医影在线

标题: CT20033:上腹部CT平扫 [打印本页]

作者: 同    时间: 2009-5-19 19:35
标题: CT20033:上腹部CT平扫
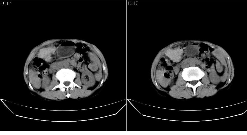
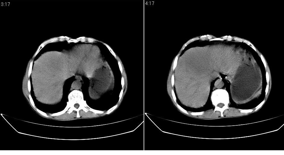
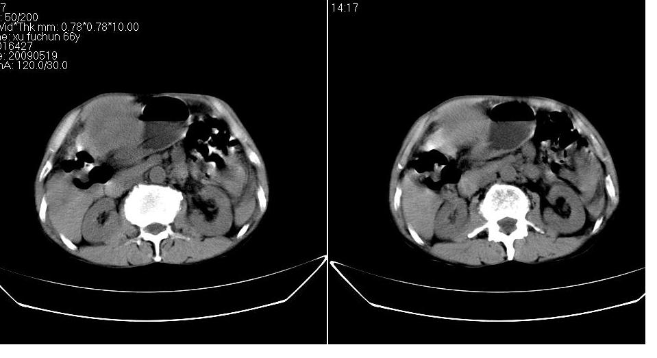
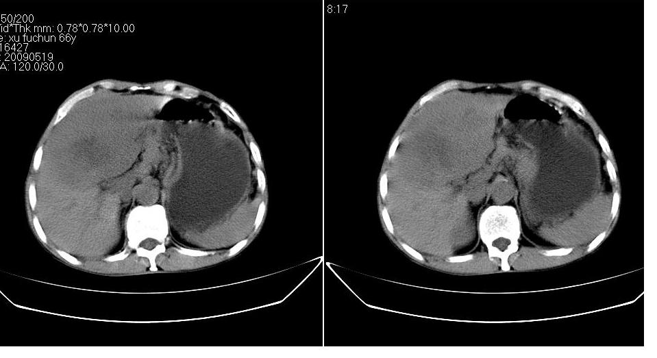
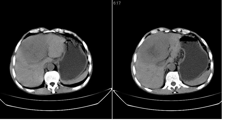
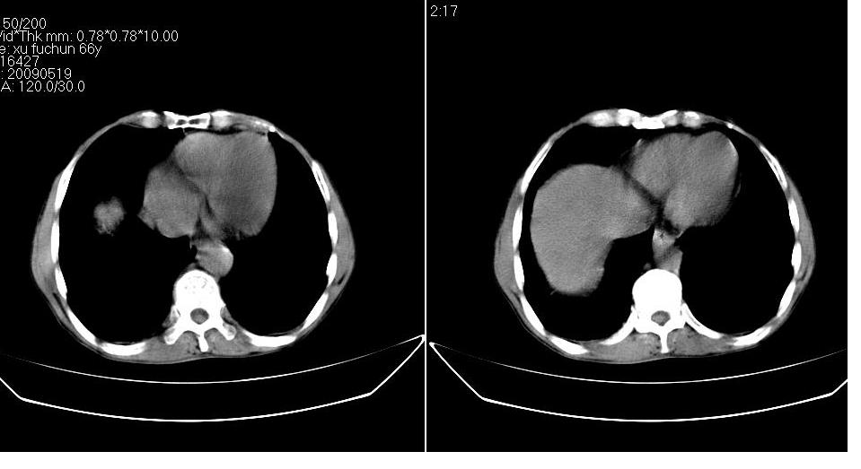
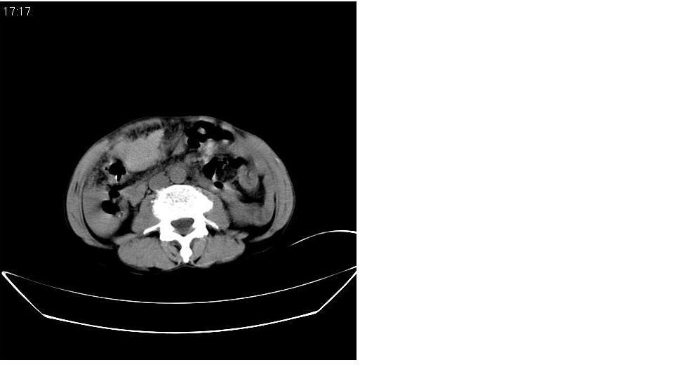
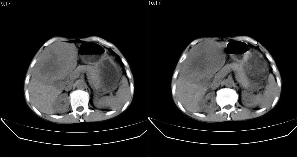
男 66岁,腹疼,b超提示考虑肝癌。










[本贴已被 jiajie 于 2009-5-19 19:52:13 修改过]

作者: zxl51642    时间: 2009-5-19 19:58
增强扫描后再说吧!
作者: ct诊断高手    时间: 2009-5-19 20:01
肝癌可能性大
作者: bmw011    时间: 2009-5-19 20:04
考虑巨块型型肝癌坏死、出血。建议增强。
作者: 随光逐影    时间: 2009-5-19 20:14
考虑巨块型肝癌可能性大;建议行进一步检查。
作者: 余辉    时间: 2009-5-19 20:36
支持考虑肝癌
作者: 影象小泰斗    时间: 2009-5-19 21:31
考虑巨块型肝癌可能性大
作者: jiahui7z    时间: 2009-5-19 21:46
支持楼上
作者: zjzjr    时间: 2009-5-19 22:54
考虑巨块型肝癌可能性大;建议行进一步检查。
作者: LIAOQIANG    时间: 2009-5-19 23:16
考虑巨块型型肝癌,建议行进一步检查,如增强、afp检查。
作者: 影像孺子牛    时间: 2009-5-19 23:31
考虑肝左叶巨块型肝癌可能性大;建议行增强ct扫描。
作者: heroin29    时间: 2009-5-19 23:38
!!!
作者: xhdf5690302    时间: 2009-5-19 23:38
巨块型肝ca,建议进一步检查确诊。
作者: muzi888    时间: 2009-5-19 23:58
考虑巨块型肝癌可能性大;建议行进一步检查。
作者: wangenli1978    时间: 2009-5-20 00:15
标题: 回复:上腹部ct平扫
肝癌并门脉癌栓形成。
作者: 深泽交通    时间: 2009-5-20 00:16
标题: 回复:上腹部ct平扫
以下是引用ct诊断高手在2009-5-19 12:01:00的发言:[br]肝癌可能性大

作者: 杀毒软件    时间: 2009-5-20 01:52
支持大家
作者: 黑白光影    时间: 2009-5-20 06:00
支持大家。
作者: zsl6918    时间: 2009-5-20 15:49
可以考虑,强化明确.
作者: 微风佛面    时间: 2009-5-20 19:08
没完善检查手段,增强后再说,就算你有一万个理由说是肝癌,证据何在?
呼吁从事ct诊断的同志们,腹部占位,特别是肝脏病变没有平扫和三期增强检查,我们底气不足,拿什么来让临床医师信服我们。




欢迎光临 医影在线 (http://bbs.radida.com/bbs/) Powered by Discuz! X3.2