医影在线

标题: CT20044:女,45岁,腰痛2年,双肾结石,右输尿管结石,右肾重度积 [打印本页]

作者: YRJ0513    时间: 2009-5-20 02:54
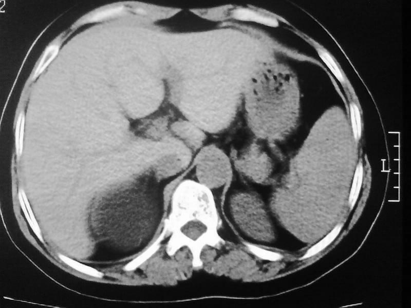
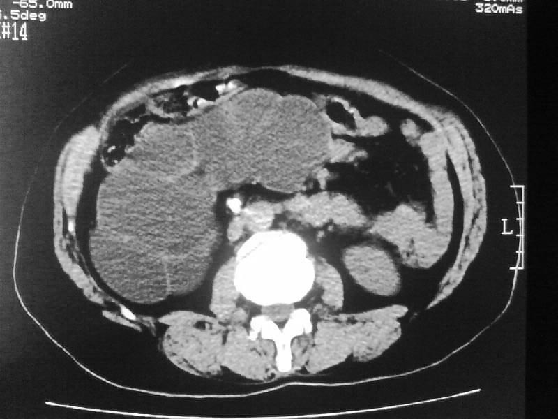
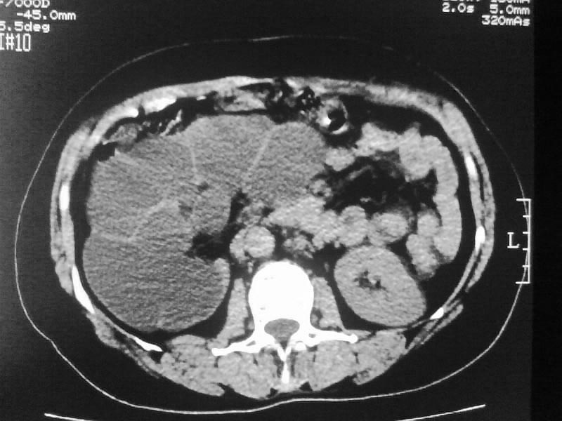
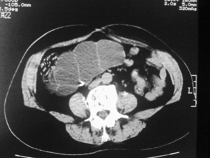
标题: CT20044:女,45岁,腰痛2年,双肾结石,右输尿管结石,右肾重度积






















[本贴已被 jiajie 于 2009-5-19 20:02:52 修改过]

作者: zhg2005    时间: 2009-5-20 03:16
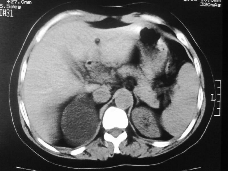
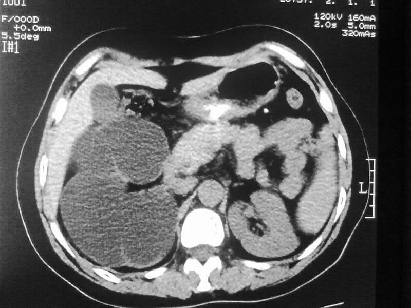
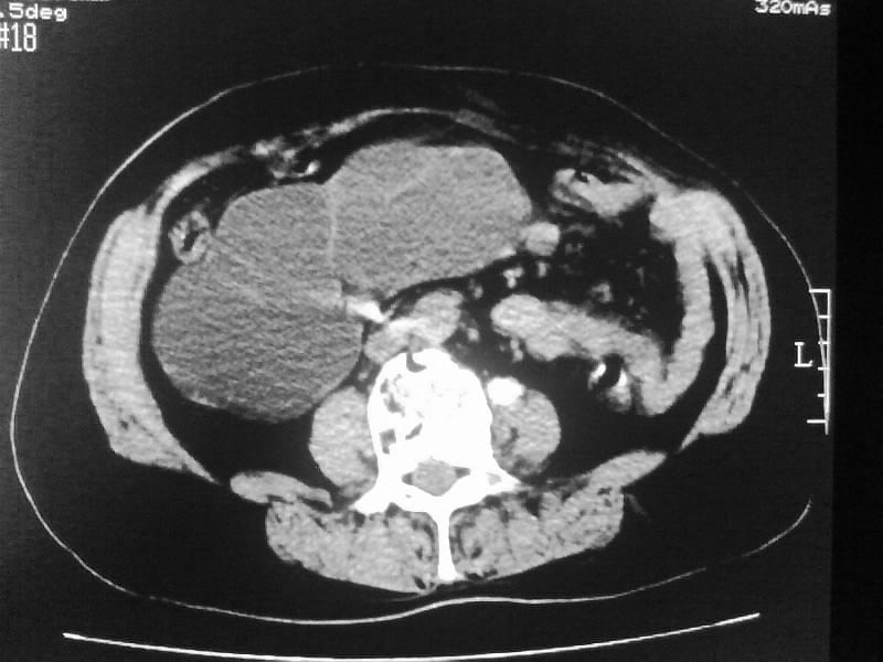
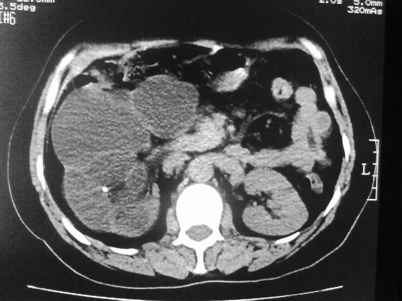
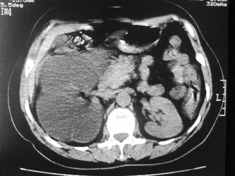
其内见多房性分隔考虑多囊肾
左侧输尿管上段结石
作者: zjzjr    时间: 2009-5-20 04:09
支持楼主意见。
作者: jiangguowu    时间: 2009-5-20 04:10
加扫下输尿管和膀胱吧,先排除下面的大结石所致的积水;
再排除下面的压迫性病灶;
不像普通的积水,密度像是积脓;
多囊肾可以排除。
作者: 康振朝    时间: 2009-5-20 04:11
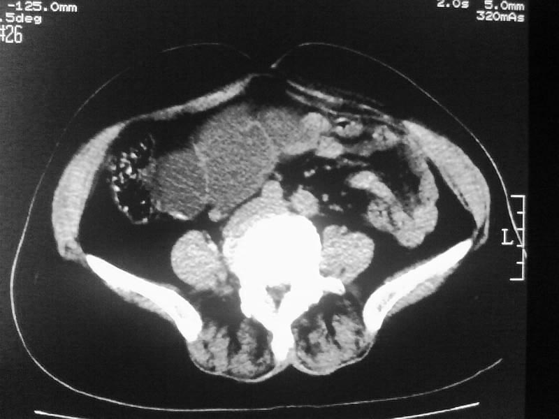
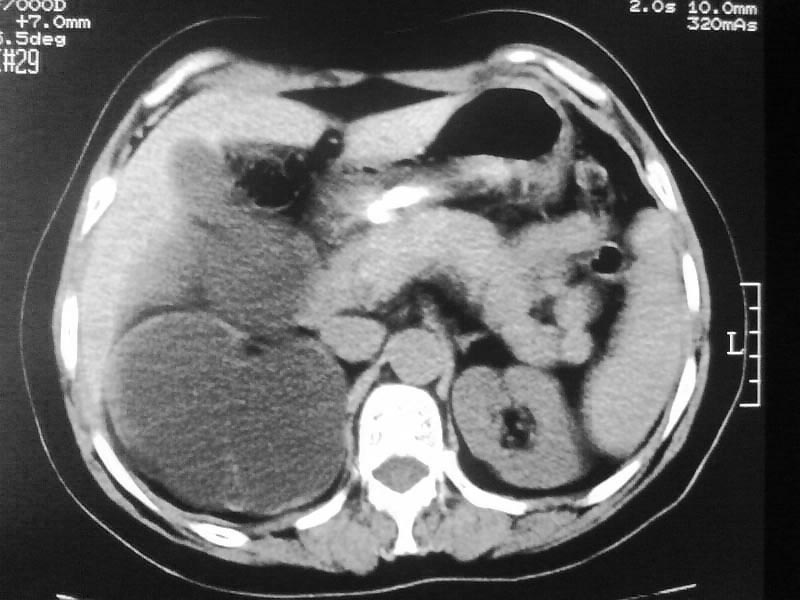
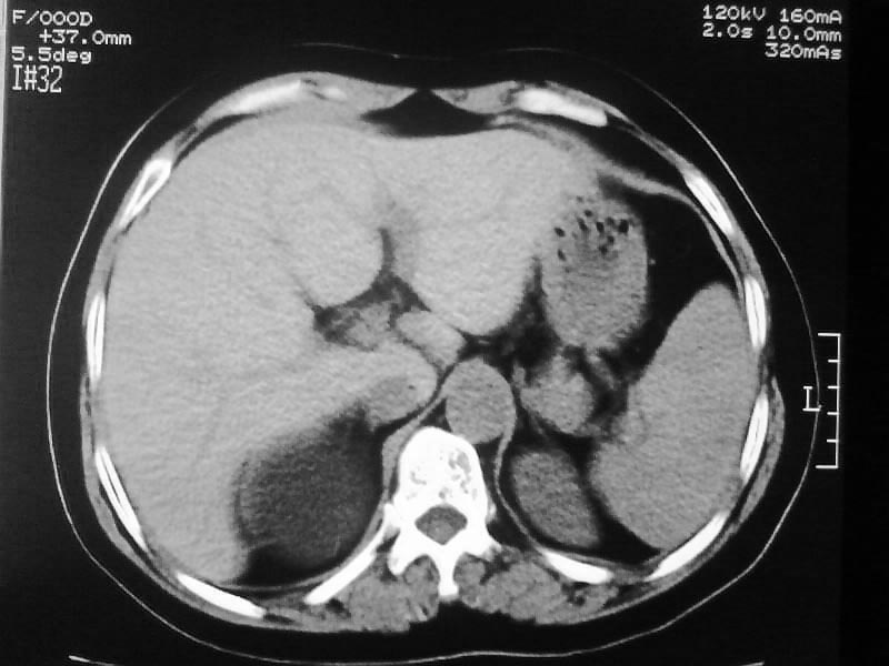
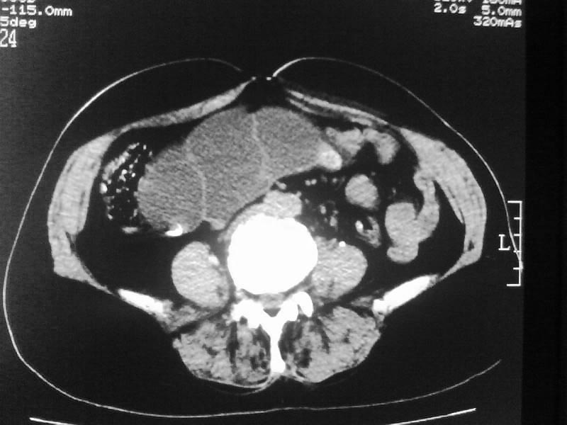
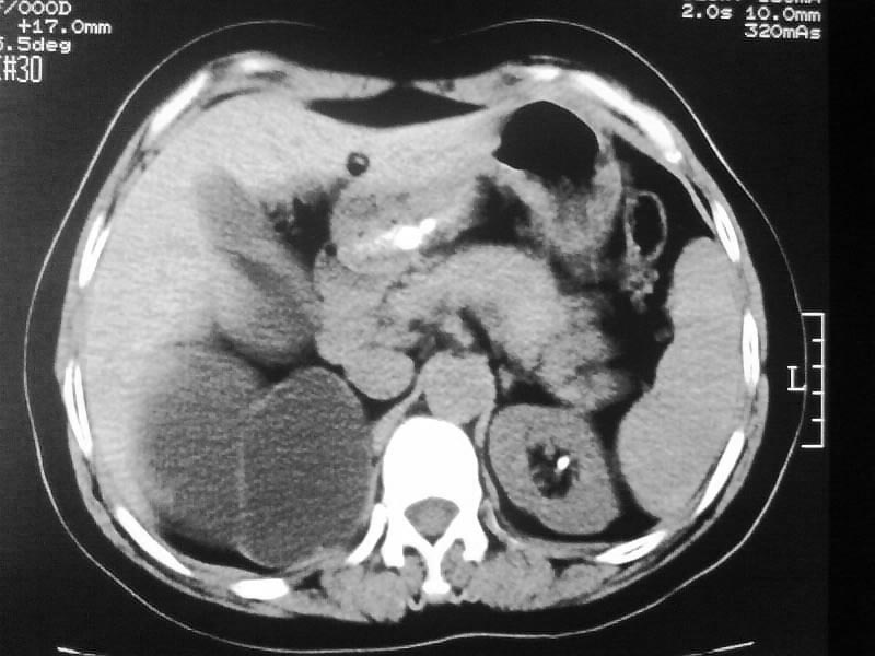
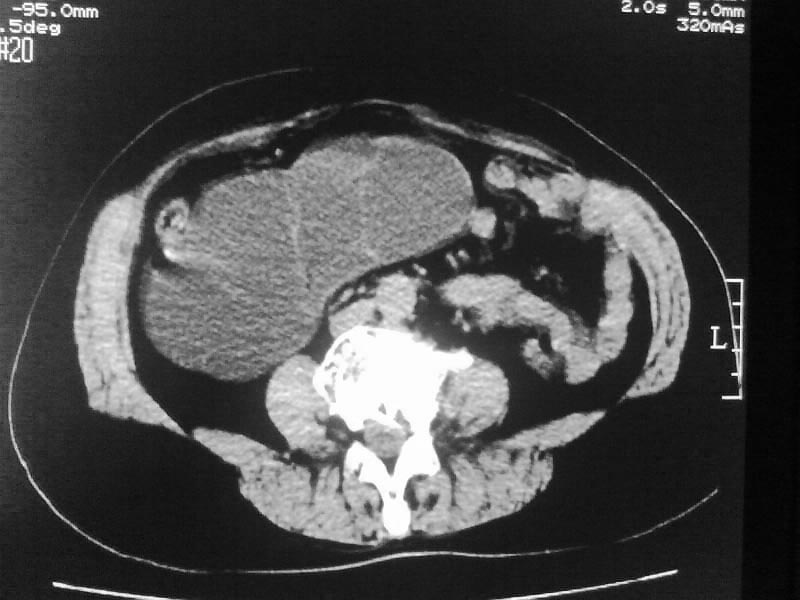
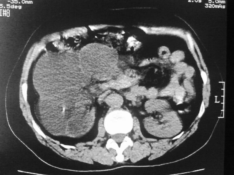
支持双肾结石、右输尿管上端结石,右肾重度积水
作者: 迎客松abc    时间: 2009-5-20 04:42
支持双肾结石、右输尿管上端结石,右肾重度积水
作者: 奥林克    时间: 2009-5-20 04:54
右肾梗阻性积水。
作者: 随光逐影    时间: 2009-5-20 05:27
支持 右肾结石、右输尿管上端结石,右肾重度积水。
作者: yxltc    时间: 2009-5-20 06:11
双肾结石、双输尿管结石并右肾积水。
作者: bmw011    时间: 2009-5-20 06:58
支持 双肾结石、双输尿管结石并右肾积水。
作者: 水蓝色的    时间: 2009-5-20 07:04
支持。
作者: 吴承学    时间: 2009-5-20 14:35
标题: 回复:ct20044:女,45岁,腰痛2年,双肾结石,右输尿管结石,右肾
以下是引用随光逐影在2009-5-19 21:27:00的发言:[br]支持 右肾结石、右输尿管上端结石,右肾重度积水。[br]

作者: zsl6918    时间: 2009-5-20 15:04
支持楼主
作者: 深泽交通    时间: 2009-5-20 16:46
标题: 回复:ct20044:女,45岁,腰痛2年,双肾结石,右输尿管结石,右肾
以下是引用康振朝在2009-5-19 20:11:00的发言:[br]支持双肾结石、右输尿管上端结石,右肾重度积水

作者: zb5205    时间: 2009-5-20 17:41
支持 右肾结石、右输尿管上端结石,右肾重度积水。
作者: 影像孺子牛    时间: 2009-5-20 18:21
支持双肾结石、右输尿管上端结石,右肾重度积水。
作者: sunbin    时间: 2009-5-20 19:02
双肾,输尿管结石,右肾重度积水。
作者: 黑白光影    时间: 2009-5-20 23:29
支持 右肾结石、右输尿管上端结石,右肾重度积水。
作者: 岚儿    时间: 2009-5-20 23:38
支持楼主意见!




欢迎光临 医影在线 (http://bbs.radida.com/bbs/) Powered by Discuz! X3.2