










以下是引用前行在2009-5-20 11:38:00的发言:[br]转移瘤
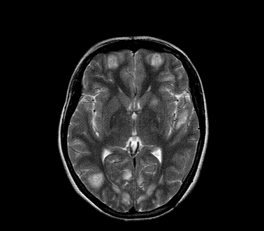
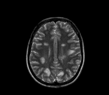
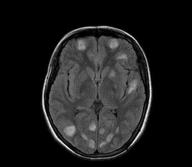
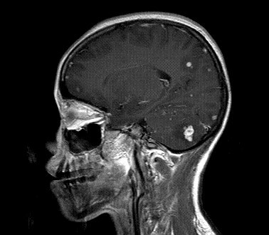
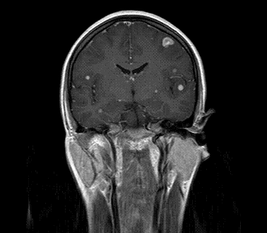
以下是引用xly在2009-5-20 11:38:00的发言:[br]大脑、小脑及脑干多发结节状及环状稍长t1、长t2异常信号影,部份病灶中心见稍短t1、短t2信号,病灶边缘光滑、边界清楚,灶周环状水肿,dwi为低信号,增强扫描上述病灶均匀强化,部份病灶中心无强化,脑膜小结节异常强化,考虑脑膜脑结核可能性大。胸片如何?ppd如何?期待结果。
以下是引用xly在2009-5-20 11:38:00的发言:[br]大脑、小脑及脑干多发结节状及环状稍长t1、长t2异常信号影,部份病灶中心见稍短t1、短t2信号,病灶边缘光滑、边界清楚,灶周环状水肿,dwi为低信号,增强扫描上述病灶均匀强化,部份病灶中心无强化,脑膜小结节异常强化,考虑脑膜脑结核可能性大。胸片如何?ppd如何?期待结果。
| 欢迎光临 医影在线 (http://bbs.radida.com/bbs/) | Powered by Discuz! X3.2 |