













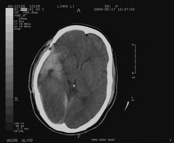
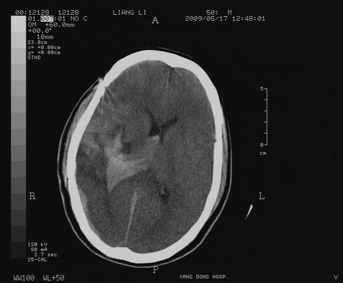
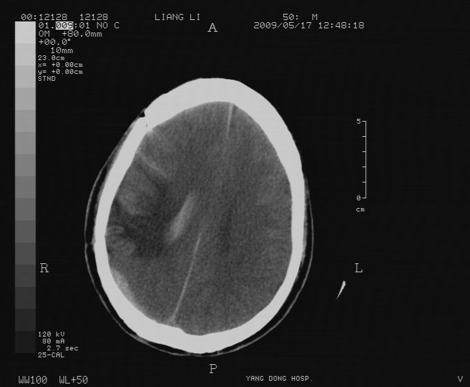
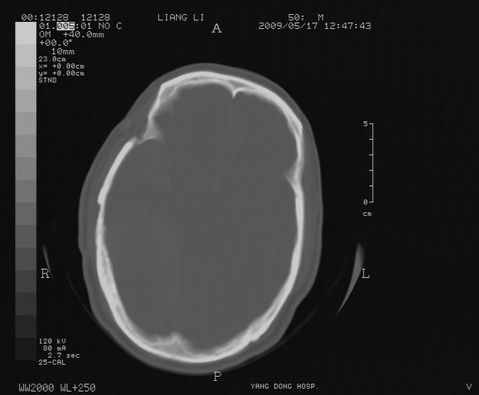
以下是引用zjzjr在2009-5-18 11:26:00的发言:[br]右颞枕叶及基底节区脑出血破入脑室系统,蛛网膜下腔出血,右枕顶部硬膜下血肿.颅骨及颅内低密度软化灶为血肿清除术后改变.
以下是引用zjzjr在2009-5-18 11:26:00的发言:[br]右颞枕叶及基底节区脑出血破入脑室系统,蛛网膜下腔出血,右枕顶部硬膜下血肿.颅骨及颅内低密度软化灶为血肿清除术后改变.
以下是引用zjzjr在2009-5-18 11:26:00的发言:[br]右颞枕叶及基底节区脑出血破入脑室系统,蛛网膜下腔出血,右枕顶部硬膜下血肿.颅骨及颅内低密度软化灶为血肿清除术后改变.
以下是引用zjzjr在2009-5-18 11:26:00的发言:[br]右颞枕叶及基底节区脑出血破入脑室系统,蛛网膜下腔出血,右枕顶部硬膜下血肿.颅骨及颅内低密度软化灶为血肿清除术后改变.
以下是引用随光逐影在2009-5-18 14:47:00的发言:[br]支持 右颞枕叶及基底节区脑出血破入脑室系统;蛛网膜下腔出血;右枕顶部及右侧天幕硬膜下血肿。右侧颅骨术后改变;颅内低密度软化灶为血肿清除术后改变。
| 欢迎光临 医影在线 (http://bbs.radida.com/bbs/) | Powered by Discuz! X3.2 |