医影在线

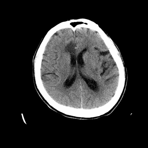
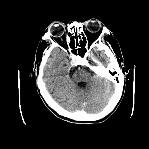
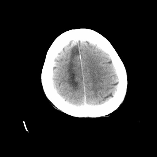
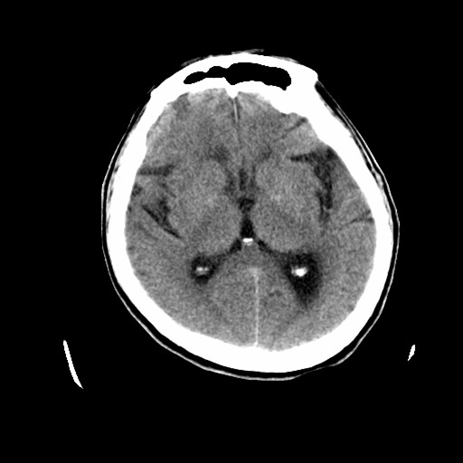
标题: CT19998:男,68岁,突然偏瘫一天 [打印本页]

作者: lrj    时间: 2009-5-18 18:54
标题: CT19998:男,68岁,突然偏瘫一天














[本贴已被 jiajie 于 2009-5-18 12:38:13 修改过]

作者: 余辉    时间: 2009-5-18 19:02
右侧额叶梗塞
作者: zjzjr    时间: 2009-5-18 19:15
1天梗塞密度也太低点了吧,不除外占位性病变,建议增强.
作者: 深泽交通    时间: 2009-5-18 19:29
考虑占位,1级胶质瘤?
作者: bmw011    时间: 2009-5-18 20:43
考虑占位,1级胶质瘤?
作者: songyi    时间: 2009-5-18 22:23
考虑胶质瘤可能性大
作者: DXM    时间: 2009-5-18 22:30
分水岭区梗塞
作者: 水蓝色的    时间: 2009-5-18 22:46
多考虑占位,右侧脑室前角受压。
作者: 随光逐影    时间: 2009-5-18 23:15
考虑右侧额顶叶脑梗塞。
作者: 黑白光影    时间: 2009-5-19 00:36
考虑右侧额顶叶脑梗塞。
作者: zsl6918    时间: 2009-5-19 00:48
支持梗塞表现
作者: chinanyd    时间: 2009-5-19 01:41
脑梗赛
作者: abecedarian    时间: 2009-5-19 01:53
好像只能以梗死来解释。
作者: pujunzhi    时间: 2009-5-19 07:07
考虑右侧额顶叶脑梗塞。
作者: 杀毒软件    时间: 2009-5-20 02:11
标题: 回复:ct19998:男,68岁,突然偏瘫一天
以下是引用随光逐影在2009-5-18 15:15:00的发言:[br]考虑右侧额顶叶脑梗塞。

支持
作者: 513YTB    时间: 2009-6-21 03:13
右侧额叶梗塞




欢迎光临 医影在线 (http://bbs.radida.com/bbs/) Powered by Discuz! X3.2