医影在线
标题: CT20052:女76岁既往偶有头疼。 [打印本页]
作者: xupengjie 时间: 2009-5-20 19:23
标题: CT20052:女76岁既往偶有头疼。
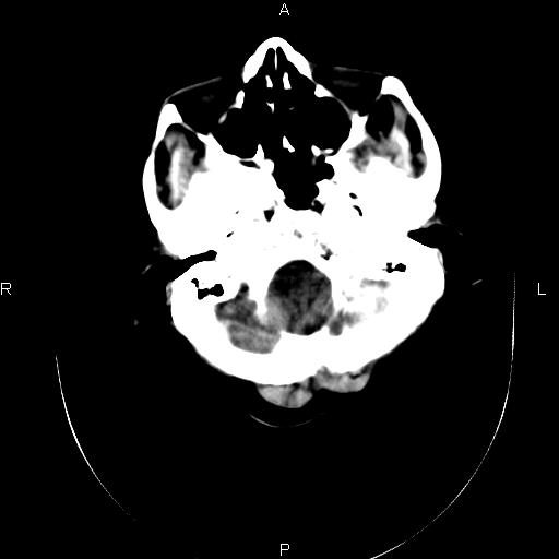
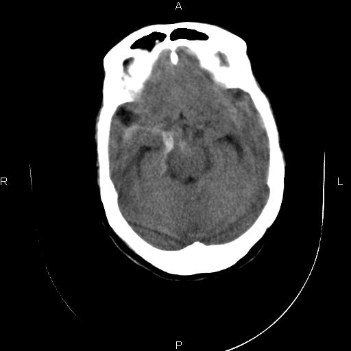
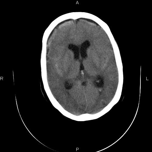
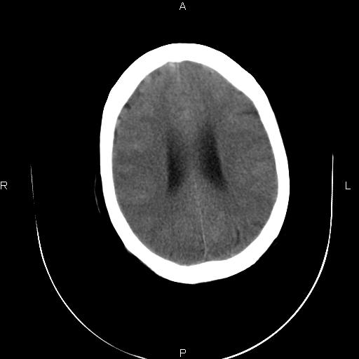
近三天来阵发性头剧疼 头晕加重。考虑蛛血?双额叶颅板下低密度是否为蛛网膜囊肿?请老师们指教指教!










[本贴已被 jiajie 于 2009-5-20 19:05:02 修改过]
作者: zxl51642 时间: 2009-5-20 19:29
1、蛛网膜下腔出血;
2、脑萎缩,双额叶颅板下低密度为增宽的蛛网膜下腔。
作者: bmw011 时间: 2009-5-20 19:37
1、蛛网膜下腔出血;
2、脑萎缩,双额叶颅板下低密度为增宽的蛛网膜下腔。
作者: 边生丽 时间: 2009-5-20 19:53
1、蛛网膜下腔出血;
2、脑萎缩,双额叶颅板下低密度为增宽的蛛网膜下腔。
作者: 深泽交通 时间: 2009-5-20 19:55
标题: 回复:患者女76岁既往偶有头疼。
1、蛛网膜下腔出血2、脑萎缩,双额叶颅板下低密度为增宽的蛛网膜下腔。
作者: xupengjie 时间: 2009-5-20 19:57
谢谢
作者: zljhyj 时间: 2009-5-20 20:06
标题: 回复:患者女76岁既往偶有头疼。
以下是引用zxl51642在2009-5-20 11:29:00的发言:[br]1、蛛网膜下腔出血;[br]2、脑萎缩,双额叶颅板下低密度为增宽的蛛网膜下腔。
作者: yanguoliang 时间: 2009-5-20 20:09
蛛血,轻度萎缩
作者: ct诊断高手 时间: 2009-5-20 20:11
标题: 回复:患者女76岁既往偶有头疼。
以下是引用zxl51642在2009-5-20 11:29:00的发言:[br]1、蛛网膜下腔出血;[br]2、脑萎缩,双额叶颅板下低密度为增宽的蛛网膜下腔。
作者: zjzjr 时间: 2009-5-20 20:51
标题: 回复:患者女76岁既往偶有头疼。
以下是引用zxl51642在2009-5-20 11:29:00的发言:[br]1、蛛网膜下腔出血;[br]2、脑萎缩,双额叶颅板下低密度为增宽的蛛网膜下腔。
作者: 微风佛面 时间: 2009-5-20 21:00
1、蛛网膜下腔出血;
2、双侧额部硬膜下积液;
3、轻度脑积水(三脑室球形扩大),扩大的侧脑室颞角和前角都有张力。
作者: kh 时间: 2009-5-20 22:03
不能除外薄层硬幕下积液,可复查
作者: wangzhengyuan 时间: 2009-5-20 22:45
1、蛛网膜下腔出血,(病史很支持头痛最厉害)
2、脑萎缩,双额叶硬膜下积液。
作者: lixifeng 时间: 2009-5-20 23:22
支持春风拂面的诊断,分析非常到位。
作者: 岚儿 时间: 2009-5-20 23:34
蛛网膜下腔出血;双侧额部硬膜下积液;脑髓质萎缩。
作者: 影像孺子牛 时间: 2009-5-20 23:35
1、蛛网膜下腔出血2、脑萎缩,双额叶颅板下低密度为增宽的蛛网膜下腔。
作者: 黄玉龙 时间: 2009-5-21 00:23
蛛网膜下腔出血;双侧额部硬膜下积液
作者: muzi888 时间: 2009-5-21 00:25
1、蛛网膜下腔出血 2、脑萎缩,双额叶颅板下低密度为增宽的蛛网膜下腔。
支持!
作者: 一帆风顺 时间: 2009-5-21 00:52
蛛网膜下腔出血并脑室积血;双侧额部硬膜下积液。
作者: 康鹏 时间: 2009-5-21 01:58
蛛网膜下腔出血!应该用全称,不能随意简化、
作者: ncy888888 时间: 2009-5-21 02:34
支持11楼的意见
作者: 光影相伴 时间: 2009-5-21 02:45
标题: 。
1)蛛网膜下腔出血。2)双侧侧脑室少量出血。3)双侧额部硬膜下积液。4)脑积水。
[emb26]
[本贴已被 光影相伴 于 2009-5-20 18:47:50 修改过]
作者: zbp537 时间: 2009-5-21 02:48
1、蛛网膜下腔出血。
2、双侧额骨颅骨内板下的带状低密度影,不是增宽的蛛网膜下腔。依据:本病人本身有蛛网膜下腔出血,双侧额叶表面有一带状高密度影,那才是有出血的蛛网膜下腔。前面的带状低密度影(额骨内板下)是硬膜下积液表现,其内没有出血迹象,与出血的蛛网膜下腔界限清晰。
作者: 随光逐影 时间: 2009-5-21 02:59
支持 1)蛛网膜下腔出血。2)双侧侧脑室少量积血。3)脑积水。4)双侧额部硬膜下积液。
作者: 杀毒软件 时间: 2009-5-21 03:06
支持大家
作者: jiahui7z 时间: 2009-5-21 03:15
支持 1)蛛网膜下腔出血。2)双侧侧脑室少量积血。3)脑积水。4)双侧额部硬膜下积液
作者: chinanyd 时间: 2009-5-21 03:16
支持大家意见
作者: kenjian 时间: 2009-5-21 06:16
1蛛网膜下腔出血 2硬膜下积液 脑萎缩有待商榷
作者: Jma2891 时间: 2009-5-21 06:47
标题: 回复:ct20052:女76岁既往偶有头疼。
以下是引用zbp537在2009-5-20 18:48:00的发言:[br]1、蛛网膜下腔出血。[br]2、双侧额骨颅骨内板下的带状低密度影,不是增宽的蛛网膜下腔。依据:本病人本身有蛛网膜下腔出血,双侧额叶表面有一带状高密度影,那才是有出血的蛛网膜下腔。前面的带状低密度影(额骨内板下)是硬膜下积液表现,其内没有出血迹象,与出血的蛛网膜下腔界限清晰。
支持上述分析。
作者: qc80012345 时间: 2009-5-21 07:11
蛛网膜下腔出血;【考虑;动脉瘤破裂所致】做六十四排吧。
脑萎缩,双额叶颅板下低密度为增宽的蛛网膜下腔。
作者: yuhongjun 时间: 2009-5-21 14:07
标题: 回复:ct20052:女76岁既往偶有头疼。
以下是引用zxl51642在2009-5-20 11:29:00的发言:[br]1、蛛网膜下腔出血;[br]2、脑萎缩,双额叶颅板下低密度为增宽的蛛网膜下腔。
作者: 朱亮 时间: 2009-5-21 17:05
1、蛛网膜下腔出血,(病史很支持头痛最厉害)
2、脑萎缩,双额叶硬膜下积液。
| 欢迎光临 医影在线 (http://bbs.radida.com/bbs/) |
Powered by Discuz! X3.2 |