3-4天
以下是引用随光逐影在2009-5-18 7:25:00的发言:[br]考虑左上肺中央型肺癌伴两肺转移。

支持
作者: ct诊断高手    时间: 2009-5-19 04:16
左肺上叶中央型肺癌双肺转移。
作者: hexue    时间: 2009-5-19 04:30
考虑左上肺中央型肺癌伴两肺转移。
作者: zhanggenliang    时间: 2009-5-19 04:39
左肺中央型肺癌伴双肺转移
作者: 自贡刘剑    时间: 2009-5-19 04:59
左肺门区肿块较大,没有直接征象证明是中央型肺癌,谁能排除是周围型的呢?又没有照侧位。肺转移癌是比较确切的,原发灶就不能不好说了。
作者: 王仕学    时间: 2009-5-19 05:10
考虑左上肺中央型肺癌伴两肺转移。
作者: 奥特之父    时间: 2009-5-19 05:21
左侧中央型肺癌并双肺、肺门气管旁淋巴结转移.
作者: dyqct    时间: 2009-5-19 05:34
考虑左上肺中央型肺癌伴两肺血型转移。
作者: 987654zwf    时间: 2009-5-19 05:51
考虑左上肺中央型肺癌伴两肺转移
作者: 小翟    时间: 2009-5-19 06:36
肋骨转移
作者: dr.yang    时间: 2009-5-19 09:01
考虑左上肺中央型肺癌伴两肺转移。
作者: 钟楼    时间: 2009-5-19 18:02
支持
作者: 513YTB    时间: 2009-6-27 08:43
考虑左上肺中央型肺癌伴两肺转移。
作者: shibing    时间: 2014-7-26 08:36
多发转移瘤




欢迎光临 医影在线 (http://bbs.radida.com/bbs/) Powered by Discuz! X3.2