医影在线

标题: CT20038:男,32岁,多年前右上肺结核,近期胸部不适,纵隔 [打印本页]

作者: lrj    时间: 2009-5-19 23:44
标题: CT20038:男,32岁,多年前右上肺结核,近期胸部不适,纵隔
ct2003:
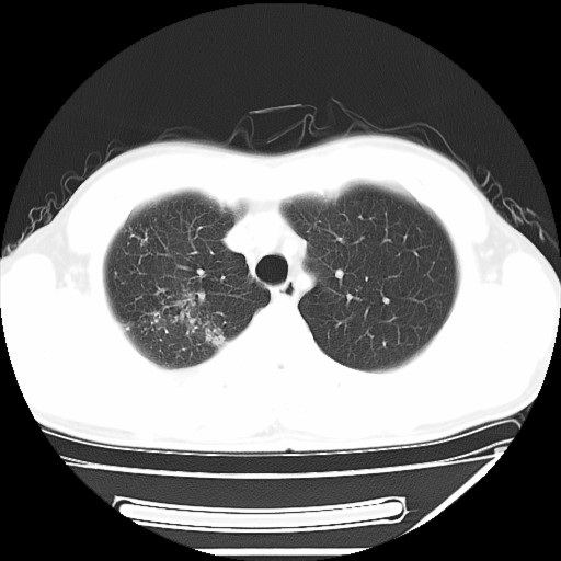
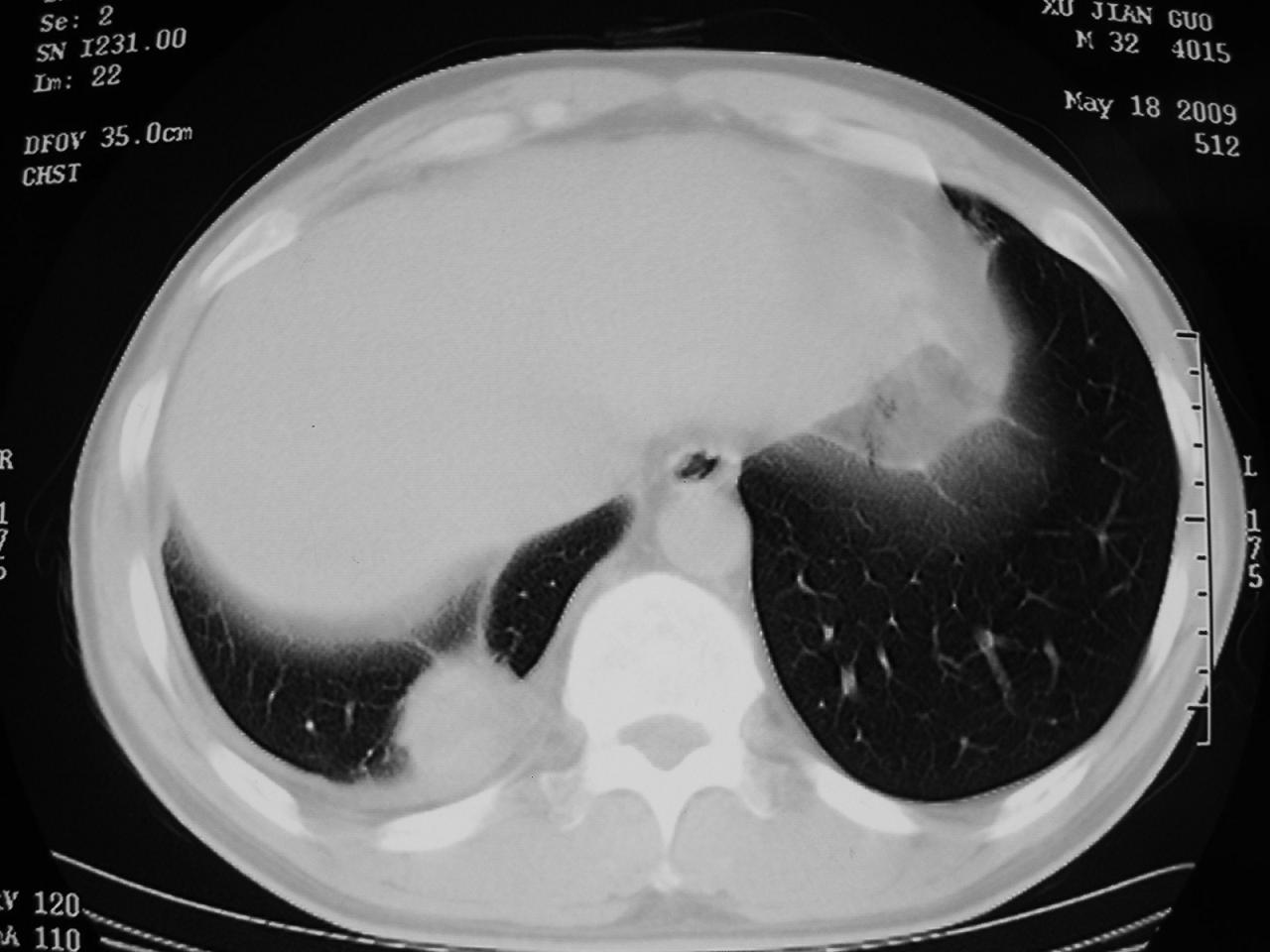
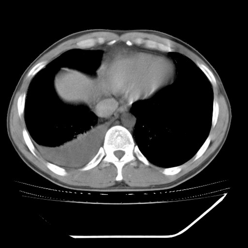
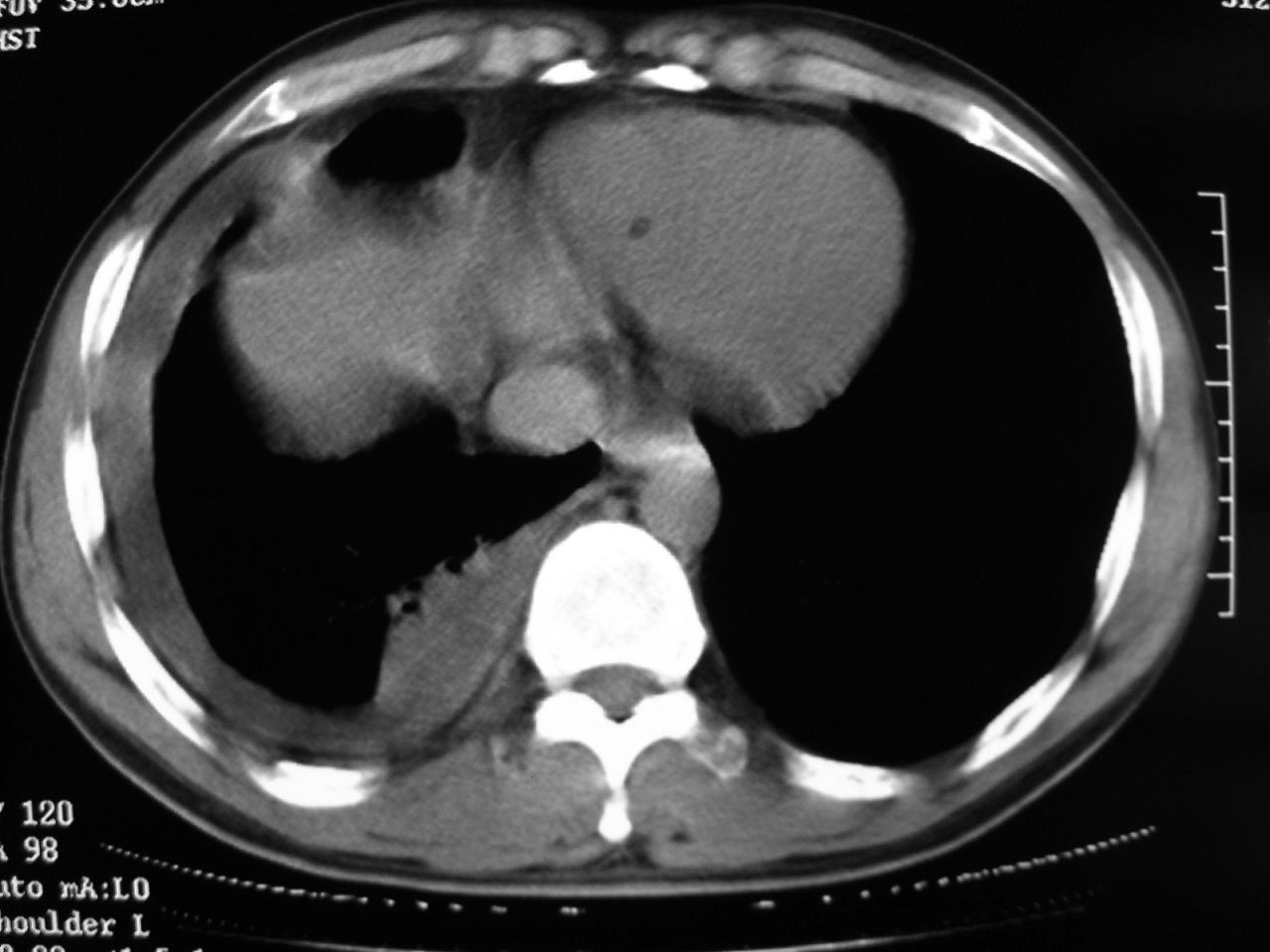
男,32岁,多年前右上肺结核,近期胸部不适,ct检查次序如上,上传主要层面,纵隔未见明显肿大淋巴结。
2008年12月20日:





2009年2月15日:





2009年3月26日:





2009年4月25日:



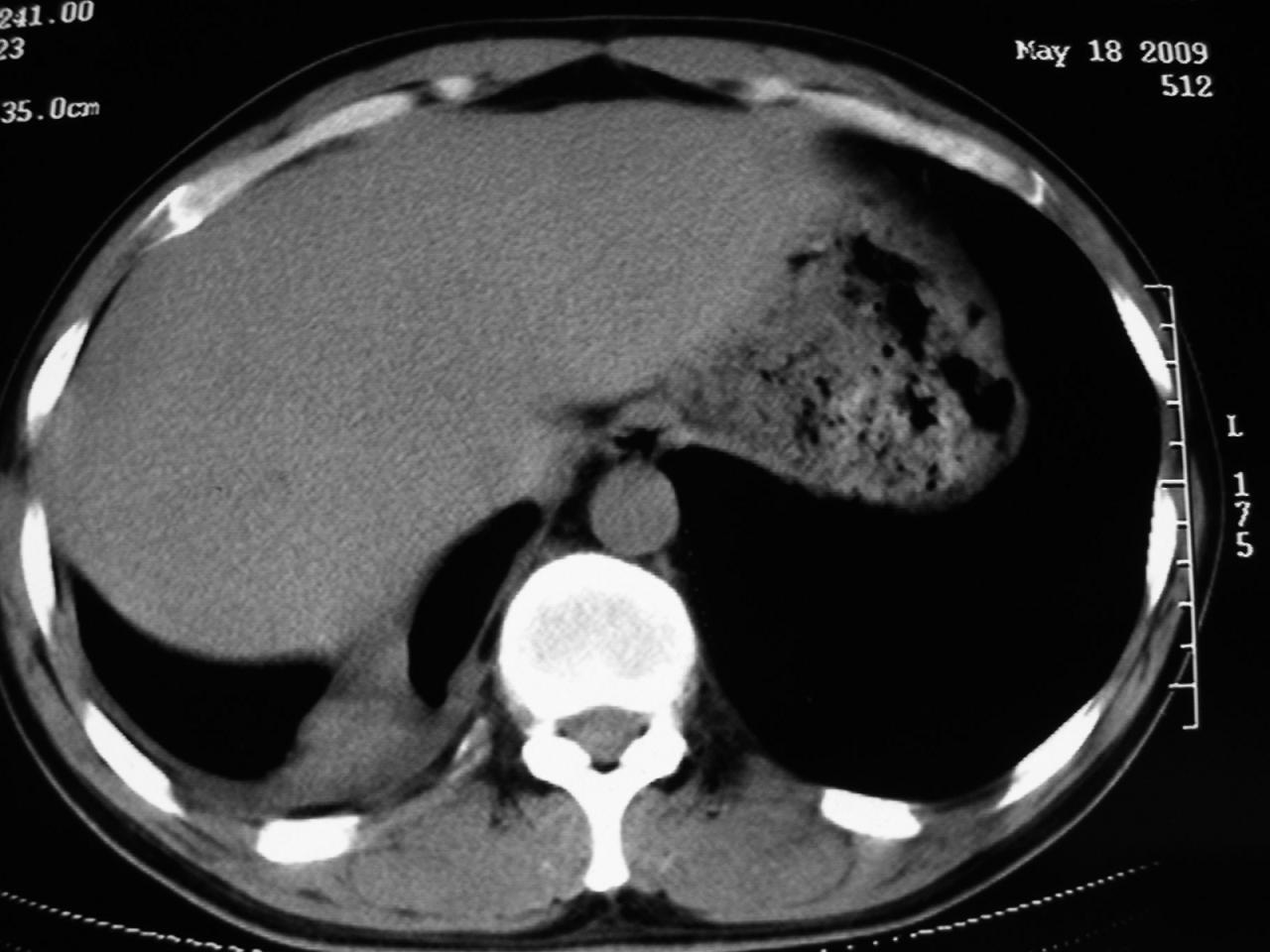
2009年5月18日:








[本贴已被 jiajie 于 2009-5-19 19:59:17 修改过]

作者: lrj    时间: 2009-5-19 23:45
本人初次(2008年12月20日ct片)诊断为右上肺结核伴右侧胸水!保守治疗后,遂复查ct胸水逐渐减少!最后(2009年05月18日)诊断为右上肺结核,右侧胸水吸收后伴包裹形成!从逐次ct检查上看,胸水吸收好转,只是从2009年05月18日ct片看到一个胸膜结节。临床医生及某肿瘤医院认为2009年05月18日ct片,右后胸壁结节,考虑为胸膜肿瘤!
本人还是倾向于右后胸壁的局限性包裹,胸膜结节密度不均匀,其内可见低密度区,考虑是由胸水吸收后胸膜增厚、粘连及周围肺组织包裹形成的征象;不倾向于胸膜肿瘤的诊断。
请各位高手谈谈自己的看法!谢谢!
作者: lrj    时间: 2009-5-19 23:49
一直是抗痨治疗的!
作者: xclzq_910    时间: 2009-5-19 23:52
支持考虑胸膜肥厚
作者: 深泽交通    时间: 2009-5-20 00:01
右肺下叶周围型癌;上叶tb灶
作者: 余辉    时间: 2009-5-20 00:05
支持楼主
作者: wangenli1978    时间: 2009-5-20 00:13
支持包裹性胸腔积液
作者: 影像孺子牛    时间: 2009-5-20 00:30
右肺上叶继发性肺结核,右侧胸腔积液部分包裹,右侧胸膜肥厚粘连。
作者: zhai516    时间: 2009-5-20 00:40
支持楼上
作者: 随光逐影    时间: 2009-5-20 01:03
支持 右肺上叶继发性肺结核,右侧胸腔积液部分包裹,右侧胸膜肥厚粘连;右下胸后壁胸膜结节,多为结核所致。
作者: zjzjr    时间: 2009-5-20 01:10
支持楼主意见,建议动态观察.
作者: juxl    时间: 2009-5-20 01:29
缺少右肺上叶结节灶的纵隔窗。
作者: 秋风瑟瑟    时间: 2009-5-20 01:34
胸壁结节为结核
作者: zjb    时间: 2009-5-20 01:38
支持楼主意见,建议动态观察
作者: 杀毒软件    时间: 2009-5-20 01:44
支持楼主考虑
作者: zhao_bin2008    时间: 2009-5-20 02:30
支持楼主意见
作者: 学无崖    时间: 2009-5-20 02:51
支持 右肺上叶继发性肺结核,右侧胸腔积液部分包裹,右侧胸膜肥厚粘连;右下胸后壁胸膜结节,多为结核所致
作者: zhg2005    时间: 2009-5-20 03:13
考虑局限性胸膜增厚并硬化
作者: 迎客松abc    时间: 2009-5-20 04:14
可不可以考虑炎症假瘤。
作者: 康振朝    时间: 2009-5-20 04:41
支持楼主意见
作者: 黑白光影    时间: 2009-5-20 06:22
支持楼主意见
作者: bmw011    时间: 2009-5-20 06:54
支持楼主
作者: zsl6918    时间: 2009-5-20 15:33
肺结核并结核性胸膜炎
作者: wansheng    时间: 2009-5-20 16:47
肺结核并结核性胸膜炎
作者: 微风佛面    时间: 2009-5-21 04:08
右上肺肺结核,右侧胸腔积液部分包裹;
右下胸后壁胸膜增厚/结节,考虑为结核所致。




欢迎光临 医影在线 (http://bbs.radida.com/bbs/) Powered by Discuz! X3.2